ARG44717
anti-NUCB2 / Nucleobindin 2 antibody
anti-NUCB2 / Nucleobindin 2 antibody for IHC-Formalin-fixed paraffin-embedded sections,Immunoprecipitation,Western blot and Human
Overview
| Product Description | Mouse Monoclonal antibody recognizes NUCB2 / Nucleobindin 2 |
|---|---|
| Tested Reactivity | Hu |
| Tested Application | IHC-P, IP, WB |
| Host | Mouse |
| Clonality | Monoclonal |
| Isotype | IgG1 |
| Target Name | NUCB2 / Nucleobindin 2 |
| Antigen Species | Human |
| Conjugation | Un-conjugated |
| Alternate Names | HEL-S-109; NEFA; Nucleobindin-2; Gastric cancer antigen Zg4; Prepronesfatin; DNA-binding protein NEFA |
Application Instructions
| Application Suggestion |
|
||||||||
|---|---|---|---|---|---|---|---|---|---|
| Application Note | * The dilutions indicate recommended starting dilutions and the optimal dilutions or concentrations should be determined by the scientist. |
Properties
| Form | Liquid |
|---|---|
| Purification | Protein A purification |
| Buffer | PBS with 0.09% sodium azide |
| Storage Instruction | For continuous use, store undiluted antibody at 2-8°C for up to a week. For long-term storage, aliquot and store at -20°C or below. Storage in frost free freezers is not recommended. Avoid repeated freeze/thaw cycles. Suggest spin the vial prior to opening. The antibody solution should be gently mixed before use. |
| Note | For laboratory research only, not for drug, diagnostic or other use. |
Bioinformation
| Database Links | |
|---|---|
| Gene Symbol | NUCB2 |
| Gene Full Name | nucleobindin 2 |
| Background | This gene encodes a protein with a suggested role in calcium level maintenance, eating regulation in the hypothalamus, and release of tumor necrosis factor from vascular endothelial cells. This protein binds calcium and has EF-folding domains. [provided by RefSeq, Oct 2011] |
| Function | Calcium-binding protein. May have a role in calcium homeostasis. Nesfatin-1: Anorexigenic peptide, seems to play an important role in hypothalamic pathways regulating food intake and energy homeostasis, acting in a leptin-independent manner. May also exert hypertensive roles and modulate blood pressure through directly acting on peripheral arterial resistance (By similarity). [UniProt] |
| Cellular Localization | Golgi apparatus, Membrane, Peripheral membrane protein, Cytoplasm, Secreted, Endoplasmic reticulum, Nucleus envelope. [UniProt] |
| Calculated MW | 32 kDa |
| PTM | The N-terminal may be partly blocked. [UniProt] |
Images (3) Click the Picture to Zoom In
-
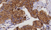
ARG44717 anti-NUCB2 / Nucleobindin 2 antibody IHC-P image
Immunohistochemistry: Human stomach stained with ARG44717 anti-NUCB2 / Nucleobindin 2 antibody at 5 µg/mL dilution.
-
ARG44717 anti-NUCB2 / Nucleobindin 2 antibody WB image
Western blot: HL60 stained with ARG44717 anti-NUCB2 / Nucleobindin 2 antibody at 1 µg/mL dilution.
-
ARG44717 anti-NUCB2 / Nucleobindin 2 antibody IP image
Immunoprecipitation: HL60 lysate immunoprecipitated with 2.5 µg of ARG44717 anti-NUCB2 / Nucleobindin 2 antibody.
