ARG42953
anti-PCSK1 / PC1/3 antibody
anti-PCSK1 / PC1/3 antibody for IHC-Formalin-fixed paraffin-embedded sections,Western blot and Human,Rat
Overview
| Product Description | Rabbit Polyclonal antibody recognizes PCSK1 / PC1/3 |
|---|---|
| Tested Reactivity | Hu, Rat |
| Tested Application | IHC-P, WB |
| Host | Rabbit |
| Clonality | Polyclonal |
| Isotype | IgG |
| Target Name | PCSK1 / PC1/3 |
| Antigen Species | Human |
| Immunogen | Synthetic peptide corresponding to aa. 726-740 of Human PCSK1 / PC1/3. (DVFYNTKPYKHRDDR) |
| Conjugation | Un-conjugated |
| Alternate Names | Proprotein convertase 1; EC 3.4.21.93; Neuroendocrine convertase 1; PC3; BMIQ12; PC1; Prohormone convertase 1; NEC1; NEC 1; SPC3 |
Application Instructions
| Application Suggestion |
|
||||||
|---|---|---|---|---|---|---|---|
| Application Note | IHC-P: Antigen Retrieval: Heat mediation was performed in Citrate buffer (pH 6.0) for 20 min. * The dilutions indicate recommended starting dilutions and the optimal dilutions or concentrations should be determined by the scientist. |
||||||
| Observed Size | ~ 85 kDa |
Properties
| Form | Liquid |
|---|---|
| Purification | Affinity purification with immunogen. |
| Buffer | 0.2% Na2HPO4, 0.9% NaCl, 0.05% Thimerosal, 0.05% Sodium azide and 5% BSA. |
| Preservative | 0.05% Thimerosal and 0.05% Sodium azide |
| Stabilizer | 5% BSA |
| Concentration | 0.5 mg/ml |
| Storage Instruction | For continuous use, store undiluted antibody at 2-8°C for up to a week. For long-term storage, aliquot and store at -20°C or below. Storage in frost free freezers is not recommended. Avoid repeated freeze/thaw cycles. Suggest spin the vial prior to opening. The antibody solution should be gently mixed before use. |
| Note | For laboratory research only, not for drug, diagnostic or other use. |
Bioinformation
| Database Links | |
|---|---|
| Gene Symbol | PCSK1 |
| Gene Full Name | proprotein convertase subtilisin/kexin type 1 |
| Background | This gene encodes a member of the subtilisin-like proprotein convertase family, which includes proteases that process protein and peptide precursors trafficking through regulated or constitutive branches of the secretory pathway. The encoded protein undergoes an initial autocatalytic processing event in the ER to generate a heterodimer which exits the ER and sorts to subcellular compartments where a second autocatalytic even takes place and the catalytic activity is acquired. The protease is packaged into and activated in dense core secretory granules and expressed in the neuroendocrine system and brain. This gene encodes one of the seven basic amino acid-specific members which cleave their substrates at single or paired basic residues. It functions in the proteolytic activation of polypeptide hormones and neuropeptides precursors. Mutations in this gene have been associated with susceptibility to obesity and proprotein convertase 1/3 deficiency. Alternatively spliced transcript variants encoding multiple isoforms have been observed for this gene [provided by RefSeq, Jan 2014] |
| Function | Involved in the processing of hormone and other protein precursors at sites comprised of pairs of basic amino acid residues. Substrates include POMC, renin, enkephalin, dynorphin, somatostatin, insulin and AGRP. [UniProt] |
| Cellular Localization | Cytoplasmic vesicle, secretory vesicle. Note=Localized in the secretion granules. [UniProt] |
| Calculated MW | 84 kDa |
| PTM | O-glycosylated. [UniProt] |
Images (3) Click the Picture to Zoom In
-
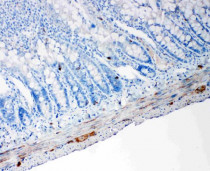
ARG42953 anti-PCSK1 / PC1/3 antibody IHC-P image
Immunohistochemistry: Paraffin-embedded Rat intestine tissue. Antigen Retrieval: Heat mediation was performed in Citrate buffer (pH 6.0) for 20 min. The tissue section was blocked with 10% goat serum. The tissue section was then stained with ARG42953 anti-PCSK1 / PC1/3 antibody at 1 µg/ml dilution, overnight at 4°C.
-
ARG42953 anti-PCSK1 / PC1/3 antibody WB image
Western blot: 50 µg of sample under reducing conditions. Rat liver, Rat thymus, A549, HeLa, COLO320 and PANC cell lysates stained with ARG42953 anti-PCSK1 / PC1/3 antibody at 0.5 µg/ml dilution, overnight at 4°C.
-
ARG42953 anti-PCSK1 / PC1/3 antibody IHC-P image
Immunohistochemistry: Paraffin-embedded Human colon cancer tissue. Antigen Retrieval: Heat mediation was performed in Citrate buffer (pH 6.0) for 20 min. The tissue section was blocked with 10% goat serum. The tissue section was then stained with ARG42953 anti-PCSK1 / PC1/3 antibody at 1 µg/ml dilution, overnight at 4°C.
