ARG66795
anti-NXF1 antibody
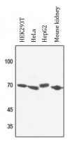
anti-NXF1 antibody for Western blot and Human,Mouse
Overview
| Product Description | Rabbit Polyclonal antibody recognizes NXF1 |
|---|---|
| Tested Reactivity | Hu, Ms |
| Tested Application | WB |
| Host | Rabbit |
| Clonality | Polyclonal |
| Isotype | IgG |
| Target Name | NXF1 |
| Antigen Species | Human |
| Immunogen | KLH-conjugated synthetic peptide within the N-terminal region of Human NXF1. |
| Conjugation | Un-conjugated |
| Alternate Names | Tip-associating protein; mRNA export factor TAP; Tip-associated protein; Nuclear RNA export factor 1; MEX67; TAP |
Application Instructions
| Application Suggestion |
|
||||
|---|---|---|---|---|---|
| Application Note | * The dilutions indicate recommended starting dilutions and the optimal dilutions or concentrations should be determined by the scientist. | ||||
| Positive Control | HEK293T, HeLa, HepG2 and Mouse kidney | ||||
| Observed Size | ~ 70 kDa |
Properties
| Form | Liquid |
|---|---|
| Purification | Affinity purification with immunogen. |
| Buffer | 0.42% Potassium phosphate (pH 7.3), 0.87% NaCl, 0.01% Sodium azide and 30% Glycerol. |
| Preservative | 0.01% Sodium azide |
| Stabilizer | 30% Glycerol |
| Storage Instruction | For continuous use, store undiluted antibody at 2-8°C for up to a week. For long-term storage, aliquot and store at -20°C. Storage in frost free freezers is not recommended. Avoid repeated freeze/thaw cycles. Suggest spin the vial prior to opening. The antibody solution should be gently mixed before use. |
| Note | For laboratory research only, not for drug, diagnostic or other use. |
Bioinformation
| Database Links | |
|---|---|
| Gene Symbol | NXF1 |
| Gene Full Name | nuclear RNA export factor 1 |
| Background | This gene is one member of a family of nuclear RNA export factor genes. Common domain features of this family are a noncanonical RNP-type RNA-binding domain (RBD), 4 leucine-rich repeats (LRRs), a nuclear transport factor 2 (NTF2)-like domain that allows heterodimerization with NTF2-related export protein-1 (NXT1), and a ubiquitin-associated domain that mediates interactions with nucleoporins. The LRRs and NTF2-like domains are required for export activity. Alternative splicing seems to be a common mechanism in this gene family. The encoded protein of this gene shuttles between the nucleus and the cytoplasm and binds in vivo to poly(A)+ RNA. It is the vertebrate homologue of the yeast protein Mex67p. The encoded protein overcomes the mRNA export block caused by the presence of saturating amounts of CTE (constitutive transport element) RNA of type D retroviruses. Alternative splicing results in multiple transcript variants. [provided by RefSeq, Jul 2008] |
| Function | Involved in the nuclear export of mRNA species bearing retroviral constitutive transport elements (CTE) and in the export of mRNA from the nucleus to the cytoplasm (TAP/NFX1 pathway) (PubMed:10924507). The NXF1-NXT1 heterodimer is involved in the export of HSP70 mRNA in conjunction with ALYREF/THOC4 and THOC5 components of the TREX complex (PubMed:18364396, PubMed:19165146, PubMed:9660949). ALYREF/THOC4-bound mRNA is thought to be transferred to the NXF1-NXT1 heterodimer for export (PubMed:18364396, PubMed:19165146, PubMed:9660949). Also involved in nuclear export of m6A-containing mRNAs: interaction between SRSF3 and YTHDC1 facilitates m6A-containing mRNA-binding to both SRSF3 and NXF1, promoting mRNA nuclear export (PubMed:28984244). [UniProt] |
| Cellular Localization | Nucleus. Nucleus, nucleoplasm. Nucleus speckle. Cytoplasm. Note=Localized predominantly in the nucleoplasm and at both the nucleoplasmic and cytoplasmic faces of the nuclear pore complex. Shuttles between the nucleus and the cytoplasm. Travels to the cytoplasm as part of the exon junction complex (EJC) bound to mRNA. The association with the TREX complex seems to occur in regions surrounding nuclear speckles known as perispeckles. Nucleus; nuclear rim. [UniProt] |
| Calculated MW | 70 kDa |
Images (1) Click the Picture to Zoom In
