ARG45396
anti-Nesprin 2 antibody
anti-Nesprin 2 antibody for Flow cytometry,ICC/IF,IHC-Formalin-fixed paraffin-embedded sections,Western blot and Human,Monkey
Overview
| Product Description | Rabbit Polyclonal antibody recognizes Nesprin 2 |
|---|---|
| Tested Reactivity | Hu, Mk |
| Tested Application | FACS, ICC/IF, IHC-P, WB |
| Host | Rabbit |
| Clonality | Polyclonal |
| Isotype | IgG |
| Target Name | Nesprin 2 |
| Antigen Species | Human |
| Immunogen | Recombinant protein containing to human Nesprin 2. |
| Conjugation | Un-conjugated |
| Alternate Names | SYNE2; Spectrin Repeat Containing Nuclear Envelope Protein 2; Nesprin-2; NUA; KIAA1011; SYNE-2; NUANCE; Nesp2; Spectrin Repeat Containing, Nuclear Envelope 2; Nucleus And Actin Connecting Element Protein; Nuclear Envelope Spectrin Repeat Protein 2; Synaptic Nuclear Envelope Protein 2; KASH Domain-Containing Protein 2; DKFZP434H2235; KASH2; Nucleus And Actin Connecting Element; Nuclear Envelope Spectrin Repeat-2; Synaptic Nuclei Expressed Gene 2; Nesprin-2 Spectrin Repeats 3-54; Protein NUANCE; Polytrophin; Nesprin 2; Syne-2; EDMD5; TROPH |
Application Instructions
| Application Suggestion |
|
||||||||||
|---|---|---|---|---|---|---|---|---|---|---|---|
| Application Note | * The dilutions indicate recommended starting dilutions and the optimal dilutions or concentrations should be determined by the scientist. | ||||||||||
| Observed Size | 50-60 kDa |
Properties
| Form | Liquid |
|---|---|
| Purification | Affinity purified |
| Buffer | 0.2% Na2HPO4, 0.9% NaCl and 4% Trehalose. |
| Stabilizer | 4% Trehalose |
| Concentration | 0.5 mg/ml |
| Storage Instruction | For continuous use, store undiluted antibody at 2-8°C for up to a week. For long-term storage, aliquot and store at -20°C or below. Storage in frost free freezers is not recommended. Avoid repeated freeze/thaw cycles. Suggest spin the vial prior to opening. The antibody solution should be gently mixed before use. |
| Note | For laboratory research only, not for drug, diagnostic or other use. |
Bioinformation
| Database Links | |
|---|---|
| Gene Symbol | SYNE2 |
| Gene Full Name | Spectrin Repeat Containing Nuclear Envelope Protein 2 |
| Background | The protein encoded by this gene is a nuclear outer membrane protein that binds cytoplasmic F-actin. This binding tethers the nucleus to the cytoskeleton and aids in the maintenance of the structural integrity of the nucleus. Several transcript variants encoding different isoforms have been found for this gene. [provided by RefSeq, Mar 2009] |
| Function | Multi-isomeric modular protein which forms a linking network between organelles and the actin cytoskeleton to maintain the subcellular spatial organization. As a component of the LINC (LInker of Nucleoskeleton and Cytoskeleton) complex involved in the connection between the nuclear lamina and the cytoskeleton. The nucleocytoplasmic interactions established by the LINC complex play an important role in the transmission of mechanical forces across the nuclear envelope and in nuclear movement and positioning. [UniProt] |
| Cellular Localization | Cell junction; Cell membrane; Cytoplasm; Cytoskeleton; Membrane; Mitochondrion; Nucleus; Sarcoplasmic reticulum. [UniProt] |
| Calculated MW | 97 kDa |
| PTM | Acetylation; Disulfide bond; Phosphoprotein; Ubl conjugation. [UniProt] |
Images (5) Click the Picture to Zoom In
-
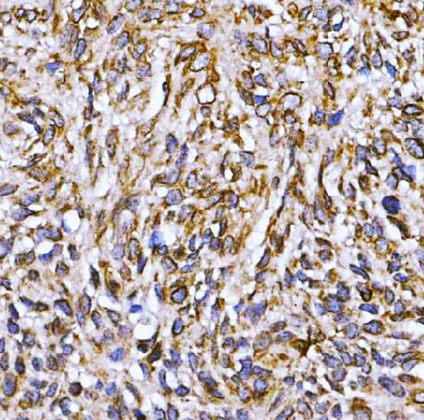
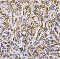
ARG45396 anti-Nesprin 2 antibody IHC-P image
Immunohistochemistry: Human penis squamous cell carcinoma stained with ARG45396 anti-Nesprin 2 antibody at 2 μg/ml dilution.
-
ARG45396 anti-Nesprin 2 antibody ICC/IF image
Immunofluorescence: Hela stained with ARG45396 anti-Nesprin 2 antibody at 5 μg/ml dilution.
-
ARG45396 anti-Nesprin 2 antibody WB image
Western blot: 293T stained with ARG45396 anti-Nesprin 2 antibody at 0.5 μg/ml dilution.
-
ARG45396 anti-Nesprin 2 antibody FACS image
Flow Cytometry: U87 stained with ARG45396 anti-Nesprin 2 antibody at 1 µg/10^6 cells dilution.
-
ARG45396 anti-Nesprin 2 antibody WB image
Western blot: COS-7 stained with ARG45396 anti-Nesprin 2 antibody at 0.5 μg/ml dilution.
