ARG45603
anti-Nicalin antibody
anti-Nicalin antibody for Flow cytometry,ICC/IF,IHC-Formalin-fixed paraffin-embedded sections,Western blot and Human,Mouse,Rat
Overview
| Product Description | Rabbit Polyclonal antibody recognizes Nicalin |
|---|---|
| Tested Reactivity | Hu, Ms, Rat |
| Tested Application | FACS, ICC/IF, IHC-P, WB |
| Host | Rabbit |
| Clonality | Polyclonal |
| Isotype | IgG |
| Target Name | Nicalin |
| Antigen Species | Human |
| Immunogen | Recombinant protein containing to human Nicalin. |
| Conjugation | Un-conjugated |
| Alternate Names | NCLN; Nicalin; Nicastrin-Like Protein; NET59; BOS Complex Subunit NCLN; Nicalin Homolog (Zebrafish); Nicalin Homolog |
Application Instructions
| Application Suggestion |
|
||||||||||
|---|---|---|---|---|---|---|---|---|---|---|---|
| Application Note | * The dilutions indicate recommended starting dilutions and the optimal dilutions or concentrations should be determined by the scientist. | ||||||||||
| Observed Size | 63 kDa |
Properties
| Form | Liquid |
|---|---|
| Purification | Affinity purified |
| Buffer | 0.2% Na2HPO4, 0.9% NaCl and 4% Trehalose. |
| Stabilizer | 4% Trehalose |
| Concentration | 0.5 mg/ml |
| Storage Instruction | For continuous use, store undiluted antibody at 2-8°C for up to a week. For long-term storage, aliquot and store at -20°C or below. Storage in frost free freezers is not recommended. Avoid repeated freeze/thaw cycles. Suggest spin the vial prior to opening. The antibody solution should be gently mixed before use. |
| Note | For laboratory research only, not for drug, diagnostic or other use. |
Bioinformation
| Database Links | |
|---|---|
| Gene Symbol | NCLN |
| Gene Full Name | Nicalin |
| Background | Enables ribosome binding activity. Involved in several processes, including multi-pass transmembrane protein insertion into ER membrane; protein stabilization; and regulation of protein complex stability. Located in endoplasmic reticulum membrane. Part of multi-pass translocon complex. [provided by Alliance of Genome Resources, Feb 2025] |
| Function | Component of the multi-pass translocon (MPT) complex that mediates insertion of multi-pass membrane proteins into the lipid bilayer of membranes. [UniProt] |
| Cellular Localization | Endoplasmic reticulum; Membrane. [UniProt] |
| Calculated MW | 63 kDa |
| PTM | Glycoprotein. [UniProt] |
Images (6) Click the Picture to Zoom In
-
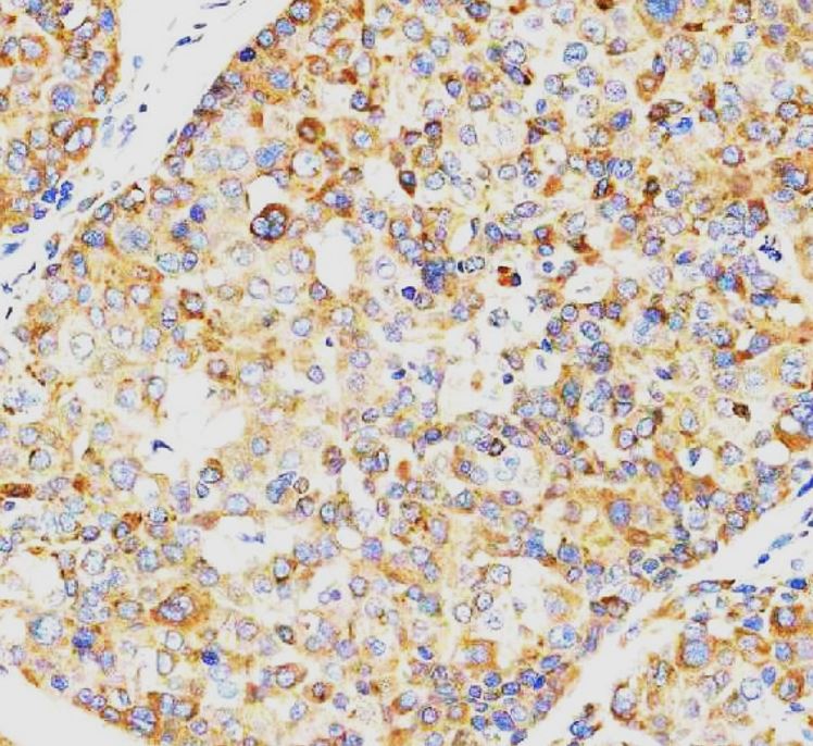
ARG45603 anti-Nicalin antibody IHC-P image
Immunohistochemistry: Human liver cancer stained with ARG45603 anti-Nicalin antibody at 2 μg/ml dilution.
-
ARG45603 anti-Nicalin antibody ICC/IF image
Immunofluorescence: Hela stained with ARG45603 anti-Nicalin antibody at 5 μg/ml dilution.
-
ARG45603 anti-Nicalin antibody WB image
Western blot: CCRF-CEM stained with ARG45603 anti-Nicalin antibody at 0.5 μg/ml dilution.
-
ARG45603 anti-Nicalin antibody FACS image
Flow Cytometry: JK stained with ARG45603 anti-Nicalin antibody at 1 µg/10^6 cells dilution.
-
ARG45603 anti-Nicalin antibody WB image
Western blot: L6 stained with ARG45603 anti-Nicalin antibody at 0.5 μg/ml dilution.
-
ARG45603 anti-Nicalin antibody WB image
Western blot: Neuro-2a stained with ARG45603 anti-Nicalin antibody at 0.5 μg/ml dilution.
