ARG40838
anti-Neutrophil Elastase antibody
anti-Neutrophil Elastase antibody for IHC-Formalin-fixed paraffin-embedded sections,Western blot and Mouse,Rat
Overview
| Product Description | Rabbit Polyclonal antibody recognizes Neutrophil Elastase |
|---|---|
| Tested Reactivity | Ms, Rat |
| Predict Reactivity | Hu |
| Tested Application | IHC-P, WB |
| Host | Rabbit |
| Clonality | Polyclonal |
| Isotype | IgG |
| Target Name | Neutrophil Elastase |
| Antigen Species | Mouse |
| Immunogen | Recombinant protein corresponding to S27-N265 of Mouse Neutrophil Elastase. |
| Conjugation | Un-conjugated |
| Alternate Names | Neutrophil elastase; HNE; EC 3.4.21.37; Medullasin; NE; ELA2; GE; Bone marrow serine protease; SCN1; PMN-E; Human leukocyte elastase; HLE; Elastase-2; PMN elastase |
Application Instructions
| Application Suggestion |
|
||||||
|---|---|---|---|---|---|---|---|
| Application Note | * The dilutions indicate recommended starting dilutions and the optimal dilutions or concentrations should be determined by the scientist. |
Properties
| Form | Liquid |
|---|---|
| Purification | Affinity purification with immunogen. |
| Buffer | 0.2% Na2HPO4, 0.9% NaCl, 0.05% Sodium azide and 5% BSA. |
| Preservative | 0.05% Sodium azide |
| Stabilizer | 5% BSA |
| Concentration | 0.5 mg/ml |
| Storage Instruction | For continuous use, store undiluted antibody at 2-8°C for up to a week. For long-term storage, aliquot and store at -20°C or below. Storage in frost free freezers is not recommended. Avoid repeated freeze/thaw cycles. Suggest spin the vial prior to opening. The antibody solution should be gently mixed before use. |
| Note | For laboratory research only, not for drug, diagnostic or other use. |
Bioinformation
| Database Links | |
|---|---|
| Gene Symbol | ELANE |
| Gene Full Name | elastase, neutrophil expressed |
| Background | Elastases form a subfamily of serine proteases that hydrolyze many proteins in addition to elastin. Humans have six elastase genes which encode the structurally similar proteins. The product of this gene hydrolyzes proteins within specialized neutrophil lysosomes, called azurophil granules, as well as proteins of the extracellular matrix following the protein's release from activated neutrophils. The enzyme may play a role in degenerative and inflammatory diseases by its proteolysis of collagen-IV and elastin of the extracellular matrix. This protein degrades the outer membrane protein A (OmpA) of E. coli as well as the virulence factors of such bacteria as Shigella, Salmonella and Yersinia. Mutations in this gene are associated with cyclic neutropenia and severe congenital neutropenia (SCN). This gene is clustered with other serine protease gene family members, azurocidin 1 and proteinase 3 genes, at chromosome 19pter. All 3 genes are expressed coordinately and their protein products are packaged together into azurophil granules during neutrophil differentiation. [provided by RefSeq, May 2009] |
| Function | Modifies the functions of natural killer cells, monocytes and granulocytes. Inhibits C5a-dependent neutrophil enzyme release and chemotaxis. [UniProt] |
| Calculated MW | 29 kDa |
Images (3) Click the Picture to Zoom In
-
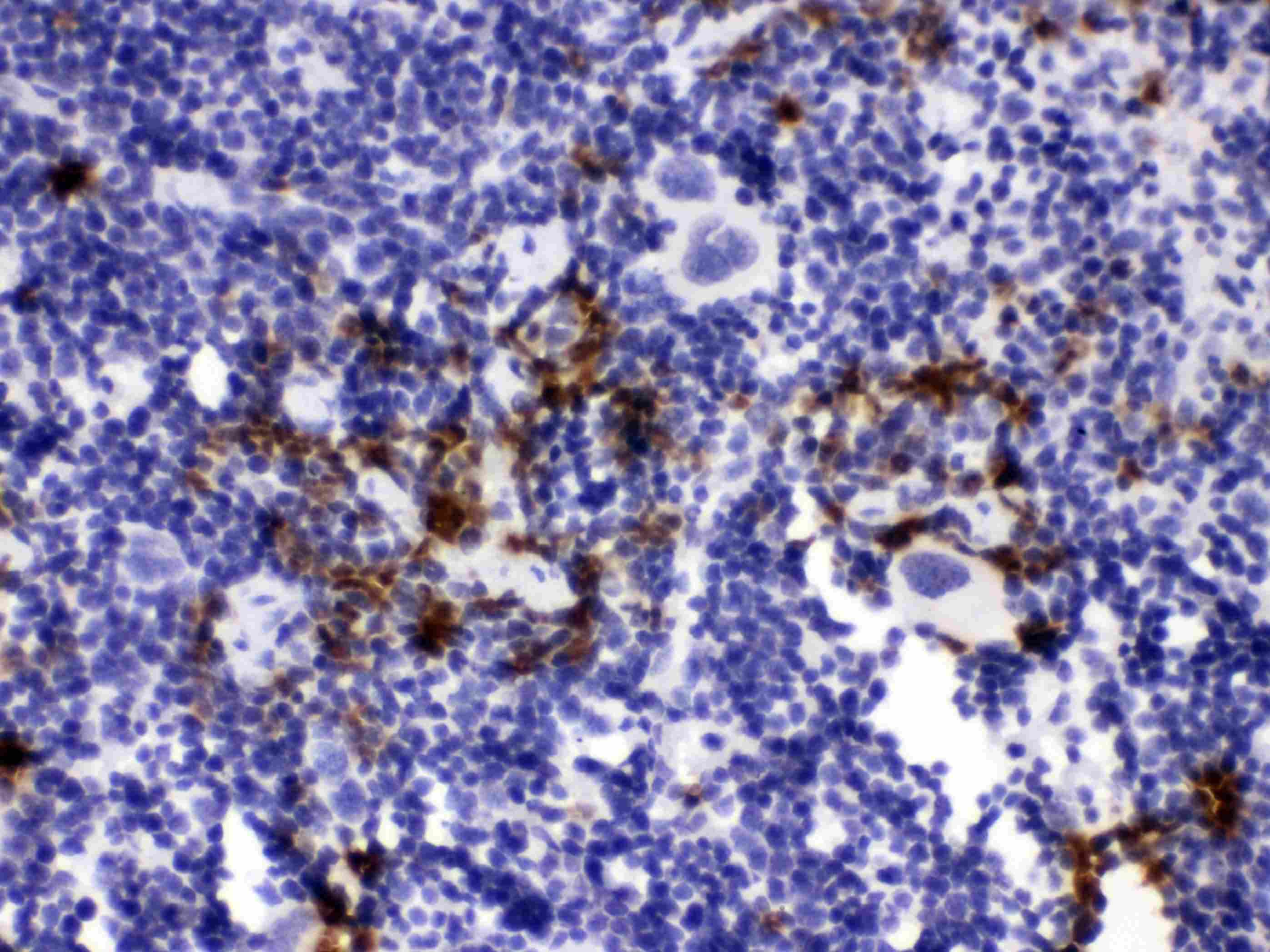
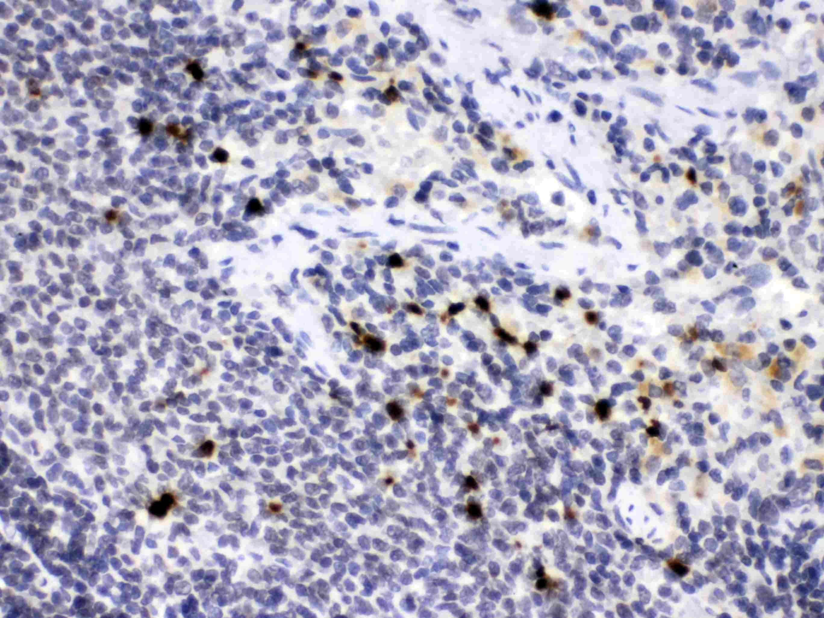
ARG40838 anti-Neutrophil Elastase antibody IHC-P image
Immunohistochemistry: Paraffin-embedded Mouse spleen tissue stained with ARG40838 anti-Neutrophil Elastase antibody at 1 µg/ml dilution.
-
ARG40838 anti-Neutrophil Elastase antibody WB image
Western blot: Mouse bone and Mouse spleen lysates stained with ARG40838 anti-Neutrophil Elastase antibody at 0.5 µg/ml dilution.
-
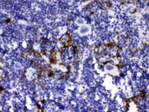
ARG40838 anti-Neutrophil Elastase antibody IHC-P image
Immunohistochemistry: Paraffin-embedded Rat spleen tissue stained with ARG40838 anti-Neutrophil Elastase antibody at 1 µg/ml dilution.
