ARG45490
anti-ODF2L antibody
anti-ODF2L antibody for Flow cytometry,IHC-Formalin-fixed paraffin-embedded sections,Western blot and Human
Overview
| Product Description | Rabbit Polyclonal antibody recognizes ODF2L |
|---|---|
| Tested Reactivity | Hu |
| Tested Application | FACS, IHC-P, WB |
| Host | Rabbit |
| Clonality | Polyclonal |
| Isotype | IgG |
| Target Name | ODF2L |
| Antigen Species | Human |
| Immunogen | Recombinant protein containing to human ODF2L. |
| Conjugation | Un-conjugated |
| Alternate Names | ODF2L; Outer Dense Fiber Of Sperm Tails 2 Like; KIAA1229; Basal Body Centriole-Associated Protein; ODF2-Like Protein; Protein BCAP; Outer Dense Fiber Of Sperm Tails 2-Like; Outer Dense Fiber Protein 2-Like; BCAP |
Application Instructions
| Application Suggestion |
|
||||||||
|---|---|---|---|---|---|---|---|---|---|
| Application Note | * The dilutions indicate recommended starting dilutions and the optimal dilutions or concentrations should be determined by the scientist. | ||||||||
| Observed Size | 65 kDa |
Properties
| Form | Liquid |
|---|---|
| Purification | Affinity purified |
| Buffer | 0.2% Na2HPO4, 0.9% NaCl and 4% Trehalose. |
| Stabilizer | 4% Trehalose |
| Concentration | 0.5 mg/ml |
| Storage Instruction | For continuous use, store undiluted antibody at 2-8°C for up to a week. For long-term storage, aliquot and store at -20°C or below. Storage in frost free freezers is not recommended. Avoid repeated freeze/thaw cycles. Suggest spin the vial prior to opening. The antibody solution should be gently mixed before use. |
| Note | For laboratory research only, not for drug, diagnostic or other use. |
Bioinformation
| Database Links | |
|---|---|
| Gene Symbol | ODF2L |
| Gene Full Name | Outer Dense Fiber Of Sperm Tails 2 Like |
| Background | Involved in negative regulation of cilium assembly. Located in centriolar satellite and ciliary basal body. [provided by Alliance of Genome Resources, Feb 2025] |
| Function | Acts as a suppressor of ciliogenesis, specifically, the initiation of ciliogenesis. [UniProt] |
| Cellular Localization | Cell projection; Cytoplasm; Cytoskeleton. [UniProt] |
| Calculated MW | 74 kDa |
Images (3) Click the Picture to Zoom In
-
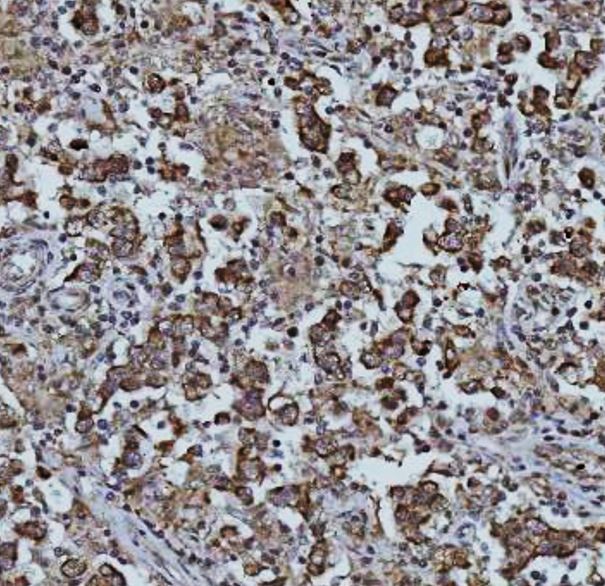
ARG45490 anti-ODF2L antibody IHC-P image
Immunohistochemistry: Human testicular seminoma stained with ARG45490 anti-ODF2L antibody at 2 μg/ml dilution.
-
ARG45490 anti-ODF2L antibody WB image
Western blot: U251 stained with ARG45490 anti-ODF2L antibody at 0.5 μg/ml dilution.
-
ARG45490 anti-ODF2L antibody FACS image
Flow Cytometry: U937 stained with ARG45490 anti-ODF2L antibody at 1 µg/10^6 cells dilution.
