ARG54608
anti-Osteocalcin antibody [OCG4]
anti-Osteocalcin antibody [OCG4] for ELISA,IHC-Formalin-fixed paraffin-embedded sections,Western blot and Human,Bovine,Chicken,Dog,Goat,Pig,Rabbit,Sheep
Developmental Biology antibody; Signaling Transduction antibody
Overview
| Product Description | Mouse Monoclonal antibody [OCG4] recognizes Osteocalcin |
|---|---|
| Tested Reactivity | Hu, Bov, Chk, Dog, Goat, Pig, Rb, Sheep |
| Tested Application | ELISA, IHC-P, WB |
| Host | Mouse |
| Clonality | Monoclonal |
| Clone | OCG4 |
| Isotype | IgG1 |
| Target Name | Osteocalcin |
| Antigen Species | Bovine |
| Immunogen | Bovine osteocalcin |
| Epitope | Residues 21-31 |
| Conjugation | Un-conjugated |
| Alternate Names | OCN; Gamma-carboxyglutamic acid-containing protein; Osteocalcin; OC; Bone Gla protein; BGP |
Application Instructions
| Application Note | Sandwich ELISA: 1 - 10 ug/ml. Western blot: 1 - 10 ug/ml, reducing or non-reducing conditions. Immunohistochemistry: 1 - 10 ug/ml, paraffin-embedded or frozen tissue sections. * The dilutions indicate recommended starting dilutions and the optimal dilutions or concentrations should be determined by the scientist. |
|---|
Properties
| Form | Liquid |
|---|---|
| Buffer | 10 mM PBS (pH 7.4) and 1% BSA |
| Stabilizer | 1% BSA |
| Storage Instruction | For continuous use, store undiluted antibody at 2-8°C for up to a week. For long-term storage, aliquot and store at -20°C or below. Storage in frost free freezers is not recommended. Avoid repeated freeze/thaw cycles. Suggest spin the vial prior to opening. The antibody solution should be gently mixed before use. |
| Note | For laboratory research only, not for drug, diagnostic or other use. |
Bioinformation
| Database Links | |
|---|---|
| Gene Symbol | BGLAP |
| Gene Full Name | bone gamma-carboxyglutamate (gla) protein |
| Background | This gene encodes a highly abundant bone protein secreted by osteoblasts that regulates bone remodeling and energy metabolism. The encoded protein contains a Gla (gamma carboxyglutamate) domain, which functions in binding to calcium and hydroxyapatite, the mineral component of bone. Serum osteocalcin levels may be negatively correlated with metabolic syndrome. Read-through transcription exists between this gene and the neighboring upstream gene, PMF1 (polyamine-modulated factor 1), but the encoded protein only shows sequence identity with the upstream gene product. [provided by RefSeq, Jun 2015] |
| Function | Constitutes 1-2% of the total bone protein. It binds strongly to apatite and calcium. [UniProt] |
| Research Area | Developmental Biology antibody; Signaling Transduction antibody |
| Calculated MW | 11 kDa |
| PTM | Gamma-carboxyglutamate residues are formed by vitamin K dependent carboxylation. These residues are essential for the binding of calcium. |
Images (1) Click the Picture to Zoom In
-
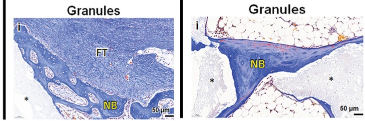
ARG54608 anti-Osteocalcin antibody [OCG4] IHC-P image
Immunohistochemistry: Rabbit femur stained with ARG54608 anti-Osteocalcin antibody [OCG4].
From Koichiro Hayashi et al. Adv Healthc Mater (2024), doi: 10.1002/adhm.202303245, Fig. 7I & 8I.
Specific References

