ARG59222
anti-Otoferlin antibody
anti-Otoferlin antibody for IHC-Formalin-fixed paraffin-embedded sections,Western blot and Human,Mouse,Rat
Overview
| Product Description | Rabbit Polyclonal antibody recognizes Otoferlin |
|---|---|
| Tested Reactivity | Hu, Ms, Rat |
| Predict Reactivity | Hm |
| Tested Application | IHC-P, WB |
| Host | Rabbit |
| Clonality | Polyclonal |
| Isotype | IgG |
| Target Name | Otoferlin |
| Antigen Species | Human |
| Immunogen | Synthetic peptide corresponding to aa. 1831-1863 of Human Otoferlin. (QIWDADHFSADDFLGAIELDLNRFPRGAKTAKQ) |
| Conjugation | Un-conjugated |
| Alternate Names | FER1L2; DFNB6; AUNB1; DFNB9; Fer-1-like protein 2; NSRD9; Otoferlin |
Application Instructions
| Application Suggestion |
|
||||||
|---|---|---|---|---|---|---|---|
| Application Note | IHC-P: Antigen Retrieval: By heat mediation. * The dilutions indicate recommended starting dilutions and the optimal dilutions or concentrations should be determined by the scientist. |
Properties
| Form | Liquid |
|---|---|
| Purification | Affinity purification with immunogen. |
| Buffer | 0.9% NaCl, 0.2% Na2HPO4, 0.05% Sodium azide and 5% BSA. |
| Preservative | 0.05% Sodium azide |
| Stabilizer | 5% BSA |
| Concentration | 0.5 mg/ml |
| Storage Instruction | For continuous use, store undiluted antibody at 2-8°C for up to a week. For long-term storage, aliquot and store at -20°C or below. Storage in frost free freezers is not recommended. Avoid repeated freeze/thaw cycles. Suggest spin the vial prior to opening. The antibody solution should be gently mixed before use. |
| Note | For laboratory research only, not for drug, diagnostic or other use. |
Bioinformation
| Database Links | |
|---|---|
| Gene Symbol | OTOF |
| Gene Full Name | otoferlin |
| Background | Mutations in this gene are a cause of neurosensory nonsyndromic recessive deafness, DFNB9. The short form of the encoded protein has 3 C2 domains, a single carboxy-terminal transmembrane domain found also in the C. elegans spermatogenesis factor FER-1 and human dysferlin, while the long form has 6 C2 domains. The homology suggests that this protein may be involved in vesicle membrane fusion. Several transcript variants encoding multiple isoforms have been found for this gene. [provided by RefSeq, Jul 2008] |
| Function | Key calcium ion sensor involved in the Ca(2+)-triggered synaptic vesicle-plasma membrane fusion and in the control of neurotransmitter release at these output synapses. Interacts in a calcium-dependent manner to the presynaptic SNARE proteins at ribbon synapses of cochlear inner hair cells (IHCs) to trigger exocytosis of neurotransmitter. Also essential to synaptic exocytosis in immature outer hair cells (OHCs). May also play a role within the recycling of endosomes (By similarity). [UniProt] |
| Cellular Localization | Cytoplasmic vesicle, secretory vesicle, synaptic vesicle membrane; Single-pass type II membrane protein. Basolateral cell membrane; Single-pass type II membrane protein. Endoplasmic reticulum membrane; Single-pass type II membrane protein. Cell membrane; Single-pass type II membrane protein. [UniProt] |
| Calculated MW | 227 kDa |
Images (5) Click the Picture to Zoom In
-
ARG59222 anti-Otoferlin antibody IHC-P image
Immunohistochemistry: Mouse hippocampal neurons stained with ARG59222 anti-Otoferlin antibody.
From Ramos-Brossier M et al. Research Square (2024), doi: 10.1038/s41419-023-06292-z, Fig. 5C.
-
ARG59222 anti-Otoferlin antibody WB image
Western blot: Mouse hippocampal neurons stained with ARG59222 anti-Otoferlin antibody.
From Ramos-Brossier M et al. Research Square (2024), doi: 10.1038/s41419-023-06292-z, Fig. 5B.
-
ARG59222 anti-Otoferlin antibody WB image
Western blot: 50 µg of Rat cardiac muscle and 40 µg of 293T whole cell lysate stained with ARG59222 anti-Otoferlin antibody at 0.5 µg/ml dilution.
-
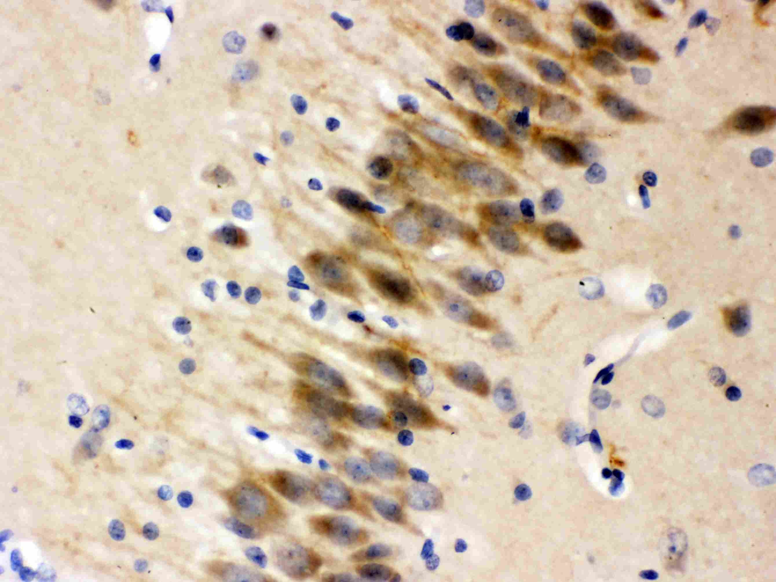
ARG59222 anti-Otoferlin antibody IHC-P image
Immunohistochemistry: Paraffin-embedded Rat brain stained with ARG59222 anti-Otoferlin antibody.
-
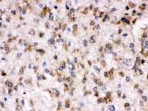
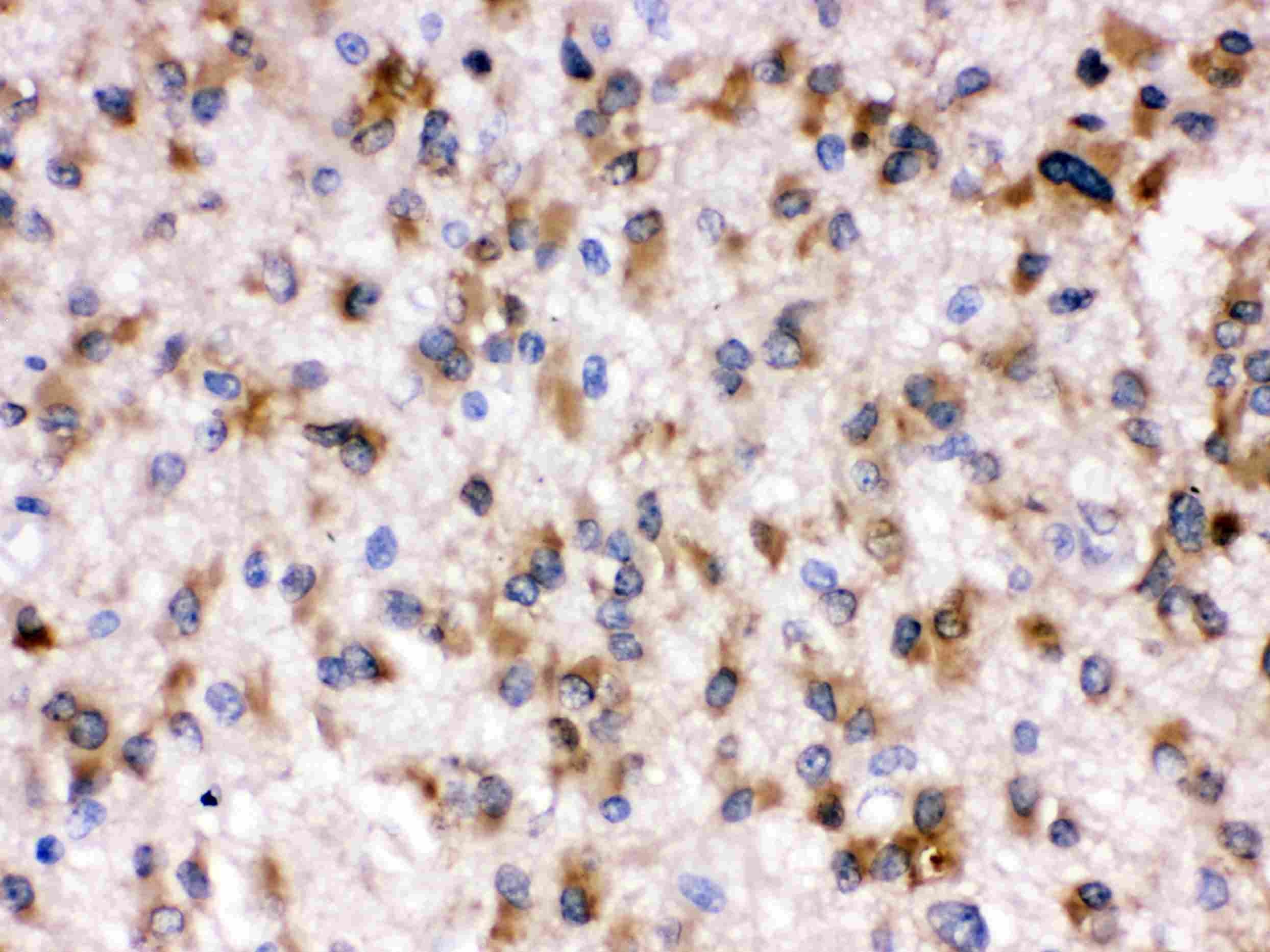
ARG59222 anti-Otoferlin antibody IHC-P image
Immunohistochemistry: Paraffin-embedded Human glioma stained with ARG59222 anti-Otoferlin antibody.

