ARG56471
anti-Optineurin antibody
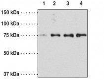
anti-Optineurin antibody for Western blot and Human,Mouse,Rat
Overview
| Product Description | Rabbit Polyclonal antibody recognizes Optineurin |
|---|---|
| Tested Reactivity | Hu, Ms, Rat |
| Tested Application | WB |
| Host | Rabbit |
| Clonality | Polyclonal |
| Isotype | IgG |
| Target Name | Optineurin |
| Antigen Species | Human |
| Immunogen | Synthetic peptide around the C-terminus of Human Optineurin. |
| Conjugation | Un-conjugated |
| Alternate Names | GLC1E; Transcription factor IIIA-interacting protein; E3-14.7K-interacting protein; Optineurin; NEMO-related protein; Huntingtin-interacting protein 7; TFIIIA-INTP; Optic neuropathy-inducing protein; HYPL; Huntingtin-interacting protein L; FIP2; ALS12; Huntingtin yeast partner L; HIP7; NRP; FIP-2; HIP-7; TFIIIA-IntP |
Application Instructions
| Application Suggestion |
|
||||
|---|---|---|---|---|---|
| Application Note | * The dilutions indicate recommended starting dilutions and the optimal dilutions or concentrations should be determined by the scientist. |
Properties
| Form | Liquid |
|---|---|
| Purification | Affinity purification with immunogen. |
| Buffer | TBS (pH 7.4), 0.02% Sodium azide, 50% Glycerol and 0.1% BSA. |
| Preservative | 0.02% Sodium azide |
| Stabilizer | 50% Glycerol and 0.1% BSA |
| Storage Instruction | For continuous use, store undiluted antibody at 2-8°C for up to a week. For long-term storage, aliquot and store at -20°C. Storage in frost free freezers is not recommended. Avoid repeated freeze/thaw cycles. Suggest spin the vial prior to opening. The antibody solution should be gently mixed before use. |
| Note | For laboratory research only, not for drug, diagnostic or other use. |
Bioinformation
| Database Links | |
|---|---|
| Gene Symbol | OPTN |
| Gene Full Name | optineurin |
| Background | This gene encodes the coiled-coil containing protein optineurin. Optineurin may play a role in normal-tension glaucoma and adult-onset primary open angle glaucoma. Optineurin interacts with adenovirus E3-14.7K protein and may utilize tumor necrosis factor-alpha or Fas-ligand pathways to mediate apoptosis, inflammation or vasoconstriction. Optineurin may also function in cellular morphogenesis and membrane trafficking, vesicle trafficking, and transcription activation through its interactions with the RAB8, huntingtin, and transcription factor IIIA proteins. Alternative splicing results in multiple transcript variants encoding the same protein. [provided by RefSeq, Jul 2008] |
| Function | Plays an important role in the maintenance of the Golgi complex, in membrane trafficking, in exocytosis, through its interaction with myosin VI and Rab8. Links myosin VI to the Golgi complex and plays an important role in Golgi ribbon formation. Negatively regulates the induction of IFNB in response to RNA virus infection. Plays a neuroprotective role in the eye and optic nerve. Probably part of the TNF-alpha signaling pathway that can shift the equilibrium toward induction of cell death. May act by regulating membrane trafficking and cellular morphogenesis via a complex that contains Rab8 and hungtingtin (HD). Mediates the interaction of Rab8 with the probable GTPase-activating protein TBC1D17 during Rab8-mediated endocytic trafficking, such as of transferrin receptor (TFRC/TfR); regulates Rab8 recruitnment to tubules emanating from the endocytic recycling compartment. Autophagy receptor that interacts directly with both the cargo to become degraded and an autophagy modifier of the MAP1 LC3 family; targets ubiquitin-coated bacteria (xenophagy), such as cytoplasmic Salmonella enterica, and appears to function in the same pathway as SQSTM1 and CALCOCO2/NDP52. May constitute a cellular target for adenovirus E3 14.7, an inhibitor of TNF-alpha functions, thereby affecting cell death. [UniProt] |
| Calculated MW | 66 kDa |
| PTM | Phosphorylated by TBK1, leading to restrict bacterial proliferation in case of infection. Phosphorylation is induced by phorbol esters and decreases its half-time. |
Images (1) Click the Picture to Zoom In
