ARG40699
anti-NRF1 antibody
anti-NRF1 antibody for ICC/IF,IHC-Formalin-fixed paraffin-embedded sections and Human,Rat
Overview
| Product Description | Rabbit Polyclonal antibody recognizes NRF1 |
|---|---|
| Tested Reactivity | Hu, Rat |
| Predict Reactivity | Hm |
| Tested Application | ICC/IF, IHC-P |
| Host | Rabbit |
| Clonality | Polyclonal |
| Isotype | IgG |
| Target Name | NRF1 |
| Antigen Species | Human |
| Immunogen | Synthetic peptide corresponding to aa. 272-288 of Human NRF1. (QHGREDLLYAFEDQQTQ) |
| Conjugation | Un-conjugated |
| Alternate Names | NRF-1; Nuclear respiratory factor 1; Alpha palindromic-binding protein; ALPHA-PAL; Alpha-pal |
Application Instructions
| Application Suggestion |
|
||||||
|---|---|---|---|---|---|---|---|
| Application Note | * The dilutions indicate recommended starting dilutions and the optimal dilutions or concentrations should be determined by the scientist. |
Properties
| Form | Liquid |
|---|---|
| Purification | Affinity purification with immunogen. |
| Buffer | 0.2% Na2HPO4, 0.9% NaCl, 0.05% Thimerosal, 0.05% Sodium azide and 5% BSA. |
| Preservative | 0.05% Thimerosal and 0.05% Sodium azide |
| Stabilizer | 5% BSA |
| Concentration | 0.5 mg/ml |
| Storage Instruction | For continuous use, store undiluted antibody at 2-8°C for up to a week. For long-term storage, aliquot and store at -20°C or below. Storage in frost free freezers is not recommended. Avoid repeated freeze/thaw cycles. Suggest spin the vial prior to opening. The antibody solution should be gently mixed before use. |
| Note | For laboratory research only, not for drug, diagnostic or other use. |
Bioinformation
| Database Links | |
|---|---|
| Gene Symbol | NRF1 |
| Gene Full Name | nuclear respiratory factor 1 |
| Background | This gene encodes a protein that homodimerizes and functions as a transcription factor which activates the expression of some key metabolic genes regulating cellular growth and nuclear genes required for respiration, heme biosynthesis, and mitochondrial DNA transcription and replication. The protein has also been associated with the regulation of neurite outgrowth. Alternative splicing results in multiple transcript variants. Confusion has occurred in bibliographic databases due to the shared symbol of NRF1 for this gene and for "nuclear factor (erythroid-derived 2)-like 1" which has an official symbol of NFE2L1. [provided by RefSeq, May 2014] |
| Function | Transcription factor that activates the expression of the EIF2S1 (EIF2-alpha) gene. Links the transcriptional modulation of key metabolic genes to cellular growth and development. Implicated in the control of nuclear genes required for respiration, heme biosynthesis, and mitochondrial DNA transcription and replication. [UniProt] |
| Cellular Localization | Nucleus. [UniProt] |
| Calculated MW | 54 kDa |
| PTM | Phosphorylation enhances DNA binding. [UniProt] |
Images (4) Click the Picture to Zoom In
-
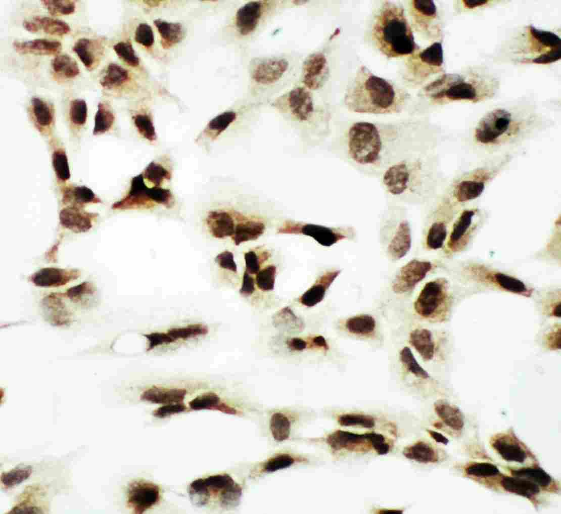
ARG40699 anti-NRF1 antibody ICC image
Immunocytochemistry: A549 cells stained with ARG40699 anti-NRF1 antibody.
-
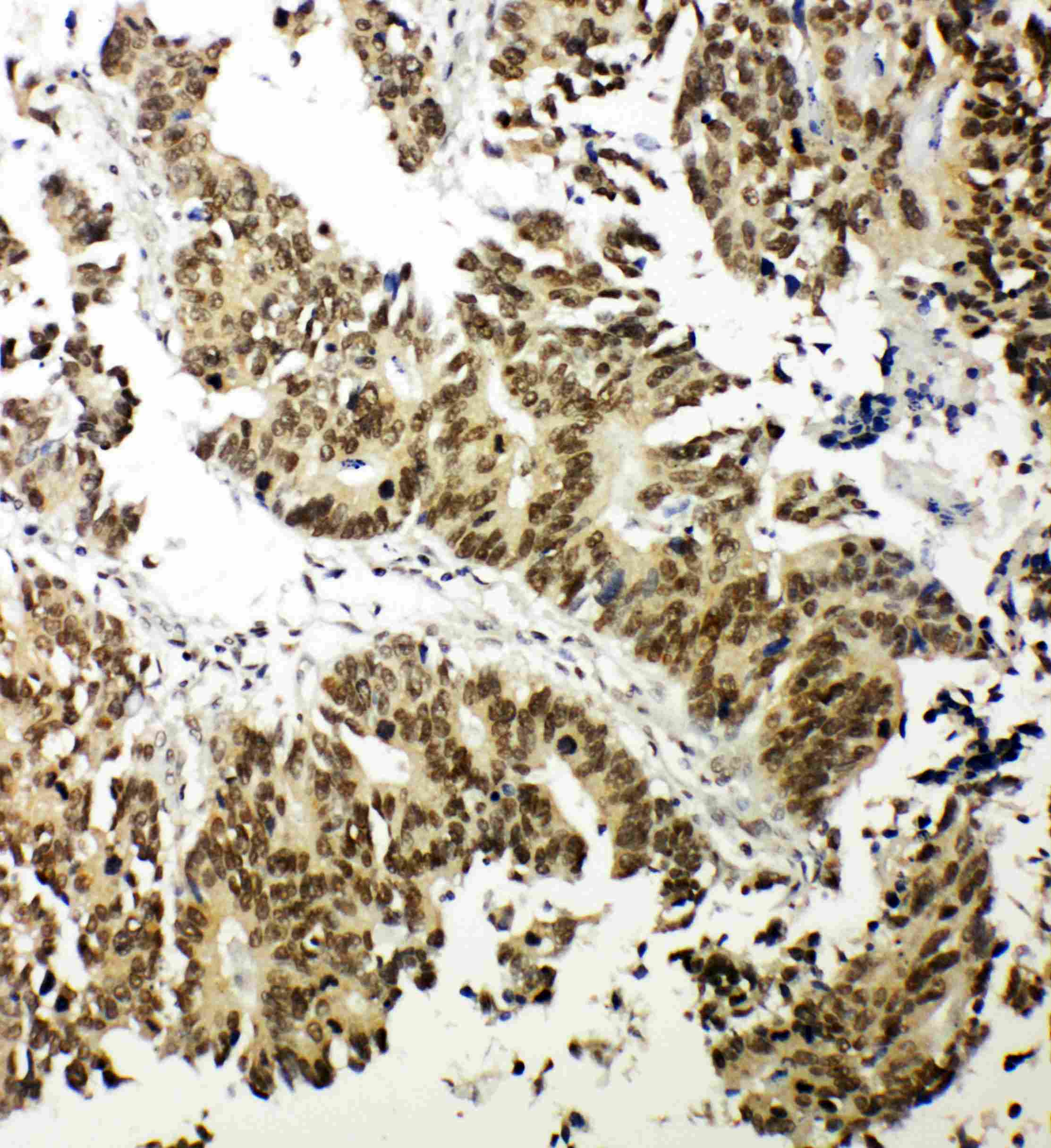
ARG40699 anti-NRF1 antibody IHC-P image
Immunohistochemistry: Paraffin-embedded Human mammary cancer tissue stained with ARG40699 anti-NRF1 antibody.
-
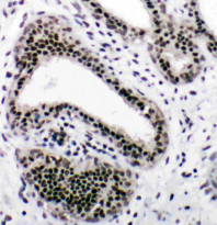
ARG40699 anti-NRF1 antibody IHC-P image
Immunohistochemistry: Paraffin-embedded Rat intestine tissue stained with ARG40699 anti-NRF1 antibody.
-
ARG40699 anti-NRF1 antibody IHC-P image
Immunohistochemistry: Paraffin-embedded Human intestinal cancer tissue stained with ARG40699 anti-NRF1 antibody.
