ARG40973
anti-PARG antibody
anti-PARG antibody for IHC-Formalin-fixed paraffin-embedded sections,Western blot and Human
Overview
| Product Description | Rabbit Polyclonal antibody recognizes PARG |
|---|---|
| Tested Reactivity | Hu |
| Tested Application | IHC-P, WB |
| Host | Rabbit |
| Clonality | Polyclonal |
| Isotype | IgG |
| Target Name | PARG |
| Antigen Species | Human |
| Immunogen | KLH-conjugated synthetic peptide between aa. 390-421 of Human PARG. |
| Conjugation | Un-conjugated |
| Alternate Names | PARG99 |
Application Instructions
| Application Suggestion |
|
||||||
|---|---|---|---|---|---|---|---|
| Application Note | * The dilutions indicate recommended starting dilutions and the optimal dilutions or concentrations should be determined by the scientist. | ||||||
| Positive Control | Jurkat |
Properties
| Form | Liquid |
|---|---|
| Purification | Saturated Ammonium Sulfate (SAS) precipitation followed by dialysis against PBS. |
| Buffer | PBS and 0.09% (W/V) Sodium azide. |
| Preservative | 0.09% (W/V) Sodium azide. |
| Storage Instruction | For continuous use, store undiluted antibody at 2-8°C for up to a week. For long-term storage, aliquot and store at -20°C or below. Storage in frost free freezers is not recommended. Avoid repeated freeze/thaw cycles. Suggest spin the vial prior to opening. The antibody solution should be gently mixed before use. |
| Note | For laboratory research only, not for drug, diagnostic or other use. |
Bioinformation
| Gene Symbol | PARG |
|---|---|
| Gene Full Name | poly(ADP-ribose) glycohydrolase |
| Background | Poly(ADP-ribose) glycohydrolase (PARG) is the major enzyme responsible for the catabolism of poly(ADP-ribose), a reversible covalent-modifier of chromosomal proteins. The protein is found in many tissues and may be subject to proteolysis generating smaller, active products. Several transcript variants encoding different isoforms have been found for this gene. [provided by RefSeq, Jan 2015] |
| Function | Poly(ADP-ribose) glycohydrolase that degrades poly(ADP-ribose) by hydrolyzing the ribose-ribose bonds present in poly(ADP-ribose) (PubMed:21892188, PubMed:23102699, PubMed:23474714). PARG acts both as an endo- and exoglycosidase, releasing poly(ADP-ribose) of different length as well as ADP-ribose monomers (PubMed:23102699, PubMed:23481255). It is however unable to cleave the ester bond between the terminal ADP-ribose and ADP-ribosylated residues, leaving proteins that are mono-ADP-ribosylated (PubMed:21892188, PubMed:23474714). Poly(ADP-ribose) is synthesized after DNA damage is only present transiently and is rapidly degraded by PARG (PubMed:23102699). Required to prevent detrimental accumulation of poly(ADP-ribose) upon prolonged replicative stress, while it is not required for recovery from transient replicative stress (PubMed:24906880). Required for retinoid acid-dependent gene transactivation, probably by removing poly(ADP-ribose) from histone demethylase KDM4D, allowing chromatin derepression at RAR-dependent gene promoters (PubMed:23102699). Involved in the synthesis of ATP in the nucleus, together with PARP1, NMNAT1 and NUDT5 (PubMed:27257257). Nuclear ATP generation is required for extensive chromatin remodeling events that are energy-consuming (PubMed:27257257). [UniProt] |
| Cellular Localization | Isoform 1: Nucleus. Note=Colocalizes with PCNA at replication foci. Relocalizes to the cytoplasm in response to DNA damage. Isoform 2: Cytoplasm. Note=Translocates to the nucleus in response to DNA damage. Isoform 3: Cytoplasm. Isoform 4: Cytoplasm. Mitochondrion. Isoform 5: Mitochondrion matrix. [UniProt] |
| Calculated MW | 111 kDa |
Images (2) Click the Picture to Zoom In
-
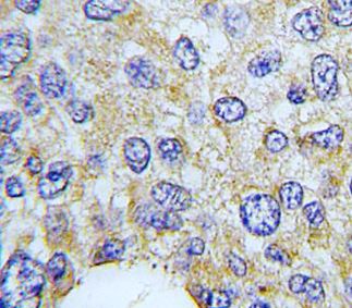
ARG40973 anti-PARG antibody IHC-P image
Immunohistochemistry: Formalin-fixed and paraffin-embedded Human breast carcinoma tissue stained with ARG40973 anti-PARG antibody.
-
ARG40973 anti-PARG antibody WB image
Western blot: 20 µg of Jurkat cell lysate stained with ARG40973 anti-PARG antibody at 1:1000 dilution.
