ARG40517
anti-OAS1 antibody
anti-OAS1 antibody for IHC-Formalin-fixed paraffin-embedded sections,Western blot and Human
Overview
| Product Description | Rabbit Polyclonal antibody recognizes OAS1 |
|---|---|
| Tested Reactivity | Hu |
| Predict Reactivity | Ms, Rat, Cow, Dog, Hrs, Pig, Rb |
| Tested Application | IHC-P, WB |
| Host | Rabbit |
| Clonality | Polyclonal |
| Isotype | IgG |
| Target Name | OAS1 |
| Antigen Species | Human |
| Immunogen | Synthetic peptide around the N-terminal region of Human OAS1. (within the following region: MMDLRNTPAKSLDKFIEDYLLPDTCFRMQINHAIDIICGFLKERCFRGSS) |
| Conjugation | Un-conjugated |
| Alternate Names | A; OIASI; p46/p42 OAS; E18/E16; 2-5'; OIAS; IFI-4; EC 2.7.7.84; 2-5A synthase 1; 2'-5'-oligoadenylate synthase 1 |
Application Instructions
| Predict Reactivity Note | Predicted Homology Based On Immunogen Sequence: Cow: 86%; Dog: 79%; Horse: 86%; Mouse: 86%; Pig: 79%; Rabbit: 79%; Rat: 79% | ||||||
|---|---|---|---|---|---|---|---|
| Application Suggestion |
|
||||||
| Application Note | IHC-P: Antigen Retrieval: Heat mediation was performed in Citrate buffer (pH 6.0) for 20 min. * The dilutions indicate recommended starting dilutions and the optimal dilutions or concentrations should be determined by the scientist. |
||||||
| Observed Size | 39 kDa |
Properties
| Form | Liquid |
|---|---|
| Purification | Affinity purified. |
| Buffer | PBS, 0.09% (w/v) Sodium azide and 2% Sucrose. |
| Preservative | 0.09% (w/v) Sodium azide |
| Stabilizer | 2% Sucrose |
| Concentration | Batch dependent: 0.5 - 1 mg/ml |
| Storage Instruction | For continuous use, store undiluted antibody at 2-8°C for up to a week. For long-term storage, aliquot and store at -20°C or below. Storage in frost free freezers is not recommended. Avoid repeated freeze/thaw cycles. Suggest spin the vial prior to opening. The antibody solution should be gently mixed before use. |
| Note | For laboratory research only, not for drug, diagnostic or other use. |
Bioinformation
| Database Links | |
|---|---|
| Gene Symbol | OAS1 |
| Gene Full Name | 2'-5'-oligoadenylate synthetase 1, 40/46kDa |
| Background | This gene encodes a member of the 2-5A synthetase family, essential proteins involved in the innate immune response to viral infection. The encoded protein is induced by interferons and uses adenosine triphosphate in 2'-specific nucleotidyl transfer reactions to synthesize 2',5'-oligoadenylates (2-5As). These molecules activate latent RNase L, which results in viral RNA degradation and the inhibition of viral replication. The three known members of this gene family are located in a cluster on chromosome 12. Mutations in this gene have been associated with host susceptibility to viral infection. Alternatively spliced transcript variants encoding different isoforms have been described. [provided by RefSeq, Jul 2008] |
| Function | Interferon-induced, dsRNA-activated antiviral enzyme which plays a critical role in cellular innate antiviral response. In addition, it may also play a role in other cellular processes such as apoptosis, cell growth, differentiation and gene regulation. Synthesizes higher oligomers of 2'-5'-oligoadenylates (2-5A) from ATP which then bind to the inactive monomeric form of ribonuclease L (RNase L) leading to its dimerization and subsequent activation. Activation of RNase L leads to degradation of cellular as well as viral RNA, resulting in the inhibition of protein synthesis, thus terminating viral replication. Can mediate the antiviral effect via the classical RNase L-dependent pathway or an alternative antiviral pathway independent of RNase L. The secreted form displays antiviral effect against vesicular stomatitis virus (VSV), herpes simplex virus type 2 (HSV-2), and encephalomyocarditis virus (EMCV) and stimulates the alternative antiviral pathway independent of RNase L. [UniProt] |
| Cellular Localization | Cytoplasm. Mitochondrion. Nucleus. Microsome. Endoplasmic reticulum. Secreted. Note=Associated with different subcellular fractions such as mitochondrial, nuclear, and rough/smooth microsomal fractions. [UniProt] |
| Calculated MW | 46 kDa |
Images (2) Click the Picture to Zoom In
-
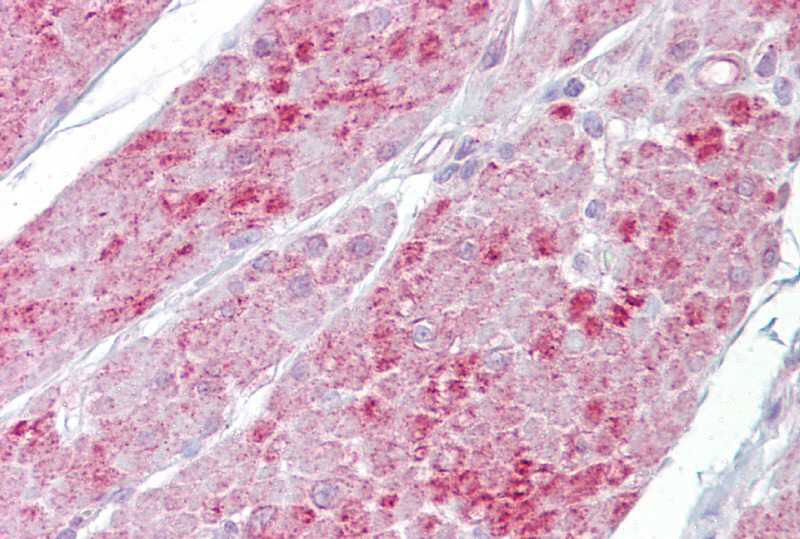
ARG40517 anti-OAS1 antibody IHC-P image
Immunohistochemistry: Paraffin-embedded Human small intestine section. Antigen Retrieval: Heat mediation was performed in Citrate buffer (pH 6.0, epitope retrieval solution) for 20 min. The tissue section was blocked with 10% goat serum. The tissue section was then stained with ARG40517 anti-OAS1 antibody at 5 ug/ml, overnight at 4°C.
-
ARG40517 anti-OAS1 antibody WB image
Western blot: Human stomach lysate stained with ARG40517 anti-OAS1 antibody at 0.2 - 1 ug/ml dilution.
