ARG44130
anti-NUDT5 antibody
anti-NUDT5 antibody for Flow cytometry,IHC-Formalin-fixed paraffin-embedded sections,Western blot and Human,Rat
Overview
| Product Description | Rabbit Polyclonal recognizes NUDT5 |
|---|---|
| Tested Reactivity | Hu, Rat |
| Tested Application | FACS, IHC-P, WB |
| Host | Rabbit |
| Clonality | Polyclonal |
| Isotype | IgG |
| Target Name | NUDT5 |
| Antigen Species | Human |
| Immunogen | Human NUDT5 recombinant protein (Position: M1-F219). |
| Conjugation | Un-conjugated |
| Alternate Names | NUDT5; Nudix Hydrolase 5; YSA1H; Nudix (Nucleoside Diphosphate Linked Moiety X)-Type Motif 5; Nuclear ATP-Synthesis Protein NUDIX5; ADP-Sugar Pyrophosphatase; 8-Oxo-DGDP Phosphatase; HYSAH1; HNUDT5; Nucleoside Diphosphate-Linked Moiety X Motif 5; Nudix Motif 5; EC 3.6.1.13; EC 3.6.1.58; EC 2.7.7.96; NUDIX5; YSAH1; YSA1 |
Application Instructions
| Application Suggestion |
|
||||||||
|---|---|---|---|---|---|---|---|---|---|
| Application Note | The dilutions indicate recommended starting dilutions and the optimal dilutions or concentrations should be determined by the scientist. |
Properties
| Form | Liquid |
|---|---|
| Purification | Affinity purification with immunogen. |
| Buffer | 0.9% NaCl, 0.2% Na2HPO4, 0.05% Sodium azide and 4% Trehalose. |
| Preservative | 0.05% Sodium azide |
| Stabilizer | 4% Trehalose |
| Concentration | 0.5 mg/ml |
| Storage Instruction | For continuous use, store undiluted antibody at 2-8°C for up to a week. For long-term storage, aliquot and store at -20°C or below. Storage in frost free freezers is not recommended. Avoid repeated freeze/thaw cycles. Suggest spin the vial prior to opening. The antibody solution should be gently mixed before use. |
| Note | For laboratory research only, not for drug, diagnostic or other use. |
Bioinformation
| Database Links | |
|---|---|
| Gene Symbol | NUDT5 |
| Gene Full Name | Nudix Hydrolase 5 |
| Background | This gene belongs to the Nudix (nucleoside diphosphate linked moiety X) hydrolase superfamily. The encoded enzyme catalyzes the hydrolysis of modified nucleoside diphosphates, including ADP-ribose (ADPR) and 8-oxoGua-containing 8-oxo-dADP and 8-oxo-dGDP. Protein-bound ADP ribose can be hazardous to the cell because it can modify some amino acid residues, resulting in the inhibition of ATP-activated potassium channels. 8-oxoGua is an oxidized form of guanine that can potentially alter genetic information by pairing with adenine and cytosine in RNA. Presence of 8-oxoGua in RNA results in formation of abnormal proteins due to translational errors. |
| Function | Enzyme that can either act as an ADP-sugar pyrophosphatase in absence of diphosphate or catalyze the synthesis of ATP in presence of diphosphate. |
| Cellular Localization | Nucleus |
| Calculated MW | 24 kDa |
| PTM | Acetylation, Isopeptide bond, Phosphoprotein, Ubl conjugation |
Images (4) Click the Picture to Zoom In
-
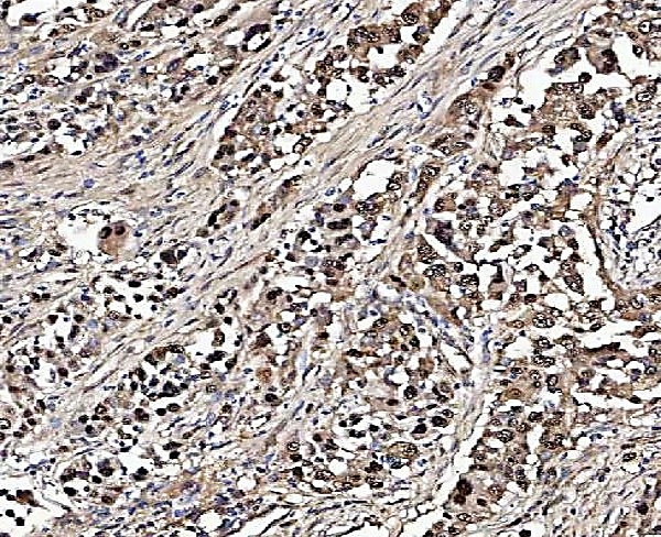
ARG44130 anti-NUDT5 antibody IHC-P image
Immunohistochemistry: Human lung stained with ARG44130 anti-NUDT5 antibody at 2 μg/ml dilution.
-
ARG44130 anti-NUDT5 antibody WB image
Western blot: HeLa, 293T, HepG2 and Jurkat stained with ARG44130 anti-NUDT5 antibody at 0.5 μg/ml dilution.
-
ARG44130 anti-NUDT5 antibody FACS image
Flow Cytometry: 293T stained with ARG44130 anti-NUDT5 antibody at 1 µg/10^6 cells dilution.
-
ARG44130 anti-NUDT5 antibody WB image
Western blot: RH35 stained with ARG44130 anti-NUDT5 antibody at 0.5 μg/ml dilution.
