ARG44455
anti-PATZ1 antibody
anti-PATZ1 antibody for Flow cytometry,ICC/IF,Western blot and Human
Overview
| Product Description | Rabbit Polyclonal antibody recognizes PATZ1 |
|---|---|
| Tested Reactivity | Hu |
| Tested Application | FACS, ICC/IF, WB |
| Host | Rabbit |
| Clonality | Polyclonal |
| Isotype | IgG |
| Target Name | PATZ1 |
| Antigen Species | Human |
| Immunogen | Human PATZ1 recombinant protein |
| Conjugation | Un-conjugated |
| Alternate Names | PATZ1; POZ/BTB And AT Hook Containing Zinc Finger 1; ZBTB19; RIAZ; PATZ; ZSG; Zinc Finger Protein 278; DJ400N23; ZNF278; MAZR; POZ-, AT Hook-, And Zinc Finger-Containing Protein 1; Protein Kinase A RI Subunit Alpha-Associated Protein; Zinc Finger And BTB Domain-Containing Protein 19 |
Application Instructions
| Application Suggestion |
|
||||||||
|---|---|---|---|---|---|---|---|---|---|
| Application Note | The dilutions indicate recommended starting dilutions and the optimal dilutions or concentrations should be determined by the scientist. |
Properties
| Form | Liquid |
|---|---|
| Purification | Affinity purified with Immunogen. |
| Buffer | 0.9% NaCl, 0.2% Na2HPO4, 0.05% Sodium azide and 4% Trehalose. |
| Preservative | 0.05% Sodium azide |
| Stabilizer | 4% Trehalose |
| Concentration | 0.5 mg/ml |
| Storage Instruction | For continuous use, store undiluted antibody at 2-8°C for up to a week. For long-term storage, aliquot and store at -20°C or below. Storage in frost free freezers is not recommended. Avoid repeated freeze/thaw cycles. Suggest spin the vial prior to opening. The antibody solution should be gently mixed before use. |
| Note | For laboratory research only, not for drug, diagnostic or other use. |
Bioinformation
| Database Links |
Swiss-port # Q9HBE1 Human POZ-, AT hook-, and zinc finger-containing protein 1 |
|---|---|
| Gene Symbol | PATZ1 |
| Gene Full Name | POZ/BTB And AT Hook Containing Zinc Finger 1 |
| Background | The protein encoded by this gene contains an A-T hook DNA binding motif which usually binds to other DNA binding structures to play an important role in chromatin modeling and transcription regulation. Its Poz domain is thought to function as a site for protein-protein interaction and is required for transcriptional repression, and the zinc-fingers comprise the DNA binding domain. Since the encoded protein has typical features of a transcription factor, it is postulated to be a repressor of gene expression. In small round cell sarcoma, this gene is fused to EWS by a small inversion of 22q, then the hybrid is thought to be translocated (t(1;22)(p36.1;q12). The rearrangement of chromosome 22 involves intron 8 of EWS and exon 1 of this gene creating a chimeric sequence containing the transactivation domain of EWS fused to zinc finger domain of this protein. This is a distinct example of an intra-chromosomal rearrangement of chromosome 22. Four alternatively spliced transcript variants are described for this gene. |
| Function | Transcriptional regulator that plays a role in many biological processes such as embryogenesis, senescence, T-cell development or neurogenesis. |
| Cellular Localization | Nucleus |
| Calculated MW | 74 kDa |
| PTM | Isopeptide bond, Phosphoprotein, Ubl conjugation |
Images (3) Click the Picture to Zoom In
-
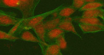
ARG44455 anti-PATZ1 antibody ICC/IF image
Immunofluorescence: HeLa stained with ARG44455 anti-PATZ1 antibody at 5 μg/mL dilution.
-
ARG44455 anti-PATZ1 antibody WB image
Western blot: A549, HeLa and 293T stained with ARG44455 anti-PATZ1 antibody at 0.5 μg/mL dilution.
-
ARG44455 anti-PATZ1 antibody FACS image
Flow Cytometry: HeLa stained with ARG44455 anti-PATZ1 antibody at 1 μg/10^6 cells dilution.
