ARG45930
anti-Netrin 4 antibody
anti-Netrin 4 antibody for Western blot,IHC-Formalin-fixed paraffin-embedded sections,Flow cytometry and Human
Overview
| Product Description | Rabbit Polyclonal antibody recognizes Netrin 4 |
|---|---|
| Tested Reactivity | Hu |
| Tested Application | FACS, IHC-P, WB |
| Host | Rabbit |
| Clonality | Polyclonal |
| Isotype | IgG |
| Target Name | Netrin 4 |
| Antigen Species | Human |
| Immunogen | Recombinant protein containing to human Netrin 4. |
| Conjugation | Un-conjugated |
| Alternate Names | Netrin 4; NTN4; Netrin-4; Beta-netrin; Hepar-derived netrin-like protein |
Application Instructions
| Application Suggestion |
|
||||||||
|---|---|---|---|---|---|---|---|---|---|
| Application Note | * The dilutions indicate recommended starting dilutions and the optimal dilutions or concentrations should be determined by the scientist. | ||||||||
| Observed Size | 70 kDa |
Properties
| Form | Liquid |
|---|---|
| Purification | Affinity chromatography purified |
| Buffer | 0.2% Na2HPO4, 0.9% NaCl and 4% Trehalose. |
| Stabilizer | 4% Trehalose |
| Concentration | 0.5 mg/ml |
| Storage Instruction | For continuous use, store undiluted antibody at 2-8°C for up to a week. For long-term storage, aliquot and store at -22°C or below. Storage in frost free freezers is not recommended. Avoid repeated freeze/thaw cycles. Suggest spin the vial prior to opening. The antibody solution should be gently mixed before use. |
| Note | For laboratory research only, not for drug, diagnostic or other use. |
Bioinformation
| Database Links | |
|---|---|
| Gene Symbol | NTN4 |
| Gene Full Name | Netrin 4 |
| Background | This gene encodes a member of the netrin family of proteins, which function in various biological processes including axon guidance, tumorogenesis, and angiogenesis. Netrins are laminin-related proteins that have an N-terminal laminin-type domain, epidermal growth factor-like repeat domain, and a positively charged heparin-binding domain at the C-terminus. The protein encoded by this gene is involved in processes including neurite growth and migration, angiogenesis and mural cell adhesion to endothelial cells. Alternative splicing results in multiple transcript variants. [provided by RefSeq, Jul 2016] |
| Function | May play an important role in neural, kidney and vascular development. Promotes neurite elongation from olfactory bulb explants. [UniProt] |
| Cellular Localization | Basement membrane; Extracellular matrix; Secreted. [UniProt] |
| Calculated MW | 70 kDa |
| PTM | Disulfide bond; Glycoprotein. [UniProt] |
Images (3) Click the Picture to Zoom In
-
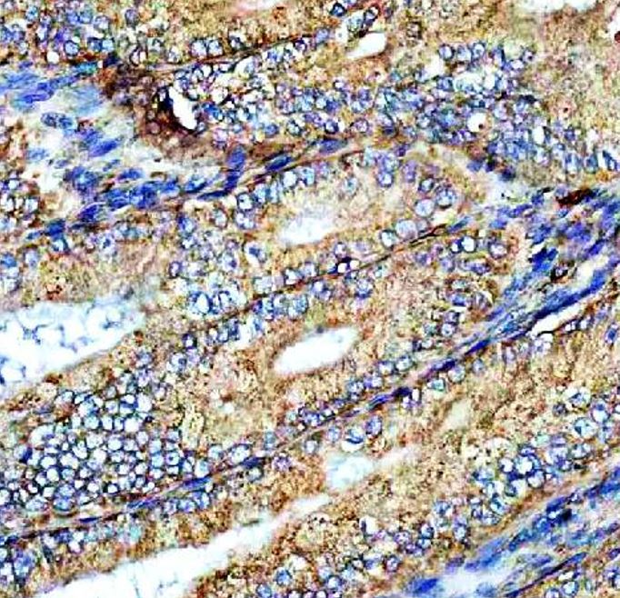
ARG45930 anti-Netrin 4 antibody IHC-P image
Immunohistochemistry: Human endometrial cancer stained with ARG45930 anti-Netrin 4 antibody at 2 μg/ml dilution.
-
ARG45930 anti-Netrin 4 antibody WB image
Western blot: RT4 stained with ARG45930 anti-Netrin 4 antibody at 0.5 μg/ml dilution.
-
ARG45930 anti-Netrin 4 antibody FACS image
Flow Cytometry: SiHa stained with ARG45930 anti-Netrin 4 antibody at 1 µg/10^6 cells dilution.
