ARG22269
anti-Nitrotyrosine antibody [39B6]
anti-Nitrotyrosine antibody [39B6] for ELISA,Flow cytometry,ICC/IF,IHC-Formalin-fixed paraffin-embedded sections,Immunoprecipitation,Western blot and Other
Overview
| Product Description | Mouse Monoclonal antibody [39B6] recognizes Nitrotyrosine |
|---|---|
| Tested Reactivity | Other |
| Tested Application | ELISA, FACS, ICC/IF, IHC-P, IP, WB |
| Specificity | Recognizes 3-nitrotyrosine moieties. No detectable cross-reactivity with non-nitrated tyrosine. Not species specific. |
| Host | Mouse |
| Clonality | Monoclonal |
| Clone | 39B6 |
| Isotype | IgG2a |
| Target Name | Nitrotyrosine |
| Immunogen | Hybridoma line 39B6 |
| Conjugation | Un-conjugated |
Application Instructions
| Application Suggestion |
|
||||||||||||||
|---|---|---|---|---|---|---|---|---|---|---|---|---|---|---|---|
| Application Note | * The dilutions indicate recommended starting dilutions and the optimal dilutions or concentrations should be determined by the scientist. |
Properties
| Form | Liquid |
|---|---|
| Purification | Purification with Protein G. |
| Buffer | PBS, 0.09% Sodium azide and 50% Glycerol |
| Preservative | 0.09% Sodium azide |
| Stabilizer | 50% Glycerol |
| Concentration | 1 mg/ml |
| Storage Instruction | For continuous use, store undiluted antibody at 2-8°C for up to a week. For long-term storage, aliquot and store at -20°C. Storage in frost free freezers is not recommended. Avoid repeated freeze/thaw cycles. Suggest spin the vial prior to opening. The antibody solution should be gently mixed before use. |
| Note | For laboratory research only, not for drug, diagnostic or other use. |
Bioinformation
| Highlight | Related products: anti-Nitrotyrosine antibody [39B6]; |
|---|
Images (4) Click the Picture to Zoom In
-
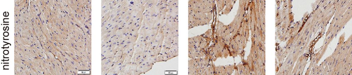
ARG22269 anti-Nitrotyrosine antibody [39B6] IHC-P image
Immunohistochemistry: Mouse heart stained with ARG22269 anti-Nitrotyrosine antibody [39B6].
From He J et al. Front Pharmacol. (2023), doi: 10.3389/fphar.2022.1079251, Fig. 4D.
-
ARG22269 anti-Nitrotyrosine antibody [39B6] IHC image
Immunohistochemistry: Rat liver tissue stained with ARG22269 anti-Nitrotyrosine antibody [39B6] at 1:1000 dilution.
-
ARG22269 anti-Nitrotyrosine antibody [39B6] IHC image
Immunohistochemistry: Formalin fixed Mouse inflamed colon stained with ARG22269 anti-Nitrotyrosine antibody [39B6] at 1:1000000 dilution (12 hours). Counterstain: Mayer Hematoxylin (purple/blue) nuclear stain at 200uL for 2 min at RT. Magnification: 40x.
-
ARG22269 anti-Nitrotyrosine antibody [39B6] IHC image
Immunohistochemistry: Formalin fixed Human colon carcinoma stained with ARG22269 anti-Nitrotyrosine antibody [39B6] at 1:25000 dilution (12 hours). Counterstain: Mayer Hematoxylin (purple/blue) nuclear stain at 200uL for 2 min at RT. Magnification: 40x.

