ARG66463
anti-Neuroligin Y antibody
anti-Neuroligin Y antibody for IHC-Formalin-fixed paraffin-embedded sections,Western blot and Human,Mouse,Rat
Overview
| Product Description | Rabbit Polyclonal antibody recognizes Neuroligin Y |
|---|---|
| Tested Reactivity | Hu, Ms, Rat |
| Tested Application | IHC-P, WB |
| Host | Rabbit |
| Clonality | Polyclonal |
| Isotype | IgG |
| Target Name | Neuroligin Y |
| Antigen Species | Human |
| Immunogen | Recombinant full length protein of Human Neuroligin Y. |
| Conjugation | Un-conjugated |
| Alternate Names | Neuroligin Y; Neuroligin-4, Y-linked |
Application Instructions
| Application Suggestion |
|
||||||
|---|---|---|---|---|---|---|---|
| Application Note | IHC-P: Antigen Retrieval: Heat mediation was performed in Sodium citrate buffer (pH 6.0). * The dilutions indicate recommended starting dilutions and the optimal dilutions or concentrations should be determined by the scientist. |
Properties
| Form | Liquid |
|---|---|
| Purification | Affinity purification with immunogen. |
| Buffer | 0.42% Potassium phosphate (pH 7.3), 0.87% NaCl, 0.01% Sodium azide and 30% Glycerol. |
| Preservative | 0.01% Sodium azide |
| Stabilizer | 30% Glycerol |
| Storage Instruction | For continuous use, store undiluted antibody at 2-8°C for up to a week. For long-term storage, aliquot and store at -20°C. Storage in frost free freezers is not recommended. Avoid repeated freeze/thaw cycles. Suggest spin the vial prior to opening. The antibody solution should be gently mixed before use. |
| Note | For laboratory research only, not for drug, diagnostic or other use. |
Bioinformation
| Database Links | |
|---|---|
| Gene Symbol | NLGN4Y |
| Gene Full Name | neuroligin 4, Y-linked |
| Background | This gene encodes a type I membrane protein that belongs to the family of neuroligins, which are cell adhesion molecules present at the postsynaptic side of the synapse, and may be essential for the formation of functional synapses. Alternatively spliced transcript variants have been found for this gene.[provided by RefSeq, Mar 2011] |
| Function | Putative neuronal cell surface protein involved in cell-cell-interactions. [UniProt] |
| Cellular Localization | Cell membrane; Single-pass type I membrane protein. Cell junction, synapse, postsynaptic cell membrane, postsynaptic density. [UniProt] |
| Calculated MW | 92 kDa |
Images (2) Click the Picture to Zoom In
-
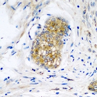
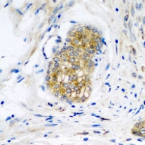
ARG66463 anti-NLGN4Y / Neuroligin Y antibody IHC-P image
Immunohistochemistry: Formalin-fixed and paraffin-embedded Human prostate. Antigen Retrieval: Heat mediation was performed in Sodium citrate buffer (pH 6.0). The section was then incubated with ARG66463 anti-NLGN4Y / Neuroligin Y antibody at room temperature and detected using an HRP conjugated compact polymer system. DAB was used as the chromogen. The section was then counterstained with haematoxylin and mounted with DPX.
-
ARG66463 anti-NLGN4Y / Neuroligin Y antibody WB image
Western blot: HeLa, A549, Mouse brain and Rat brain lysates stained with ARG66463 anti-NLGN4Y / Neuroligin Y antibody.
