ARG58999
anti-OTC / Ornithine Carbamoyltransferase antibody
anti-OTC / Ornithine Carbamoyltransferase antibody for IHC-Formalin-fixed paraffin-embedded sections,Western blot and Human
Overview
| Product Description | Rabbit Polyclonal antibody recognizes OTC / Ornithine Carbamoyltransferase |
|---|---|
| Tested Reactivity | Hu |
| Tested Application | IHC-P, WB |
| Host | Rabbit |
| Clonality | Polyclonal |
| Isotype | IgG |
| Target Name | OTC / Ornithine Carbamoyltransferase |
| Antigen Species | Human |
| Immunogen | KLH-conjugated synthetic peptide corresponding to aa. 71-98 of Human OTC / Ornithine Carbamoyltransferase. |
| Conjugation | Un-conjugated |
| Alternate Names | Ornithine transcarbamylase; OCTD; EC 2.1.3.3; Ornithine carbamoyltransferase, mitochondrial; OTCase |
Application Instructions
| Application Suggestion |
|
||||||
|---|---|---|---|---|---|---|---|
| Application Note | * The dilutions indicate recommended starting dilutions and the optimal dilutions or concentrations should be determined by the scientist. | ||||||
| Positive Control | Human liver |
Properties
| Form | Liquid |
|---|---|
| Purification | Purification with Protein A and immunogen peptide. |
| Buffer | PBS and 0.09% (W/V) Sodium azide. |
| Preservative | 0.09% (W/V) Sodium azide |
| Storage Instruction | For continuous use, store undiluted antibody at 2-8°C for up to a week. For long-term storage, aliquot and store at -20°C or below. Storage in frost free freezers is not recommended. Avoid repeated freeze/thaw cycles. Suggest spin the vial prior to opening. The antibody solution should be gently mixed before use. |
| Note | For laboratory research only, not for drug, diagnostic or other use. |
Bioinformation
| Database Links |
Swiss-port # P00480 Human Ornithine carbamoyltransferase, mitochondrial |
|---|---|
| Gene Symbol | OTC |
| Gene Full Name | ornithine carbamoyltransferase |
| Background | This nuclear gene encodes a mitochondrial matrix enzyme. Missense, nonsense, and frameshift mutations in this enzyme lead to ornithine transcarbamylase deficiency, which causes hyperammonemia. Since the gene for this enzyme maps close to that for Duchenne muscular dystrophy, it may play a role in that disease also. [provided by RefSeq, Jul 2008] |
| Cellular Localization | Mitochondrion matrix. [UniProt] |
| Calculated MW | 40 kDa |
| PTM | Acetylation at Lys-88 negatively regulates ornithine carbamoyltransferase activity in response to nutrient signals. [UniProt] |
Images (2) Click the Picture to Zoom In
-
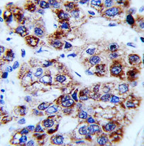
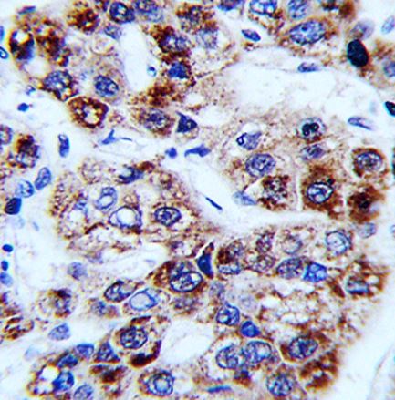
ARG58999 anti-OTC / Ornithine Carbamoyltransferase antibody IHC-P image
Immunohistochemistry: Formalin-fixed and paraffin-embedded Human hepatoarcinoma stained with ARG58999 anti-OTC / Ornithine Carbamoyltransferase antibody.
-
ARG58999 anti-OTC / Ornithine Carbamoyltransferase antibody WB image
Western blot: 20 µg of Human liver lysate stained with ARG58999 anti-OTC / Ornithine Carbamoyltransferase antibody at 1:1000 dilution.
