ARG66403
anti-PDCD10 antibody
anti-PDCD10 antibody for IHC-Formalin-fixed paraffin-embedded sections,Western blot and Human
Overview
| Product Description | Rabbit Polyclonal antibody recognizes PDCD10 |
|---|---|
| Tested Reactivity | Hu |
| Tested Application | IHC-P, WB |
| Host | Rabbit |
| Clonality | Polyclonal |
| Isotype | IgG |
| Target Name | PDCD10 |
| Antigen Species | Human |
| Immunogen | Fusion protein of Human PDCD10. |
| Conjugation | Un-conjugated |
| Alternate Names | Cerebral cavernous malformations 3 protein; Programmed cell death protein 10; TF-1 cell apoptosis-related protein 15; CCM3; TFAR15 |
Application Instructions
| Application Suggestion |
|
||||||
|---|---|---|---|---|---|---|---|
| Application Note | * The dilutions indicate recommended starting dilutions and the optimal dilutions or concentrations should be determined by the scientist. | ||||||
| Positive Control | WB: HeLa, Jurkat and 231 cells. IHC-P: Human tonsil and Human renal cancer. | ||||||
| Observed Size | ~ 27 kDa |
Properties
| Form | Liquid |
|---|---|
| Purification | Affinity purification with immunogen. |
| Buffer | PBS (pH 7.4), 0.05% Sodium azide and 40% Glycerol. |
| Preservative | 0.05% Sodium azide |
| Stabilizer | 40% Glycerol |
| Concentration | 0.6 mg/ml |
| Storage Instruction | For continuous use, store undiluted antibody at 2-8°C for up to a week. For long-term storage, aliquot and store at -20°C. Storage in frost free freezers is not recommended. Avoid repeated freeze/thaw cycles. Suggest spin the vial prior to opening. The antibody solution should be gently mixed before use. |
| Note | For laboratory research only, not for drug, diagnostic or other use. |
Bioinformation
| Database Links | |
|---|---|
| Gene Symbol | PDCD10 |
| Gene Full Name | programmed cell death 10 |
| Background | This gene encodes an evolutionarily conserved protein associated with cell apoptosis. The protein interacts with the serine/threonine protein kinase MST4 to modulate the extracellular signal-regulated kinase (ERK) pathway. It also interacts with and is phosphoryated by serine/threonine kinase 25, and is thought to function in a signaling pathway essential for vascular developent. Mutations in this gene are one cause of cerebral cavernous malformations, which are vascular malformations that cause seizures and cerebral hemorrhages. Multiple alternatively spliced variants, encoding the same protein, have been identified. [provided by RefSeq, Jul 2008] |
| Function | Promotes cell proliferation. Modulates apoptotic pathways. Increases mitogen-activated protein kinase activity and STK26 activity. Important for cell migration, and for normal structure and assembly of the Golgi complex. Important for KDR/VEGFR2 signaling. Increases the stability of KDR/VEGFR2 and prevents its breakdown. Required for normal cardiovascular development. Required for normal angiogenesis, vasculogenesis and hematopoiesis during embryonic development (By similarity). [UniProt] |
| Cellular Localization | Cytoplasm. Golgi apparatus membrane; Peripheral membrane protein; Cytoplasmic side. Cell membrane; Peripheral membrane protein; Cytoplasmic side. Note=Partially co-localizes with endogenous PXN at the leading edges of migrating cells. [UniProt] |
| Calculated MW | 25 kDa |
Images (3) Click the Picture to Zoom In
-
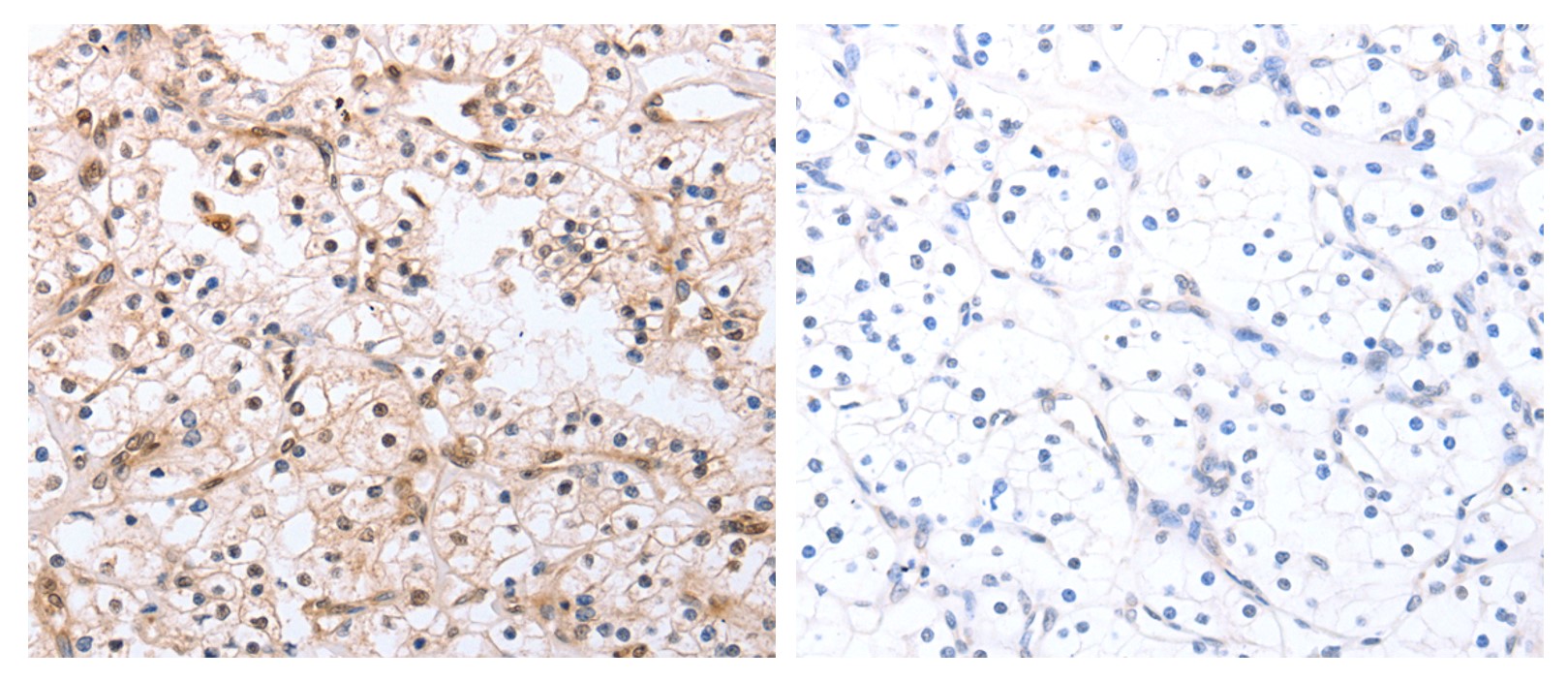
ARG66403 anti-PDCD10 antibody IHC-P image
Immunohistochemistry: Paraffin-embedded Human tonsil stained with ARG66403 anti-PDCD10 antibody (left) at 1:20 dilution, or the same antibody pre-incubated with antigen (right). (Original magnification: X200).
-
ARG66403 anti-PDCD10 antibody WB image
Western blot: 50 µg of HeLa, Jurkat and 231 cell lysates stained with ARG66403 anti-PDCD10 antibody at 1:200 dilution.
-
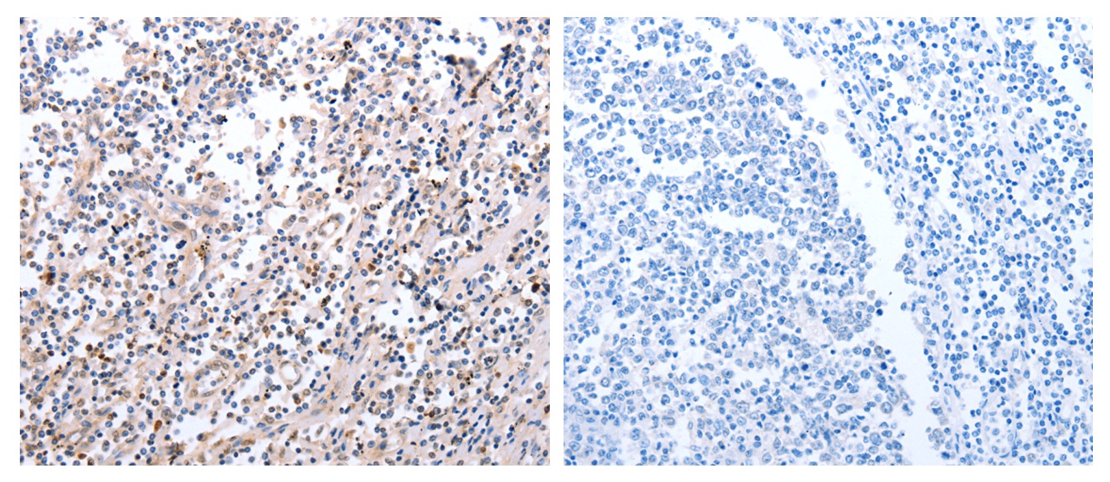
ARG66403 anti-PDCD10 antibody IHC-P image
Immunohistochemistry: Paraffin-embedded Human renal cancer stained with ARG66403 anti-PDCD10 antibody (left) at 1:20 dilution, or the same antibody pre-incubated with antigen (right). (Original magnification: X200).
