ARG44448
anti-PAIP1 antibody
anti-PAIP1 antibody for Flow cytometry,ICC/IF,IHC-Formalin-fixed paraffin-embedded sections,Western blot and Human
Overview
| Product Description | Rabbit Polyclonal antibody recognizes PAIP1 |
|---|---|
| Tested Reactivity | Hu |
| Tested Application | FACS, ICC/IF, IHC-P, WB |
| Host | Rabbit |
| Clonality | Polyclonal |
| Isotype | IgG |
| Target Name | PAIP1 |
| Antigen Species | Human |
| Immunogen | Human PAIP1 recombinant protein |
| Conjugation | Un-conjugated |
| Alternate Names | PAIP1; Poly(A) Binding Protein Interacting Protein 1; PABP-Interacting Protein 1; Polyadenylate-Binding Protein-Interacting Protein 1; PAIP-1; Poly(A)-Binding Protein-Interacting Protein 1; PABC1-Interacting Protein 1 |
Application Instructions
| Application Suggestion |
|
||||||||||
|---|---|---|---|---|---|---|---|---|---|---|---|
| Application Note | The dilutions indicate recommended starting dilutions and the optimal dilutions or concentrations should be determined by the scientist. |
Properties
| Form | Liquid |
|---|---|
| Purification | Affinity purified with Immunogen. |
| Buffer | 0.9% NaCl, 0.2% Na2HPO4, 0.05% Sodium azide and 4% Trehalose. |
| Preservative | 0.05% Sodium azide |
| Stabilizer | 4% Trehalose |
| Concentration | 0.5 mg/ml |
| Storage Instruction | For continuous use, store undiluted antibody at 2-8°C for up to a week. For long-term storage, aliquot and store at -20°C or below. Storage in frost free freezers is not recommended. Avoid repeated freeze/thaw cycles. Suggest spin the vial prior to opening. The antibody solution should be gently mixed before use. |
| Note | For laboratory research only, not for drug, diagnostic or other use. |
Bioinformation
| Database Links |
Swiss-port # Q9H074 Human Polyadenylate-binding protein-interacting protein 1 |
|---|---|
| Gene Symbol | PAIP1 |
| Gene Full Name | Poly(A) Binding Protein Interacting Protein 1 |
| Background | The protein encoded by this gene interacts with poly(A)-binding protein and with the cap-binding complex eIF4A. It is involved in translational initiation and protein biosynthesis. Overexpression of this gene in COS7 cells stimulates translation. Alternative splicing occurs at this locus and three transcript variants encoding three distinct isoforms have been identified. |
| Function | Acts as a coactivator in the regulation of translation initiation of poly(A)-containing mRNAs. Its stimulatory activity on translation is mediated via its action on PABPC1. Competes with PAIP2 for binding to PABPC1. Its association with EIF4A and PABPC1 may potentiate contacts between mRNA termini. May also be involved in translationally coupled mRNA turnover. Implicated with other RNA-binding proteins in the cytoplasmic deadenylation/translational and decay interplay of the FOS mRNA mediated by the major coding-region determinant of instability (mCRD) domain. |
| Cellular Localization | Cytoplasm |
| Calculated MW | 54 kDa |
| PTM | Acetylation, Methylation |
Images (4) Click the Picture to Zoom In
-
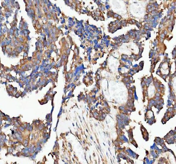
ARG44448 anti-PAIP1 antibody IHC-P image
Immunohistochemistry: Human ovarian serous adenocarcinoma stained with ARG44448 anti-PAIP1 antibody at 2 μg/mL dilution.
-
ARG44448 anti-PAIP1 antibody ICC/IF image
Immunofluorescence: HeLa stained with ARG44448 anti-PAIP1 antibody at 5 μg/mL dilution.
-
ARG44448 anti-PAIP1 antibody WB image
Western blot: HeLa stained with ARG44448 anti-PAIP1 antibody at 0.5 μg/mL dilution.
-
ARG44448 anti-PAIP1 antibody FACS image
Flow Cytometry: SH-SY5Y stained with ARG44448 anti-PAIP1 antibody at 1 μg/10^6 cells dilution.
