ARG44721
anti-PDCD4 antibody
anti-PDCD4 antibody for IHC-Formalin-fixed paraffin-embedded sections,Immunoprecipitation,Western blot and Human
Overview
| Product Description | Mouse Monoclonal antibody recognizes PDCD4 |
|---|---|
| Tested Reactivity | Hu |
| Tested Application | IHC-P, IP, WB |
| Host | Mouse |
| Clonality | Monoclonal |
| Isotype | IgG1 |
| Target Name | PDCD4 |
| Antigen Species | Human |
| Conjugation | Un-conjugated |
| Alternate Names | Neoplastic transformation inhibitor protein; Nuclear antigen H731-like; Protein 197/15a; Programmed cell death protein 4; H731 |
Application Instructions
| Application Suggestion |
|
||||||||
|---|---|---|---|---|---|---|---|---|---|
| Application Note | * The dilutions indicate recommended starting dilutions and the optimal dilutions or concentrations should be determined by the scientist. |
Properties
| Form | Liquid |
|---|---|
| Purification | Protein A purification |
| Buffer | PBS with 0.09% sodium azide |
| Storage Instruction | For continuous use, store undiluted antibody at 2-8°C for up to a week. For long-term storage, aliquot and store at -20°C or below. Storage in frost free freezers is not recommended. Avoid repeated freeze/thaw cycles. Suggest spin the vial prior to opening. The antibody solution should be gently mixed before use. |
| Note | For laboratory research only, not for drug, diagnostic or other use. |
Bioinformation
| Database Links | |
|---|---|
| Gene Symbol | PDCD4 |
| Gene Full Name | programmed cell death 4 (neoplastic transformation inhibitor) |
| Background | This gene is a tumor suppressor and encodes a protein that binds to the eukaryotic translation initiation factor 4A1 and inhibits its function by preventing RNA binding. Alternative splicing results in multiple transcript variants. [provided by RefSeq, Dec 2010] |
| Function | Inhibits translation initiation and cap-dependent translation. May excert its function by hindering the interaction between EIF4A1 and EIF4G. Inhibits the helicase activity of EIF4A. Modulates the activation of JUN kinase. Down-regulates the expression of MAP4K1, thus inhibiting events important in driving invasion, namely, MAPK85 activation and consequent JUN-dependent transcription. May play a role in apoptosis. Tumor suppressor. Inhibits tumor promoter-induced neoplastic transformation. Binds RNA (By similarity). [UniProt] |
| Cellular Localization | Nucleus. Cytoplasm. Note=Shuttles between the nucleus and cytoplasm (By similarity). Predominantly nuclear under normal growth conditions, and when phosphorylated at Ser-457 (PubMed:16357133). [UniProt] |
| Calculated MW | 52 kDa |
| PTM | Polyubiquitinated, leading to its proteasomal degradation. Rapidly degraded in response to mitogens. Phosphorylation of the phosphodegron promotes interaction with BTRC and proteasomal degradation. Phosphorylated at Ser-67 by RPS6KB1 in response to mitogens; phosphorylation promotes proteasomal degradation of PDCD4. [UniProt] |
Images (3) Click the Picture to Zoom In
-
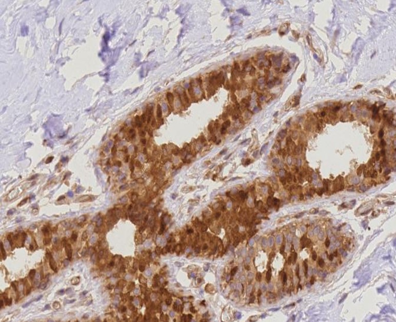
ARG44721 anti-PDCD4 antibody IHC-P image
Immunohistochemistry: Human breast stained with ARG44721 anti-PDCD4 antibody at 5 µg/mL dilution.
-
ARG44721 anti-PDCD4 antibody WB image
Western blot: MOLT4 stained with ARG44721 anti-PDCD4 antibody at 1 µg/mL dilution.
-
ARG44721 anti-PDCD4 antibody IP image
Immunoprecipitation: MOLT4 lysate immunoprecipitated with 2.5 µg of ARG44721 anti-PDCD4 antibody.
