ARG52379
anti-Olig 1 antibody
anti-Olig 1 antibody for IHC-Formalin-fixed paraffin-embedded sections,Immunoprecipitation,Western blot and Mouse,Rat
Neuroscience antibody
Overview
| Product Description | Rabbit Polyclonal antibody recognizes Olig 1 |
|---|---|
| Tested Reactivity | Ms, Rat |
| Tested Application | IHC-P, IP, WB |
| Host | Rabbit |
| Clonality | Polyclonal |
| Isotype | IgG |
| Target Name | Olig 1 |
| Antigen Species | Mouse |
| Immunogen | Recombinant mouse Olig1 |
| Conjugation | Un-conjugated |
| Alternate Names | Class E basic helix-loop-helix protein 21; Oligo1; Class B basic helix-loop-helix protein 6; BHLHE21; bHLHe21; bHLHb6; BHLHB6; Oligodendrocyte transcription factor 1 |
Application Instructions
| Application Suggestion |
|
||||||||
|---|---|---|---|---|---|---|---|---|---|
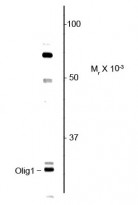
| Application Note | Specific for the ~27 kDa Olig1 protein in Western blots. The antibody also works well for immunohistochemistry, immunocytochemistry and immunoprecipitation. * The dilutions indicate recommended starting dilutions and the optimal dilutions or concentrations should be determined by the scientist. |
Properties
| Form | Liquid |
|---|---|
| Purification | Protein A purified |
| Buffer | 100 mM Glycine (pH 8.0), 200 mM Tris |
| Storage Instruction | For continuous use, store undiluted antibody at 2-8°C for up to a week. For long-term storage, aliquot and store at -20°C or below. Storage in frost free freezers is not recommended. Avoid repeated freeze/thaw cycles. Suggest spin the vial prior to opening. The antibody solution should be gently mixed before use. |
| Note | For laboratory research only, not for drug, diagnostic or other use. |
Bioinformation
| Database Links |
Swiss-port # Q9JKN5 Mouse Oligodendrocyte transcription factor 1 Swiss-port # Q9WUQ3 Rat Oligodendrocyte transcription factor 1 |
|---|---|
| Gene Symbol | OLIG1 |
| Gene Full Name | oligodendrocyte transcription factor 1 |
| Background | Olig genes have been identified as the earliest known markers of oligodendrocyte lineage determination to date (Zhou et al., 2000). Olig1 is a transcription factor which promotes formation and maturation of oligodendrocytes, especially within the brain. It is expressed in the ventral spinal cord as early as 9.5 dpc and by 15.5 dpc, olig1 is dispersed throughout the gray matter. In the postnatal brain, it is present preferentially in the white matter, such as corpus callosum and cerebellar medulla. Olig1 has been demonstrated as necessary in the repair of brain lesions in patients with multiple sclerosis (Arnett et al. 2004). |
| Research Area | Neuroscience antibody |
| Calculated MW | 28 kDa |
Images (1) Click the Picture to Zoom In
