ARG56837
anti-ORAI1 / CRACM1 antibody
anti-ORAI1 / CRACM1 antibody for IHC-Formalin-fixed paraffin-embedded sections,Western blot and Human
Overview
| Product Description | Rabbit Polyclonal antibody recognizes ORAI1 / CRACM1 |
|---|---|
| Tested Reactivity | Hu |
| Predict Reactivity | Ms |
| Tested Application | IHC-P, WB |
| Specificity | This antibody is predicted to have no cross-reactivity to ORAI2 or ORAI3. |
| Host | Rabbit |
| Clonality | Polyclonal |
| Isotype | IgG |
| Target Name | ORAI1 / CRACM1 |
| Antigen Species | Human |
| Immunogen | Synthetic peptide (16 aa) within the last 50 aa of Human ORAI1 / CRACM1. |
| Conjugation | Un-conjugated |
| Alternate Names | Protein orai-1; CRACM1; Transmembrane protein 142A; IMD9; ORAT1; Calcium release-activated calcium channel protein 1; TAM2; TMEM142A |
Application Instructions
| Application Suggestion |
|
||||||
|---|---|---|---|---|---|---|---|
| Application Note | * The dilutions indicate recommended starting dilutions and the optimal dilutions or concentrations should be determined by the scientist. | ||||||
| Positive Control | Human ovary tissue lysate |
Properties
| Form | Liquid |
|---|---|
| Purification | Affinity purification with immunogen. |
| Buffer | PBS and 0.02% Sodium azide. |
| Preservative | 0.02% Sodium azide |
| Concentration | 1 mg/ml |
| Storage Instruction | For continuous use, store undiluted antibody at 2-8°C for up to a week. For long-term storage, aliquot and store at -20°C or below. Storage in frost free freezers is not recommended. Avoid repeated freeze/thaw cycles. Suggest spin the vial prior to opening. The antibody solution should be gently mixed before use. |
| Note | For laboratory research only, not for drug, diagnostic or other use. |
Bioinformation
| Database Links |
Swiss-port # Q96D31 Human Calcium release-activated calcium channel protein 1 |
|---|---|
| Gene Symbol | ORAI1 |
| Gene Full Name | ORAI calcium release-activated calcium modulator 1 |
| Background | The protein encoded by this gene is a membrane calcium channel subunit that is activated by the calcium sensor STIM1 when calcium stores are depleted. This type of channel is the primary way for calcium influx into T-cells. Defects in this gene are a cause of immune dysfunction with T-cell inactivation due to calcium entry defect type 1 (IDTICED1). [provided by RefSeq, Sep 2011] |
| Function | Ca(2+) release-activated Ca(2+) (CRAC) channel subunit which mediates Ca(2+) influx following depletion of intracellular Ca(2+) stores and channel activation by the Ca(2+) sensor, STIM1. CRAC channels are the main pathway for Ca(2+) influx in T-cells and promote the immune response to pathogens by activating the transcription factor NFAT. [UniProt] |
| Calculated MW | 33 kDa |
| PTM | N-glycosylated. Ubiquitinated. Cys-195 is oxidated, leading to inactivate channel activity. |
Images (3) Click the Picture to Zoom In
-
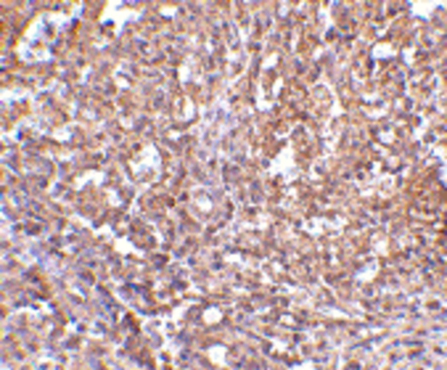
ARG56837 anti-ORAI1 / CRACM1 antibody IHC-P image
Immunohistochemistry: Human spleen tissue stained with ARG56837 anti-ORAI1 / CRACM1 antibody at 2.5 µg/ml dilution.
-
ARG56837 anti-ORAI1 / CRACM1 antibody WB image
Western blot: Human ovary tissue lysate stained with ARG56837 anti-ORAI1 / CRACM1 antibody at (A) 0.5, (B) 1 and (C) 2 µg/ml dilution.
-
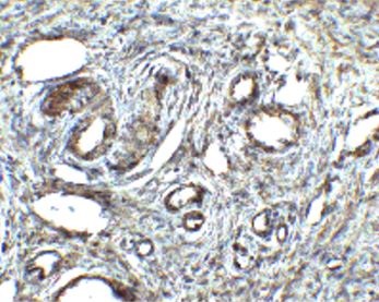
ARG56837 anti-ORAI1 / CRACM1 antibody IHC-P image
Immunohistochemistry: Human ovary tissue stained with ARG56837 anti-ORAI1 / CRACM1 antibody at 2.5 µg/ml dilution.
