ARG44173
anti-NTN3 antibody
anti-NTN3 antibody for ICC/IF,IHC-Formalin-fixed paraffin-embedded sections,Western blot and Human,Rat
Overview
| Product Description | Rabbit Polyclonal antibody recognizes NTN3 |
|---|---|
| Tested Reactivity | Hu, Rat |
| Tested Application | ICC/IF, IHC-P, WB |
| Host | Rabbit |
| Clonality | Polyclonal |
| Isotype | IgG |
| Target Name | NTN3 |
| Antigen Species | Human |
| Immunogen | Recombinant protein of Human NTN3 |
| Conjugation | Un-conjugated |
| Protein Full Name | Netrin-3 |
| Alternate Names | NTN3; Netrin 3; Netrin-3; NTN2L; Netrin-2-Like Protein; Netrin-2, Chicken, Homolog Of, Like; Netrin 2 (Chicken)-Like; Netrin 2-Like (Chicken) |
Application Instructions
| Application Suggestion |
|
||||||||
|---|---|---|---|---|---|---|---|---|---|
| Application Note | * The dilutions indicate recommended starting dilutions and the optimal dilutions or concentrations should be determined by the scientist. |
Properties
| Form | Liquid |
|---|---|
| Purification | Affinity purification with immunogen. |
| Buffer | 0.9% NaCl, 0.2% Na2HPO4, 0.05% Sodium azide and 5% BSA. |
| Preservative | 0.05% Sodium azide |
| Stabilizer | 5% BSA |
| Concentration | 0.5 mg/ml |
| Storage Instruction | For continuous use, store undiluted antibody at 2-8°C for up to a week. For long-term storage, aliquot and store at -20°C or below. Storage in frost free freezers is not recommended. Avoid repeated freeze/thaw cycles. Suggest spin the vial prior to opening. The antibody solution should be gently mixed before use. |
| Note | For laboratory research only, not for drug, diagnostic or other use. |
Bioinformation
| Database Links | |
|---|---|
| Gene Symbol | NTN3 |
| Gene Full Name | Netrin 3 |
| Background | Predicted to enable signaling receptor binding activity. Predicted to be involved in animal organ morphogenesis; neuron projection development; and tissue development. Predicted to be located in Golgi apparatus and extracellular region. Predicted to be active in basement membrane. |
| Function | Netrins control guidance of CNS commissural axons and peripheral motor axons. |
| Cellular Localization | Extracellular matrix, Secreted |
| Calculated MW | 61 kDa |
| PTM | Disulfide bond, Glycoprotein |
Images (4) Click the Picture to Zoom In
-
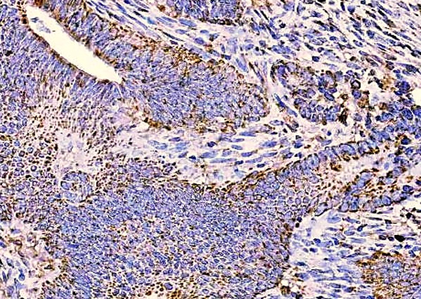
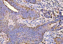
ARG44173 anti-NTN3 antibody IHC-P image
Immunohistochemistry: Human colorectal adenocarcinoma stained with ARG44173 anti-NTN3 antibody at 2 μg/mL dilution.
-
ARG44173 anti-NTN3 antibody ICC/IF image
Immunofluorescence: HeLa stained with ARG44173 anti-NTN3 antibody at 5 μg/mL dilution.
-
ARG44173 anti-NTN3 antibody WB image
Western blot: RT4 and U251 stained with ARG44173 anti-NTN3 antibody at 0.5 μg/mL dilution.
-
ARG44173 anti-NTN3 antibody WB image
Western blot: Rat liver stained with ARG44173 anti-NTN3 antibody at 0.5 μg/mL dilution.
