ARG45672
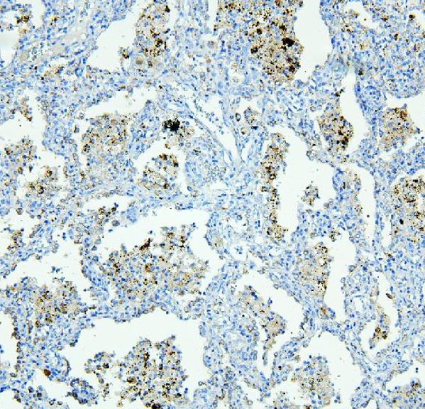
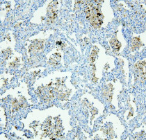
anti-Nlrp4g antibody
anti-Nlrp4g antibody for IHC-Formalin-fixed paraffin-embedded sections,Western blot and Mouse
Overview
| Product Description | Rabbit Polyclonal antibody recognizes Nlrp4g |
|---|---|
| Tested Reactivity | Ms |
| Tested Application | IHC-P, WB |
| Host | Rabbit |
| Clonality | Polyclonal |
| Isotype | IgG |
| Target Name | Nlrp4g |
| Antigen Species | Mouse |
| Immunogen | Synthetic peptide corresponding to C-terminal region of mouse Nlrp4g. |
| Conjugation | Un-conjugated |
| Alternate Names | NLR family, pyrin domain containing 4G ;Nlrp4g |
Application Instructions
| Application Suggestion |
|
||||||
|---|---|---|---|---|---|---|---|
| Application Note | * The dilutions indicate recommended starting dilutions and the optimal dilutions or concentrations should be determined by the scientist. |
Properties
| Form | Liquid |
|---|---|
| Purification | Affinity purified |
| Buffer | 0.9% NaCl, 0.2% Na2HPO4, 0.05% Thimerosal, 0.05% Sodium azide and 5% BSA. |
| Preservative | 0.05% Thimerosal and 0.05% Sodium azide |
| Stabilizer | 5% BSA |
| Concentration | 0.5 mg/ml |
| Storage Instruction | For continuous use, store undiluted antibody at 2-8°C for up to a week. For long-term storage, aliquot and store at -20°C or below. Storage in frost free freezers is not recommended. Avoid repeated freeze/thaw cycles. Suggest spin the vial prior to opening. The antibody solution should be gently mixed before use. |
| Note | For laboratory research only, not for drug, diagnostic or other use. |
Bioinformation
| Gene Symbol | Nlrp4g |
|---|---|
| Gene Full Name | NLR family, pyrin domain containing 4G |
| Calculated MW | 85 kDa |
Images (2) Click the Picture to Zoom In
