ARG41855
anti-PAX8 antibody
anti-PAX8 antibody for IHC-Formalin-fixed paraffin-embedded sections,Western blot and Human,Mouse
Overview
| Product Description | Rabbit Polyclonal antibody recognizes PAX8 |
|---|---|
| Tested Reactivity | Hu, Ms |
| Predict Reactivity | Rat |
| Tested Application | IHC-P, WB |
| Host | Rabbit |
| Clonality | Polyclonal |
| Isotype | IgG |
| Target Name | PAX8 |
| Antigen Species | Human |
| Immunogen | Fusion protein of Human PAX8. |
| Conjugation | Un-conjugated |
| Alternate Names | Paired box protein Pax-8 |
Application Instructions
| Application Suggestion |
|
||||||
|---|---|---|---|---|---|---|---|
| Application Note | * The dilutions indicate recommended starting dilutions and the optimal dilutions or concentrations should be determined by the scientist. | ||||||
| Positive Control | WB: MCF7 and Mouse brain IHC-P: Human thyroid cancer |
||||||
| Observed Size | ~ 45 kDa |
Properties
| Form | Liquid |
|---|---|
| Purification | Affinity purification with immunogen. |
| Buffer | PBS (pH 7.4), 0.05% Sodium azide and 40% Glycerol. |
| Preservative | 0.05% Sodium azide |
| Stabilizer | 40% Glycerol |
| Concentration | 0.2 mg/ml |
| Storage Instruction | For continuous use, store undiluted antibody at 2-8°C for up to a week. For long-term storage, aliquot and store at -20°C. Storage in frost free freezers is not recommended. Avoid repeated freeze/thaw cycles. Suggest spin the vial prior to opening. The antibody solution should be gently mixed before use. |
| Note | For laboratory research only, not for drug, diagnostic or other use. |
Bioinformation
| Database Links | |
|---|---|
| Gene Symbol | PAX8 |
| Gene Full Name | paired box 8 |
| Background | This gene encodes a member of the paired box (PAX) family of transcription factors. Members of this gene family typically encode proteins that contain a paired box domain, an octapeptide, and a paired-type homeodomain. This nuclear protein is involved in thyroid follicular cell development and expression of thyroid-specific genes. Mutations in this gene have been associated with thyroid dysgenesis, thyroid follicular carcinomas and atypical follicular thyroid adenomas. Alternatively spliced transcript variants encoding different isoforms have been described. [provided by RefSeq, Mar 2010] |
| Function | Transcription factor for the thyroid-specific expression of the genes exclusively expressed in the thyroid cell type, maintaining the functional differentiation of such cells. [UniProt] |
| Cellular Localization | Nucleus. [UniProt] |
| Calculated MW | 48 kDa |
Images (2) Click the Picture to Zoom In
-
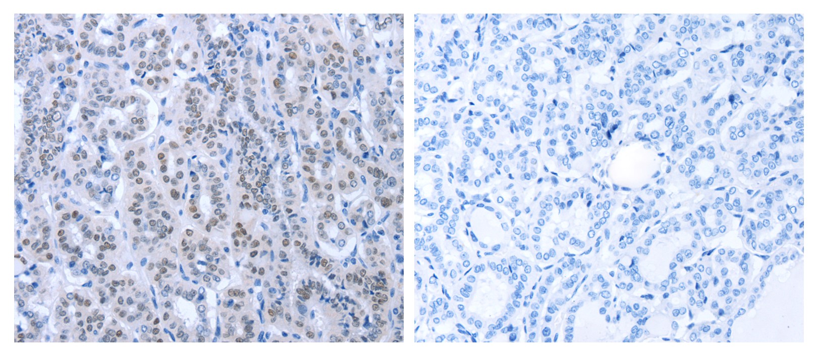
ARG41855 anti-PAX8 antibody IHC-P image
Immunohistochemistry: Paraffin-embedded Human thyroid cancer tissue stained with ARG41855 anti-PAX8 antibody (left) at 1:35 dilution, or the same antibody pre-incubated with fusion protein (right). (Original magnification: X200).
-
ARG41855 anti-PAX8 antibody WB image
Western blot: 40 µg of MCF7 and Mouse brain lysates stained with ARG41855 anti-PAX8 antibody at 1:250 dilution.
