ARG55703
anti-PDCL antibody
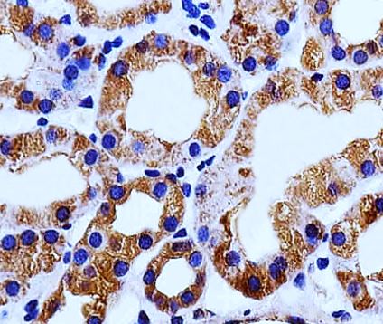
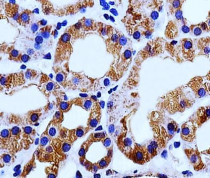
anti-PDCL antibody for IHC-Formalin-fixed paraffin-embedded sections,Western blot and Human
Overview
| Product Description | Rabbit Polyclonal antibody recognizes PDCL |
|---|---|
| Tested Reactivity | Hu |
| Tested Application | IHC-P, WB |
| Host | Rabbit |
| Clonality | Polyclonal |
| Isotype | IgG |
| Target Name | PDCL |
| Antigen Species | Human |
| Immunogen | KLH-conjugated synthetic peptide corresponding to aa. 1-30 (N-terminus) of Human PDCL. |
| Conjugation | Un-conjugated |
| Alternate Names | PhLP; PHLP; Phosducin-like protein |
Application Instructions
| Application Suggestion |
|
||||||
|---|---|---|---|---|---|---|---|
| Application Note | * The dilutions indicate recommended starting dilutions and the optimal dilutions or concentrations should be determined by the scientist. | ||||||
| Positive Control | HeLa |
Properties
| Form | Liquid |
|---|---|
| Purification | Purification with Protein A and immunogen peptide. |
| Buffer | PBS and 0.09% (W/V) sodium azide. |
| Preservative | 0.09% (W/V) sodium azide. |
| Storage Instruction | For continuous use, store undiluted antibody at 2-8°C for up to a week. For long-term storage, aliquot and store at -20°C or below. Storage in frost free freezers is not recommended. Avoid repeated freeze/thaw cycles. Suggest spin the vial prior to opening. The antibody solution should be gently mixed before use. |
| Note | For laboratory research only, not for drug, diagnostic or other use. |
Bioinformation
| Database Links | |
|---|---|
| Gene Symbol | PDCL |
| Gene Full Name | phosducin-like |
| Background | Phosducin-like protein is a putative modulator of heterotrimeric G proteins. The protein shares extensive amino acid sequence homology with phosducin, a phosphoprotein expressed in retina and pineal gland. Both phosducin-like protein and phosphoducin have been shown to regulate G-protein signaling by binding to the beta-gamma subunits of G proteins. [provided by RefSeq, Jul 2008] |
| Function | Isoform 1: Functions as a co-chaperone for CCT in the assembly of heterotrimeric G protein complexes, facilitates the assembly of both Gbeta-Ggamma and RGS-Gbeta5 heterodimers. Isoform 2: Acts as a negative regulator of heterotrimeric G proteins assembly by trapping the preloaded G beta subunits inside the CCT chaperonin. [UniProt] |
| Calculated MW | 34 kDa |
Images (2) Click the Picture to Zoom In
