ARG66688
anti-Nur77 / TR3 phospho (Ser351) antibody
anti-Nur77 / TR3 phospho (Ser351) antibody for IHC-Formalin-fixed paraffin-embedded sections,Western blot and Human
Overview
| Product Description | Rabbit Polyclonal antibody recognizes Nur77 / TR3 phospho (Ser351) |
|---|---|
| Tested Reactivity | Hu |
| Tested Application | IHC-P, WB |
| Specificity | The antibody detects Nur77 protein only when phosphorylated at Ser351. |
| Host | Rabbit |
| Clonality | Polyclonal |
| Isotype | IgG |
| Target Name | Nur77 / TR3 |
| Antigen Species | Human |
| Immunogen | Phosphospecific peptide around Ser351 of Human Nur77 / TR3. |
| Conjugation | Un-conjugated |
| Alternate Names | ST-59; N10; Nur77; GFRP1; Testicular receptor 3; NP10; NAK-1; HMR; Orphan nuclear receptor TR3; Nuclear hormone receptor NUR/77; Orphan nuclear receptor HMR; Early response protein NAK1; NGFIB; TR3; NUR77; Nuclear receptor subfamily 4 group A member 1 |
Application Instructions
| Application Suggestion |
|
||||||
|---|---|---|---|---|---|---|---|
| Application Note | * The dilutions indicate recommended starting dilutions and the optimal dilutions or concentrations should be determined by the scientist. | ||||||
| Positive Control | HepG2 | ||||||
| Observed Size | ~ 64 kDa |
Properties
| Form | Liquid |
|---|---|
| Purification | Affinity purification with immunogen. |
| Buffer | PBS, 0.02% Sodium azide, 50% Glycerol and 0.5% BSA. |
| Preservative | 0.02% Sodium azide |
| Stabilizer | 50% Glycerol and 0.5% BSA |
| Concentration | 1 mg/ml |
| Storage Instruction | For continuous use, store undiluted antibody at 2-8°C for up to a week. For long-term storage, aliquot and store at -20°C. Storage in frost free freezers is not recommended. Avoid repeated freeze/thaw cycles. Suggest spin the vial prior to opening. The antibody solution should be gently mixed before use. |
| Note | For laboratory research only, not for drug, diagnostic or other use. |
Bioinformation
| Database Links |
Swiss-port # P22736 Human Nuclear receptor subfamily 4 group A member 1 |
|---|---|
| Gene Symbol | NR4A1 |
| Gene Full Name | nuclear receptor subfamily 4, group A, member 1 |
| Background | This gene encodes a member of the steroid-thyroid hormone-retinoid receptor superfamily. Expression is induced by phytohemagglutinin in human lymphocytes and by serum stimulation of arrested fibroblasts. The encoded protein acts as a nuclear transcription factor. Translocation of the protein from the nucleus to mitochondria induces apoptosis. Multiple transcript variants encoding different isoforms have been found for this gene. [provided by RefSeq, Jan 2011] |
| Function | Orphan nuclear receptor. May act concomitantly with NURR1 in regulating the expression of delayed-early genes during liver regeneration. Binds the NGFI-B response element (NBRE) 5'-AAAAGGTCA-3' (By similarity). May inhibit NF-kappa-B transactivation of IL2. Participates in energy homeostasis by sequestrating the kinase STK11 in the nucleus, thereby attenuating cytoplasmic AMPK activation. [UniProt] |
| Cellular Localization | Cytoplasm. Nucleus. [UniProt] |
| Calculated MW | 64 kDa |
| PTM | Phosphorylated at Ser-351 by RPS6KA1 and RPS6KA3 in response to mitogenic or stress stimuli. Acetylated by p300/CBP, acetylation increases stability. Deacetylated by HDAC1. [UniProt] |
Images (2) Click the Picture to Zoom In
-
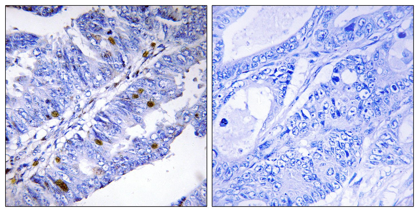
ARG66688 anti-Nur77 / TR3 phospho (Ser351) antibody IHC-P image
Immunohistochemistry: Paraffin-embedded Human colon carcinoma tissue stained with ARG66688 anti-Nur77 / TR3 phospho (Ser351) antibody. The picture on the right is blocked with the phospho peptide.
-
ARG66688 anti-Nur77 / TR3 phospho (Ser351) antibody WB image
Western blot: HepG2 cell nucleus lysate stained with ARG66688 anti-Nur77 / TR3 phospho (Ser351) antibody.
