ARG55674
anti-PAH antibody [717CT21.1.1]
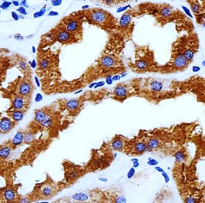
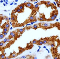
anti-PAH antibody [717CT21.1.1] for IHC-Formalin-fixed paraffin-embedded sections,Western blot and Human,Mouse,Rat
Overview
| Product Description | Mouse Monoclonal antibody recognizes PAH |
|---|---|
| Tested Reactivity | Hu, Ms, Rat |
| Tested Application | IHC-P, WB |
| Host | Mouse |
| Clonality | Monoclonal |
| Clone | 717CT21.1.1 |
| Isotype | IgG1, kappa |
| Target Name | PAH |
| Antigen Species | Human |
| Immunogen | KLH-conjugated Synthetic peptide corresponding to aa. 127-161 (Center) of Human PAH. |
| Conjugation | Un-conjugated |
| Alternate Names | PKU; Phe-4-monooxygenase; PAH; PKU1; PH; Phenylalanine-4-hydroxylase; EC 1.14.16.1 |
Application Instructions
| Application Suggestion |
|
||||||
|---|---|---|---|---|---|---|---|
| Application Note | * The dilutions indicate recommended starting dilutions and the optimal dilutions or concentrations should be determined by the scientist. | ||||||
| Positive Control | HepG2 |
Properties
| Form | Liquid |
|---|---|
| Purification | Purification with Protein G. |
| Buffer | PBS and 0.09% (W/V) Sodium azide. |
| Preservative | 0.09% (W/V) Sodium azide. |
| Storage Instruction | For continuous use, store undiluted antibody at 2-8°C for up to a week. For long-term storage, aliquot and store at -20°C or below. Storage in frost free freezers is not recommended. Avoid repeated freeze/thaw cycles. Suggest spin the vial prior to opening. The antibody solution should be gently mixed before use. |
| Note | For laboratory research only, not for drug, diagnostic or other use. |
Bioinformation
| Database Links | |
|---|---|
| Gene Symbol | PAH |
| Gene Full Name | phenylalanine hydroxylase |
| Background | PAH encodes the enzyme phenylalanine hydroxylase that is the rate-limiting step in phenylalanine catabolism. Deficiency of this enzyme activity results in the autosomal recessive disorder phenylketonuria. [provided by RefSeq, Jul 2008] |
| Calculated MW | 52 kDa |
| PTM | Phosphorylation at Ser-16 increases basal activity and facilitates activation by the substrate phenylalanine. |
Images (2) Click the Picture to Zoom In
