ARG66557
anti-OAZ1 antibody
anti-OAZ1 antibody for IHC-Formalin-fixed paraffin-embedded sections,Western blot and Human,Mouse,Rat
Overview
| Product Description | Rabbit Polyclonal antibody recognizes OAZ1 |
|---|---|
| Tested Reactivity | Hu, Ms, Rat |
| Tested Application | IHC-P, WB |
| Host | Rabbit |
| Clonality | Polyclonal |
| Isotype | IgG |
| Target Name | OAZ1 |
| Antigen Species | Human |
| Immunogen | KLH-conjugated synthetic peptide encompassing a sequence within the N-term region of Human OAZ1. |
| Conjugation | Un-conjugated |
| Alternate Names | AZI; Ornithine decarboxylase antizyme 1; OAZ; ODC-Az |
Application Instructions
| Application Suggestion |
|
||||||
|---|---|---|---|---|---|---|---|
| Application Note | IHC-P: Antigen Retrieval: Heat mediation was performed in Sodium citrate buffer (pH 6.0). * The dilutions indicate recommended starting dilutions and the optimal dilutions or concentrations should be determined by the scientist. |
||||||
| Observed Size | 25 kDa |
Properties
| Form | Liquid |
|---|---|
| Purification | Affinity purification with immunogen. |
| Buffer | 0.42% Potassium phosphate (pH 7.3), 0.87% NaCl, 0.01% Sodium azide and 30% Glycerol. |
| Preservative | 0.01% Sodium azide |
| Stabilizer | 30% Glycerol |
| Storage Instruction | For continuous use, store undiluted antibody at 2-8°C for up to a week. For long-term storage, aliquot and store at -20°C. Storage in frost free freezers is not recommended. Avoid repeated freeze/thaw cycles. Suggest spin the vial prior to opening. The antibody solution should be gently mixed before use. |
| Note | For laboratory research only, not for drug, diagnostic or other use. |
Bioinformation
| Database Links | |
|---|---|
| Gene Symbol | OAZ1 |
| Gene Full Name | ornithine decarboxylase antizyme 1 |
| Background | The protein encoded by this gene belongs to the ornithine decarboxylase antizyme family, which plays a role in cell growth and proliferation by regulating intracellular polyamine levels. Expression of antizymes requires +1 ribosomal frameshifting, which is enhanced by high levels of polyamines. Antizymes in turn bind to and inhibit ornithine decarboxylase (ODC), the key enzyme in polyamine biosynthesis; thus, completing the auto-regulatory circuit. This gene encodes antizyme 1, the first member of the antizyme family, that has broad tissue distribution, and negatively regulates intracellular polyamine levels by binding to and targeting ODC for degradation, as well as inhibiting polyamine uptake. Antizyme 1 mRNA contains two potential in-frame AUGs; and studies in rat suggest that alternative use of the two translation initiation sites results in N-terminally distinct protein isoforms with different subcellular localization. Alternatively spliced transcript variants have also been noted for this gene. [provided by RefSeq, Dec 2014] |
| Function | Ornithine decarboxylase (ODC) antizyme protein that negatively regulates ODC activity and intracellular polyamine biosynthesis and uptake by binding to and targeting ODC1 for degradation. Stabilizes AZIN2 by interfering with its ubiquitination. Also inhibits cellular uptake of polyamines by inactivating the polyamine uptake transporter. SMAD1/OAZ1/PSMB4 complex mediates the degradation of the CREBBP/EP300 repressor SNIP1. Involved in the translocation of AZNI2 from ER-Golgi intermediate compartment (ERGIC) to the cytosol. [UniProt] |
| Calculated MW | 25 kDa |
Images (2) Click the Picture to Zoom In
-
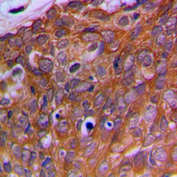
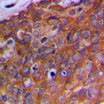
ARG66557 anti-OAZ1 antibody IHC-P image
Immunohistochemistry: Formalin-fixed and paraffin-embedded Human prostate cancer tissue. Antigen Retrieval: Heat mediation was performed in Sodium citrate buffer (pH 6.0). The section was then stained with ARG66557 anti-OAZ1 antibody at room temperature and detected using an HRP conjugad compact polymer system. DAB was used as the chromogen. The section was then counterstained with haematoxylin and mounted with DPX.
-
ARG66557 anti-OAZ1 antibody WB image
Western blot: HEK293T, Raw264.7 and H9C2 whole cell lysates stained with ARG66557 anti-OAZ1 antibody.
