ARG41763
anti-PAX8 antibody [PAX8/1492]
anti-PAX8 antibody [PAX8/1492] for Flow cytometry,ICC/IF,IHC-Formalin-fixed paraffin-embedded sections,Western blot and Human
Overview
| Product Description | Mouse Monoclonal antibody [PAX8/1492] recognizes PAX8 |
|---|---|
| Tested Reactivity | Hu |
| Tested Application | FACS, ICC/IF, IHC-P, WB |
| Host | Mouse |
| Clonality | Monoclonal |
| Clone | PAX8/1492 |
| Isotype | IgG2a, kappa |
| Target Name | PAX8 |
| Antigen Species | Human |
| Immunogen | Recombinant fragment corresponding to aa. 60-261 of Human PAX8. |
| Conjugation | Un-conjugated |
| Alternate Names | Paired box protein Pax-8 |
Application Instructions
| Application Suggestion |
|
||||||||||
|---|---|---|---|---|---|---|---|---|---|---|---|
| Application Note | IHC-P: Antigen Retrieval: Boil tissue section in 10 mM Tris with 1 mM EDTA (pH 9.0) for 10-20 min, followed by cooling at RT for 20 min. * The dilutions indicate recommended starting dilutions and the optimal dilutions or concentrations should be determined by the scientist. |
||||||||||
| Observed Size | ~ 48 kDa |
Properties
| Form | Liquid |
|---|---|
| Purification | Purification with Protein G. |
| Buffer | PBS, 0.05% Sodium azide and 0.1 mg/ml BSA. |
| Preservative | 0.05% Sodium azide |
| Stabilizer | 0.1 mg/ml BSA |
| Concentration | 0.2 mg/ml |
| Storage Instruction | For continuous use, store undiluted antibody at 2-8°C for up to a week. For long-term storage, aliquot and store at -20°C or below. Storage in frost free freezers is not recommended. Avoid repeated freeze/thaw cycles. Suggest spin the vial prior to opening. The antibody solution should be gently mixed before use. |
| Note | For laboratory research only, not for drug, diagnostic or other use. |
Bioinformation
| Database Links | |
|---|---|
| Gene Symbol | PAX8 |
| Gene Full Name | paired box 8 |
| Background | This gene encodes a member of the paired box (PAX) family of transcription factors. Members of this gene family typically encode proteins that contain a paired box domain, an octapeptide, and a paired-type homeodomain. This nuclear protein is involved in thyroid follicular cell development and expression of thyroid-specific genes. Mutations in this gene have been associated with thyroid dysgenesis, thyroid follicular carcinomas and atypical follicular thyroid adenomas. Alternatively spliced transcript variants encoding different isoforms have been described. [provided by RefSeq, Mar 2010] |
| Function | Transcription factor for the thyroid-specific expression of the genes exclusively expressed in the thyroid cell type, maintaining the functional differentiation of such cells. [UniProt] |
| Cellular Localization | Nucleus. [UniProt] |
| Calculated MW | 48 kDa |
Images (4) Click the Picture to Zoom In
-
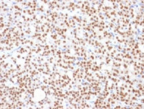
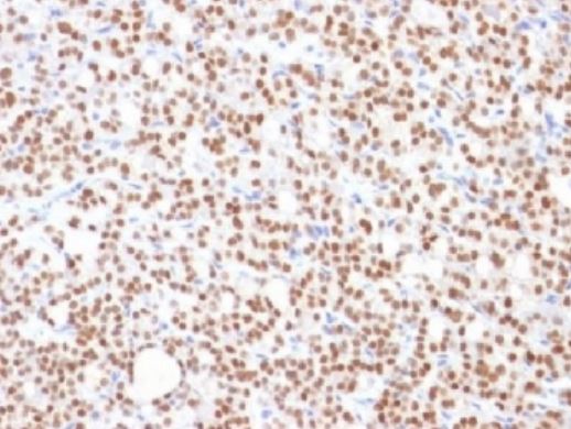
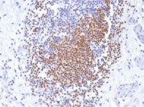
ARG41763 anti-PAX8 antibody [PAX8/1492] IHC-P image
Immunohistochemistry: Formalin-fixed and paraffin-embedded Human thyroid carcinoma tissue stained with ARG41763 anti-PAX8 antibody [PAX8/1492]. Antigen Retrieval: Boil tissue section in 10 mM Tris with 1 mM EDTA (pH 9.0) for 10-20 min, followed by cooling at RT for 20 min.
-
ARG41763 anti-PAX8 antibody [PAX8/1492] WB image
Western blot: Raji cell lysate stained with ARG41763 anti-PAX8 antibody [PAX8/1492].
-
ARG41763 anti-PAX8 antibody [PAX8/1492] IHC-P image
Immunohistochemistry: Formalin-fixed and paraffin-embedded Human urothelial carcinoma tissue stained with ARG41763 anti-PAX8 antibody [PAX8/1492]. Antigen Retrieval: Boil tissue section in 10 mM Tris with 1 mM EDTA (pH 9.0) for 10-20 min, followed by cooling at RT for 20 min.
-
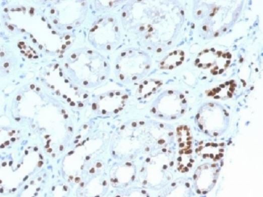
ARG41763 anti-PAX8 antibody [PAX8/1492] IHC-P image
Immunohistochemistry: Formalin-fixed and paraffin-embedded Human renal cell carcinoma tissue stained with ARG41763 anti-PAX8 antibody [PAX8/1492]. Antigen Retrieval: Boil tissue section in 10 mM Tris with 1 mM EDTA (pH 9.0) for 10-20 min, followed by cooling at RT for 20 min.
