ARG44174
anti-NUB1 antibody
anti-NUB1 antibody for Flow cytometry,ICC/IF,IHC-Formalin-fixed paraffin-embedded sections,Western blot and Human,Mouse,Rat,Monkey
Overview
| Product Description | Rabbit Polyclonal antibody recognizes NUB1 |
|---|---|
| Tested Reactivity | Hu, Ms, Rat, Mk |
| Tested Application | FACS, ICC/IF, IHC-P, WB |
| Host | Rabbit |
| Clonality | Polyclonal |
| Isotype | IgG |
| Target Name | NUB1 |
| Antigen Species | Human |
| Immunogen | Recombinant protein of Human NUB1 |
| Conjugation | Un-conjugated |
| Protein Full Name | NEDD8 ultimate buster 1 |
| Alternate Names | NUB1; Negative Regulator Of Ubiquitin Like Proteins 1; NYREN18; NUB1L; BS4; Renal Carcinoma Antigen NY-REN-18; NEDD8 Ultimate Buster-1; NEDD8 Ultimate Buster 1; Negative Regulator Of Ubiquitin-Like Proteins 1 |
Application Instructions
| Application Suggestion |
|
||||||||||
|---|---|---|---|---|---|---|---|---|---|---|---|
| Application Note | * The dilutions indicate recommended starting dilutions and the optimal dilutions or concentrations should be determined by the scientist. |
Properties
| Form | Liquid |
|---|---|
| Purification | Affinity purification with immunogen. |
| Buffer | 0.9% NaCl, 0.2% Na2HPO4, 0.05% Sodium azide and 5% BSA. |
| Preservative | 0.05% Sodium azide |
| Stabilizer | 5% BSA |
| Concentration | 0.5 mg/ml |
| Storage Instruction | For continuous use, store undiluted antibody at 2-8°C for up to a week. For long-term storage, aliquot and store at -20°C or below. Storage in frost free freezers is not recommended. Avoid repeated freeze/thaw cycles. Suggest spin the vial prior to opening. The antibody solution should be gently mixed before use. |
| Note | For laboratory research only, not for drug, diagnostic or other use. |
Bioinformation
| Database Links | |
|---|---|
| Gene Symbol | NUB1 |
| Gene Full Name | Negative Regulator Of Ubiquitin Like Proteins 1 |
| Background | This gene encodes a protein that functions as a negative regulator of NEDD8, a ubiquitin-like protein that conjugates with cullin family members in order to regulate vital biological events. The protein encoded by this gene regulates the NEDD8 conjugation system post-transcriptionally by recruiting NEDD8 and its conjugates to the proteasome for degradation. This protein interacts with the product of the AIPL1 gene, which is associated with Leber congenital amaurosis, an inherited retinopathy, and mutations in that gene can abolish interaction with this protein, which may contribute to the pathogenesis. This protein is also known to accumulate in Lewy bodies in Parkinson's disease and dementia with Lewy bodies, and in glial cytoplasmic inclusions in multiple system atrophy, with this abnormal accumulation being specific to alpha-synucleinopathy lesions. Alternative splicing of this gene results in multiple transcript variants. |
| Function | Specific down-regulator of the NEDD8 conjugation system. Recruits NEDD8, UBD, and their conjugates to the proteasome for degradation. Isoform 1 promotes the degradation of NEDD8 more efficiently than isoform 2. |
| Cellular Localization | Nucleus |
| Calculated MW | 71 kDa |
Images (8) Click the Picture to Zoom In
-
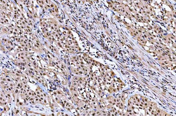
ARG44174 anti-NUB1 antibody IHC-P image
Immunohistochemistry: Human adrenal adenomas stained with ARG44174 anti-NUB1 antibody at 2 μg/mL dilution.
-
ARG44174 anti-NUB1 antibody WB image
Western blot: MCF-7 and A549 stained with ARG44174 anti-NUB1 antibody at 0.25 μg/mL dilution.
-
ARG44174 anti-NUB1 antibody ICC/IF image
Immunofluorescence: HeLa stained with ARG44174 anti-NUB1 antibody at 5 μg/mL dilution.
-
ARG44174 anti-NUB1 antibody FACS image
Flow Cytometry: K562 stained with ARG44174 anti-NUB1 antibody at 1 μg/1x10^6 cells dilution.
-
ARG44174 anti-NUB1 antibody WB image
Western blot: Rat liver and PC-12 stained with ARG44174 anti-NUB1 antibody at 0.25 μg/mL dilution.
-
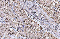
ARG44174 anti-NUB1 antibody IHC-P image
Immunohistochemistry: Human bladder urothelial carcinoma stained with ARG44174 anti-NUB1 antibody at 2 μg/mL dilution.
-
ARG44174 anti-NUB1 antibody WB image
Western blot: NIH/3T3 stained with ARG44174 anti-NUB1 antibody at 0.25 μg/mL dilution.
-
ARG44174 anti-NUB1 antibody WB image
Western blot: COS-7 stained with ARG44174 anti-NUB1 antibody at 0.25 μg/mL dilution.
