ARG59053
anti-NUCB2 / Nucleobindin 2 antibody
anti-NUCB2 / Nucleobindin 2 antibody for IHC-Formalin-fixed paraffin-embedded sections,Western blot and Rat
Overview
| Product Description | Rabbit Polyclonal antibody recognizes NUCB2 / Nucleobindin 2 |
|---|---|
| Tested Reactivity | Rat |
| Predict Reactivity | Hu |
| Tested Application | IHC-P, WB |
| Specificity | This antibody is predicted to not cross-react with NUCB1. |
| Host | Rabbit |
| Clonality | Polyclonal |
| Isotype | IgG |
| Target Name | NUCB2 / Nucleobindin 2 |
| Antigen Species | Human |
| Immunogen | Synthetic peptide corresponding to a sequence of 16 aa from Human NUCB2 / Nucleobindin 2. |
| Conjugation | Un-conjugated |
| Alternate Names | HEL-S-109; NEFA; Nucleobindin-2; Gastric cancer antigen Zg4; Prepronesfatin; DNA-binding protein NEFA |
Application Instructions
| Application Suggestion |
|
||||||
|---|---|---|---|---|---|---|---|
| Application Note | * The dilutions indicate recommended starting dilutions and the optimal dilutions or concentrations should be determined by the scientist. | ||||||
| Positive Control | Rat brain | ||||||
| Observed Size | 54 kDa |
Properties
| Form | Liquid |
|---|---|
| Purification | Affinity purification with immunogen. |
| Buffer | PBS and 0.02% Sodium azide. |
| Preservative | 0.02% Sodium azide |
| Concentration | 1 mg/ml |
| Storage Instruction | For continuous use, store undiluted antibody at 2-8°C for up to a week. For long-term storage, aliquot and store at -20°C or below. Storage in frost free freezers is not recommended. Avoid repeated freeze/thaw cycles. Suggest spin the vial prior to opening. The antibody solution should be gently mixed before use. |
| Note | For laboratory research only, not for drug, diagnostic or other use. |
Bioinformation
| Database Links | |
|---|---|
| Gene Symbol | NUCB2 |
| Gene Full Name | nucleobindin 2 |
| Background | This gene encodes a protein with a suggested role in calcium level maintenance, eating regulation in the hypothalamus, and release of tumor necrosis factor from vascular endothelial cells. This protein binds calcium and has EF-folding domains. [provided by RefSeq, Oct 2011] |
| Function | Calcium-binding protein. May have a role in calcium homeostasis. Nesfatin-1: Anorexigenic peptide, seems to play an important role in hypothalamic pathways regulating food intake and energy homeostasis, acting in a leptin-independent manner. May also exert hypertensive roles and modulate blood pressure through directly acting on peripheral arterial resistance (By similarity). [UniProt] |
| Cellular Localization | Golgi apparatus. Membrane; Peripheral membrane protein. Cytoplasm. Secreted. Endoplasmic reticulum. Nucleus envelope. Note=Golgi retention is mediated by its N-terminal region. Nesfatin-1: Secreted. [UniProt] |
| Calculated MW | 50 kDa |
Images (3) Click the Picture to Zoom In
-
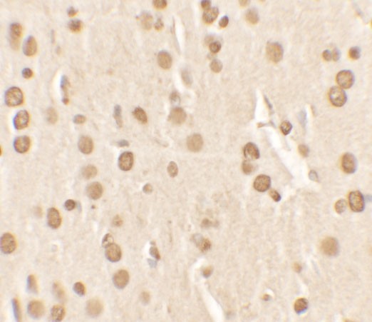
ARG59053 anti-NUCB2 / Nucleobindin 2 antibody IHC-P image
Immunohistochemistry: Paraffin-embedded Rat brain tissue stained with ARG59053 anti-NUCB2 / Nucleobindin 2 antibody at 20 µg/ml dilution.
-
ARG59053 anti-NUCB2 / Nucleobindin 2 antibody WB image
Western blot: Rat brain tissue lysate stained with ARG59053 anti-NUCB2 / Nucleobindin 2 antibody at 0.5 or 1 µg/ml dilution.
-
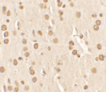
ARG59053 anti-NUCB2 / Nucleobindin 2 antibody IHC-P image
Immunohistochemistry: Paraffin-embedded Rat brain tissue stained with ARG59053 anti-NUCB2 / Nucleobindin 2 antibody at 2.5 µg/ml dilution.
