ARG59969
anti-OSGEPL1 antibody
anti-OSGEPL1 antibody for IHC-Formalin-fixed paraffin-embedded sections,Western blot and Human,Mouse,Rat
Overview
| Product Description | Rabbit Polyclonal antibody recognizes OSGEPL1 |
|---|---|
| Tested Reactivity | Hu, Ms, Rat |
| Tested Application | IHC-P, WB |
| Host | Rabbit |
| Clonality | Polyclonal |
| Isotype | IgG |
| Target Name | OSGEPL1 |
| Antigen Species | Human |
| Immunogen | Recombinant fusion protein corresponding to aa. 1-270 of Human OSGEPL1 (NP_071748.2). |
| Conjugation | Un-conjugated |
| Alternate Names | EC 2.3.1.234; tRNA threonylcarbamoyladenosine biosynthesis protein OSGEPL1; Qri7; N6-L-threonylcarbamoyladenine synthase; t; O-sialoglycoprotein endopeptidase-like protein 1; 6; Probable tRNA N6-adenosine threonylcarbamoyltransferase, mitochondrial |
Application Instructions
| Application Suggestion |
|
||||||
|---|---|---|---|---|---|---|---|
| Application Note | * The dilutions indicate recommended starting dilutions and the optimal dilutions or concentrations should be determined by the scientist. | ||||||
| Positive Control | Rat liver and Mouse testis | ||||||
| Observed Size | 45 kDa |
Properties
| Form | Liquid |
|---|---|
| Purification | Affinity purified. |
| Buffer | PBS (pH 7.3), 0.02% Sodium azide and 50% Glycerol. |
| Preservative | 0.02% Sodium azide |
| Stabilizer | 50% Glycerol |
| Storage Instruction | For continuous use, store undiluted antibody at 2-8°C for up to a week. For long-term storage, aliquot and store at -20°C. Storage in frost free freezers is not recommended. Avoid repeated freeze/thaw cycles. Suggest spin the vial prior to opening. The antibody solution should be gently mixed before use. |
| Note | For laboratory research only, not for drug, diagnostic or other use. |
Bioinformation
| Database Links | |
|---|---|
| Gene Symbol | OSGEPL1 |
| Gene Full Name | O-sialoglycoprotein endopeptidase-like 1 |
| Function | Required for the formation of a threonylcarbamoyl group on adenosine at position 37 (t(6)A37) in mitochondrial tRNAs that read codons beginning with adenine. Probably involved in the transfer of the threonylcarbamoyl moiety of threonylcarbamoyl-AMP (TC-AMP) to the N6 group of A37. Involved in mitochondrial genome maintenance. [UniProt] |
| Cellular Localization | Mitochondrion. [UniProt] |
| Calculated MW | 45 kDa |
Images (3) Click the Picture to Zoom In
-
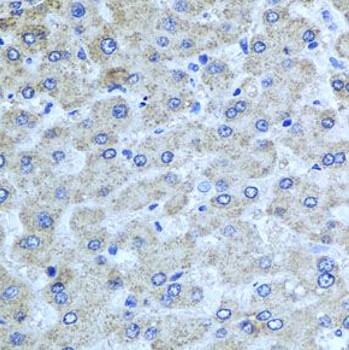
ARG59969 anti-OSGEPL1 antibody IHC-P image
Immunohistochemistry: Paraffin-embedded Human liver injury stained with ARG59969 anti-OSGEPL1 antibody at 1:100 dilution.
-
ARG59969 anti-OSGEPL1 antibody WB image
Western blot: 25 µg of Rat liver and Mouse testis lysates stained with ARG59969 anti-OSGEPL1 antibody at 1:1000 dilution.
-
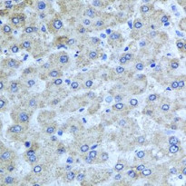
ARG59969 anti-OSGEPL1 antibody IHC-P image
Immunohistochemistry: Paraffin-embedded Mouse stomach stained with ARG59969 anti-OSGEPL1 antibody at 1:100 dilution.
