ARG58130
anti-OCT1 antibody
anti-OCT1 antibody for IHC-Formalin-fixed paraffin-embedded sections,Western blot and Human
Overview
| Product Description | Rabbit Polyclonal antibody recognizes OCT1 |
|---|---|
| Tested Reactivity | Hu |
| Tested Application | IHC-P, WB |
| Host | Rabbit |
| Clonality | Polyclonal |
| Isotype | IgG |
| Target Name | OCT1 |
| Antigen Species | Human |
| Immunogen | Partial recombinant protein corresponding to aa. 11-240 of Human OCT1. |
| Conjugation | Un-conjugated |
| Alternate Names | Oct-1; OTF-1; Octamer-binding transcription factor 1; OCT1; Octamer-binding protein 1; OTF1; oct-1B; NF-A1; POU domain, class 2, transcription factor 1 |
Application Instructions
| Application Suggestion |
|
||||||
|---|---|---|---|---|---|---|---|
| Application Note | * The dilutions indicate recommended starting dilutions and the optimal dilutions or concentrations should be determined by the scientist. |
Properties
| Form | Liquid |
|---|---|
| Purification | Affinity purification with immunogen. |
| Buffer | PBS, 0.025% Sodium azide and 2.5% BSA. |
| Preservative | 0.025% Sodium azide |
| Stabilizer | 2.5% BSA |
| Concentration | 0.5 mg/ml |
| Storage Instruction | For continuous use, store undiluted antibody at 2-8°C for up to a week. For long-term storage, aliquot and store at -20°C or below. Storage in frost free freezers is not recommended. Avoid repeated freeze/thaw cycles. Suggest spin the vial prior to opening. The antibody solution should be gently mixed before use. |
| Note | For laboratory research only, not for drug, diagnostic or other use. |
Bioinformation
| Database Links |
Swiss-port # P14859 Human POU domain, class 2, transcription factor 1 |
|---|---|
| Gene Symbol | POU2F1 |
| Gene Full Name | POU class 2 homeobox 1 |
| Background | The OCT1 transcription factor was among the first identified members of the POU transcription factor family (summarized by Sturm et al., 1993 [PubMed 8314572]). Members of this family contain the POU domain, a 160-amino acid region necessary for DNA binding to the octameric sequence ATGCAAAT.[supplied by OMIM, Jul 2010] |
| Function | Transcription factor that binds to the octamer motif (5'-ATTTGCAT-3') and activates the promoters of the genes for some small nuclear RNAs (snRNA) and of genes such as those for histone H2B and immunoglobulins. Modulates transcription transactivation by NR3C1, AR and PGR (By similarity). In case of human herpes simplex virus (HSV) infection, POU2F1 forms a multiprotein-DNA complex with the viral transactivator protein VP16 and HCFC1 thereby enabling the transcription of the viral immediate early genes. [UniProt] |
| Calculated MW | 76 kDa |
| PTM | Phosphorylated by PRKDC. [UniProt] |
Images (2) Click the Picture to Zoom In
-
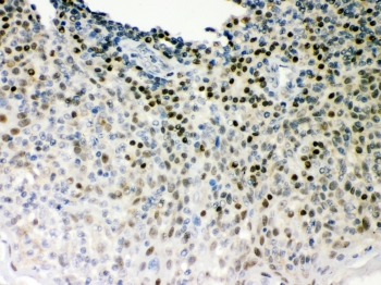
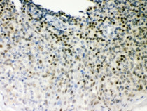
ARG58130 anti-OCT1 antibody IHC-P image
Immunohistochemistry: Paraffin-embedded Human tonsil tissue stained with ARG58130 anti-OCT1 antibody.
-
ARG58130 anti-OCT1 antibody WB image
Western blot: Rat liver, Human placenta, Jurkat, HeLa, A549 and SMMC-7721 cell lysates stained with ARG58130 anti-OCT1 antibody.
