ARG45372
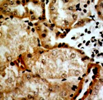
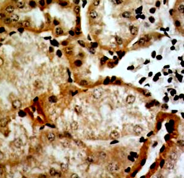
anti-Neogenin antibody [3G55]
anti-Neogenin antibody [3G55] for IHC-Formalin-fixed paraffin-embedded sections and Mouse
Overview
| Product Description | Rat Monoclonal antibody [3G55] recognizes Neogenin |
|---|---|
| Tested Reactivity | Ms |
| Tested Application | IHC-P |
| Host | Rat |
| Clonality | Monoclonal |
| Clone | 3G55 |
| Isotype | IgG2 |
| Target Name | Neogenin |
| Antigen Species | Mouse |
| Immunogen | Recombinant Mouse Neogenin. |
| Conjugation | Un-conjugated |
| Alternate Names | NEO1; Neogenin 1; IGDCC2; NGN; NTN1R2; Immunoglobulin Superfamily DCC Subclass Member 2; HsT17534; Neogenin; Immunoglobulin Superfamily, DCC Subclass, Member 2; Neogenin (Chicken) Homolog 1; Neogenin Homolog 1 |
Application Instructions
| Application Suggestion |
|
||||
|---|---|---|---|---|---|
| Application Note | * The dilutions indicate recommended starting dilutions and the optimal dilutions or concentrations should be determined by the scientist. |
Properties
| Form | Liquid |
|---|---|
| Purification | Protein A/G chromatography |
| Buffer | PBS |
| Concentration | 0.2 mg/ml |
| Storage Instruction | For continuous use, store undiluted antibody at 2-8°C for up to a week. For long-term storage, aliquot and store at -20°C or below. Storage in frost free freezers is not recommended. Avoid repeated freeze/thaw cycles. Suggest spin the vial prior to opening. The antibody solution should be gently mixed before use. |
| Note | For laboratory research only, not for drug, diagnostic or other use. |
Bioinformation
| Gene Symbol | NEO1 |
|---|---|
| Gene Full Name | Neogenin 1 |
| Background | This gene encodes a cell surface protein that is a member of the immunoglobulin superfamily. The encoded protein consists of four N-terminal immunoglobulin-like domains, six fibronectin type III domains, a transmembrane domain and a C-terminal internal domain that shares homology with the tumor suppressor candidate gene DCC. This protein may be involved in cell growth and differentiation and in cell-cell adhesion. Defects in this gene are associated with cell proliferation in certain cancers. Alternate splicing results in multiple transcript variants. [provided by RefSeq, Feb 2010] |
| Cellular Localization | Membrane. [UniProt] |
| Calculated MW | 163 kDa |
| PTM | Glycoprotein. [UniProt] |
Images (1) Click the Picture to Zoom In
