ARG56848
anti-ORAI3 antibody
anti-ORAI3 antibody for ICC/IF,IHC-Formalin-fixed paraffin-embedded sections,Western blot and Mouse
Overview
| Product Description | Rabbit Polyclonal antibody recognizes ORAI3 |
|---|---|
| Tested Reactivity | Ms |
| Predict Reactivity | Hu, Rat |
| Tested Application | ICC/IF, IHC-P, WB |
| Specificity | This antibody is predicted to have no cross-reactivity to ORAI1 or ORAI2. |
| Host | Rabbit |
| Clonality | Polyclonal |
| Isotype | IgG |
| Target Name | ORAI3 |
| Antigen Species | Human |
| Immunogen | Synthetic peptide (15 aa) within the first 50 aa of Human ORAI3. |
| Conjugation | Un-conjugated |
| Alternate Names | Protein orai-3; Transmembrane protein 142C; TMEM142C |
Application Instructions
| Application Suggestion |
|
||||||||
|---|---|---|---|---|---|---|---|---|---|
| Application Note | * The dilutions indicate recommended starting dilutions and the optimal dilutions or concentrations should be determined by the scientist. | ||||||||
| Positive Control | A-20 cell lysate |
Properties
| Form | Liquid |
|---|---|
| Purification | Affinity purification with immunogen. |
| Buffer | PBS and 0.02% Sodium azide. |
| Preservative | 0.02% Sodium azide |
| Concentration | 1 mg/ml |
| Storage Instruction | For continuous use, store undiluted antibody at 2-8°C for up to a week. For long-term storage, aliquot and store at -20°C or below. Storage in frost free freezers is not recommended. Avoid repeated freeze/thaw cycles. Suggest spin the vial prior to opening. The antibody solution should be gently mixed before use. |
| Note | For laboratory research only, not for drug, diagnostic or other use. |
Bioinformation
| Database Links | |
|---|---|
| Gene Symbol | ORAI3 |
| Gene Full Name | ORAI calcium release-activated calcium modulator 3 |
| Function | Key regulator or component of store-operated Ca(2+) channel and transcription factor NFAT nuclear import. [UniProt] |
| Calculated MW | 31 kDa |
Images (3) Click the Picture to Zoom In
-
ARG56848 anti-ORAI3 antibody ICC/IF image
Immunocytochemistry: A20 cells stained with ARG56848 anti-ORAI3 antibody at 10 µg/ml dilution.
-
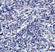
ARG56848 anti-ORAI3 antibody IHC-P image
Immunohistochemistry: Mouse spleen tissue stained with ARG56848 anti-ORAI3 antibody at 2 µg/ml dilution.
-
ARG56848 anti-ORAI3 antibody WB image
Western blot: A20 cell lysate stained with ARG56848 anti-ORAI3 antibody at (A) 1, (B) 2 and (C) 4 µg/ml dilution.
