ARG45192
anti-OTULIN antibody
anti-OTULIN antibody for Flow cytometry,ICC/IF,IHC-Formalin-fixed paraffin-embedded sections,Western blot and Human,Mouse,Rat
Overview
| Product Description | Rabbit Polyclonal antibody recognizes OTULIN |
|---|---|
| Tested Reactivity | Hu, Ms, Rat |
| Tested Application | FACS, ICC/IF, IHC-P, WB |
| Host | Rabbit |
| Clonality | Polyclonal |
| Isotype | IgG |
| Target Name | OTULIN |
| Antigen Species | Human |
| Immunogen | Recombinant protein containing to human OTULIN. |
| Conjugation | Un-conjugated |
| Alternate Names | OTULIN; OTU Deubiquitinase With Linear Linkage Specificity; Ubiquitin Thioesterase Otulin; FAM105B; OTU Domain-Containing Deubiquitinase With Linear Linkage Specificity; Family With Sequence Similarity 105, Member B; Deubiquitinating Enzyme Otulin; Ubiquitin Thioesterase Gumby; FLJ34884; EC 3.4.19.12; IMD107; Gumby; AIPDS; GUM |
Application Instructions
| Application Suggestion |
|
||||||||||
|---|---|---|---|---|---|---|---|---|---|---|---|
| Application Note | * The dilutions indicate recommended starting dilutions and the optimal dilutions or concentrations should be determined by the scientist. | ||||||||||
| Observed Size | 43-45 kDa |
Properties
| Form | Liquid |
|---|---|
| Purification | Affinity purification with immunogen. |
| Buffer | 0.9% NaCl, 0.2% Na2HPO4, 0.01% Sodium azide and 4% Trehalose. |
| Preservative | 0.01% Sodium azide |
| Stabilizer | 4% Trehalose |
| Concentration | 0.5 mg/ml |
| Storage Instruction | For continuous use, store undiluted antibody at 2-8°C for up to a week. For long-term storage, aliquot and store at -20°C or below. Storage in frost free freezers is not recommended. Avoid repeated freeze/thaw cycles. Suggest spin the vial prior to opening. The antibody solution should be gently mixed before use. |
| Note | For laboratory research only, not for drug, diagnostic or other use. |
Bioinformation
| Database Links | |
|---|---|
| Gene Symbol | OTULIN |
| Gene Full Name | OTU Deubiquitinase With Linear Linkage Specificity |
| Background | This gene encodes a member of the peptidase C65 family of ubiquitin isopeptidases. Members of this family remove ubiquitin from proteins. The encoded enzyme specifically recognizes and removes M1(Met1)-linked, or linear, ubiquitin chains from protein substrates. Linear ubiquitin chains are known to regulate the NF-kappa B signaling pathway in the context of immunity and inflammation. Mutations in this gene cause a potentially fatal autoinflammatory syndrome in human patients. [provided by RefSeq, Sep 2016] |
| Function | Deubiquitinase that specifically removes linear ('Met-1'-linked) polyubiquitin chains to substrates and acts as a regulator of angiogenesis and innate immune response . [UniProt] |
| Cellular Localization | Cytoplasm. [UniProt] |
| Calculated MW | 40 kDa |
| PTM | Acetylation; Phosphoprotein; Ubl conjugation. [UniProt] |
Images (6) Click the Picture to Zoom In
-
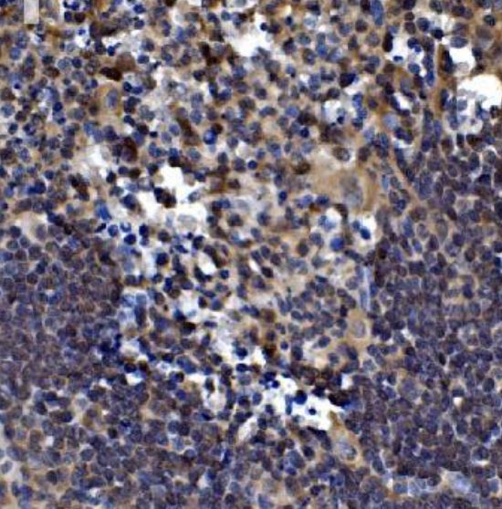
ARG45192 anti-OTULIN antibody IHC-P image
Immunohistochemistry: Human appendicitis stained with ARG45192 anti-OTULIN antibody at 2 μg/ml dilution.
-
ARG45192 anti-OTULIN antibody ICC/IF image
Immunofluorescence: SIHA stained with ARG45192 anti-OTULIN antibody at 5 ug/ml dilution.
-
ARG45192 anti-OTULIN antibody WB image
Western blot: Hela, THP-1, and K562 stained with ARG45192 anti-OTULIN antibody at 0.5 μg/ml dilution.
-
ARG45192 anti-OTULIN antibody FACS image
Flow Cytometry: 293T stained with ARG45192 anti-OTULIN antibody at 1 µg/10^6 cells dilution.
-
ARG45192 anti-OTULIN antibody WB image
Western blot: Rat liver stained with ARG45192 anti-OTULIN antibody at 0.5 μg/ml dilution.
-
ARG45192 anti-OTULIN antibody WB image
Western blot: Mouse liver stained with ARG45192 anti-OTULIN antibody at 0.5 μg/ml dilution.
