ARG40843
anti-PDPK1 antibody
anti-PDPK1 antibody for IHC-Frozen sections,IHC-Formalin-fixed paraffin-embedded sections,Western blot and Human,Mouse,Rat
Overview
| Product Description | Rabbit Polyclonal antibody recognizes PDPK1 |
|---|---|
| Tested Reactivity | Hu, Ms, Rat |
| Predict Reactivity | Hm |
| Tested Application | IHC-Fr, IHC-P, WB |
| Host | Rabbit |
| Clonality | Polyclonal |
| Isotype | IgG |
| Target Name | PDPK1 |
| Antigen Species | Human |
| Immunogen | Synthetic peptide corresponding to aa. 524-556 of Human PDPK1. (YLMDPSGNAHKWCRKIQEVWRQRYQSHPDAAVQ) |
| Conjugation | Un-conjugated |
| Alternate Names | 3-phosphoinositide-dependent protein kinase 1; hPDK1; PDPK2P; PRO0461; PDK1; EC 2.7.11.1; PDPK2 |
Application Instructions
| Application Suggestion |
|
||||||||
|---|---|---|---|---|---|---|---|---|---|
| Application Note | IHC-P: Antigen Retrieval: Heat mediation was performed in Citrate buffer (pH 6.0) for 20 min. * The dilutions indicate recommended starting dilutions and the optimal dilutions or concentrations should be determined by the scientist. |
Properties
| Form | Liquid |
|---|---|
| Purification | Affinity purification with immunogen. |
| Buffer | 0.2% Na2HPO4, 0.9% NaCl, 0.05% Sodium azide and 5% BSA. |
| Preservative | 0.05% Sodium azide |
| Stabilizer | 5% BSA |
| Concentration | 0.5 mg/ml |
| Storage Instruction | For continuous use, store undiluted antibody at 2-8°C for up to a week. For long-term storage, aliquot and store at -20°C or below. Storage in frost free freezers is not recommended. Avoid repeated freeze/thaw cycles. Suggest spin the vial prior to opening. The antibody solution should be gently mixed before use. |
| Note | For laboratory research only, not for drug, diagnostic or other use. |
Bioinformation
| Database Links | |
|---|---|
| Gene Symbol | PDPK1 |
| Gene Full Name | 3-phosphoinositide dependent protein kinase 1 |
| Function | Serine/threonine kinase which acts as a master kinase, phosphorylating and activating a subgroup of the AGC family of protein kinases. Its targets include: protein kinase B (PKB/AKT1, PKB/AKT2, PKB/AKT3), p70 ribosomal protein S6 kinase (RPS6KB1), p90 ribosomal protein S6 kinase (RPS6KA1, RPS6KA2 and RPS6KA3), cyclic AMP-dependent protein kinase (PRKACA), protein kinase C (PRKCD and PRKCZ), serum and glucocorticoid-inducible kinase (SGK1, SGK2 and SGK3), p21-activated kinase-1 (PAK1), protein kinase PKN (PKN1 and PKN2). Plays a central role in the transduction of signals from insulin by providing the activating phosphorylation to PKB/AKT1, thus propagating the signal to downstream targets controlling cell proliferation and survival, as well as glucose and amino acid uptake and storage. Negatively regulates the TGF-beta-induced signaling by: modulating the association of SMAD3 and SMAD7 with TGF-beta receptor, phosphorylating SMAD2, SMAD3, SMAD4 and SMAD7, preventing the nuclear translocation of SMAD3 and SMAD4 and the translocation of SMAD7 from the nucleus to the cytoplasm in response to TGF-beta. Activates PPARG transcriptional activity and promotes adipocyte differentiation. Activates the NF-kappa-B pathway via phosphorylation of IKKB. The tyrosine phosphorylated form is crucial for the regulation of focal adhesions by angiotensin II. Controls proliferation, survival, and growth of developing pancreatic cells. Participates in the regulation of Ca(2+) entry and Ca(2+)-activated K(+) channels of mast cells. Essential for the motility of vascular endothelial cells (ECs) and is involved in the regulation of their chemotaxis. Plays a critical role in cardiac homeostasis by serving as a dual effector for cell survival and beta-adrenergic response. Plays an important role during thymocyte development by regulating the expression of key nutrient receptors on the surface of pre-T cells and mediating Notch-induced cell growth and proliferative responses. Provides negative feedback inhibition to toll-like receptor-mediated NF-kappa-B activation in macrophages. Isoform 3 is catalytically inactive. [UniProt] |
| Cellular Localization | Cytoplasm. Nucleus. Cell membrane; Peripheral membrane protein. Cell junction, focal adhesion. [UniProt] |
| Calculated MW | 63 kDa |
| PTM | Phosphorylation on Ser-241 in the activation loop is required for full activity. PDPK1 itself can autophosphorylate Ser-241, leading to its own activation. Autophosphorylation is inhibited by the apoptotic C-terminus cleavage product of PKN2 (By similarity). Tyr-9 phosphorylation is critical for stabilization of both PDPK1 and the PDPK1/SRC complex via HSP90-mediated protection of PDPK1 degradation. Angiotensin II stimulates the tyrosine phosphorylation of PDPK1 in vascular smooth muscle in a calcium- and SRC-dependent manner. Phosphorylated on Tyr-9, Tyr-373 and Tyr-376 by INSR in response to insulin. Palmitate negatively regulates autophosphorylation at Ser-241 and palmitate-induced phosphorylation at Ser-529 and Ser-501 by PKC/PRKCQ negatively regulates its ability to phosphorylate PKB/AKT1. Phosphorylation at Thr-354 by MELK partially inhibits kinase activity, the inhibition is cooperatively enhanced by phosphorylation at Ser-394 and Ser-398 by MAP3K5. Autophosphorylated; autophosphorylation is inhibited by the apoptotic C-terminus cleavage product of PKN2. Monoubiquitinated in the kinase domain, deubiquitinated by USP4. [UniProt] |
Images (6) Click the Picture to Zoom In
-
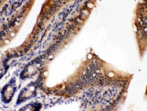
ARG40843 anti-PDPK1 antibody IHC-P image
Immunohistochemistry: Paraffin-embedded Mouse intestine tissue. Antigen Retrieval: Heat mediation was performed in Citrate buffer (pH 6.0, epitope retrieval solution) for 20 min. The tissue section was blocked with 10% goat serum. The tissue section was then stained with ARG40843 anti-PDPK1 antibody at 1 µg/ml, overnight at 4°C.
-
ARG40843 anti-PDPK1 antibody WB image
Western blot: 50 µg of samples under reducing conditions. Rat liver, Rat lung, Mouse liver, Mouse lung, COLO320 and MCF7 whole cell lysates stained with ARG40843 anti-PDPK1 antibody at 0.5 µg/ml, overnight at 4°C.
-
ARG40843 anti-PDPK1 antibody IHC-P image
Immunohistochemistry: Paraffin-embedded Rat testis tissue. Antigen Retrieval: Heat mediation was performed in Citrate buffer (pH 6.0, epitope retrieval solution) for 20 min. The tissue section was blocked with 10% goat serum. The tissue section was then stained with ARG40843 anti-PDPK1 antibody at 1 µg/ml, overnight at 4°C.
-
ARG40843 anti-PDPK1 antibody IHC-P image
Immunohistochemistry: Paraffin-embedded Human lung cancer tissue. Antigen Retrieval: Heat mediation was performed in Citrate buffer (pH 6.0, epitope retrieval solution) for 20 min. The tissue section was blocked with 10% goat serum. The tissue section was then stained with ARG40843 anti-PDPK1 antibody at 1 µg/ml, overnight at 4°C.
-
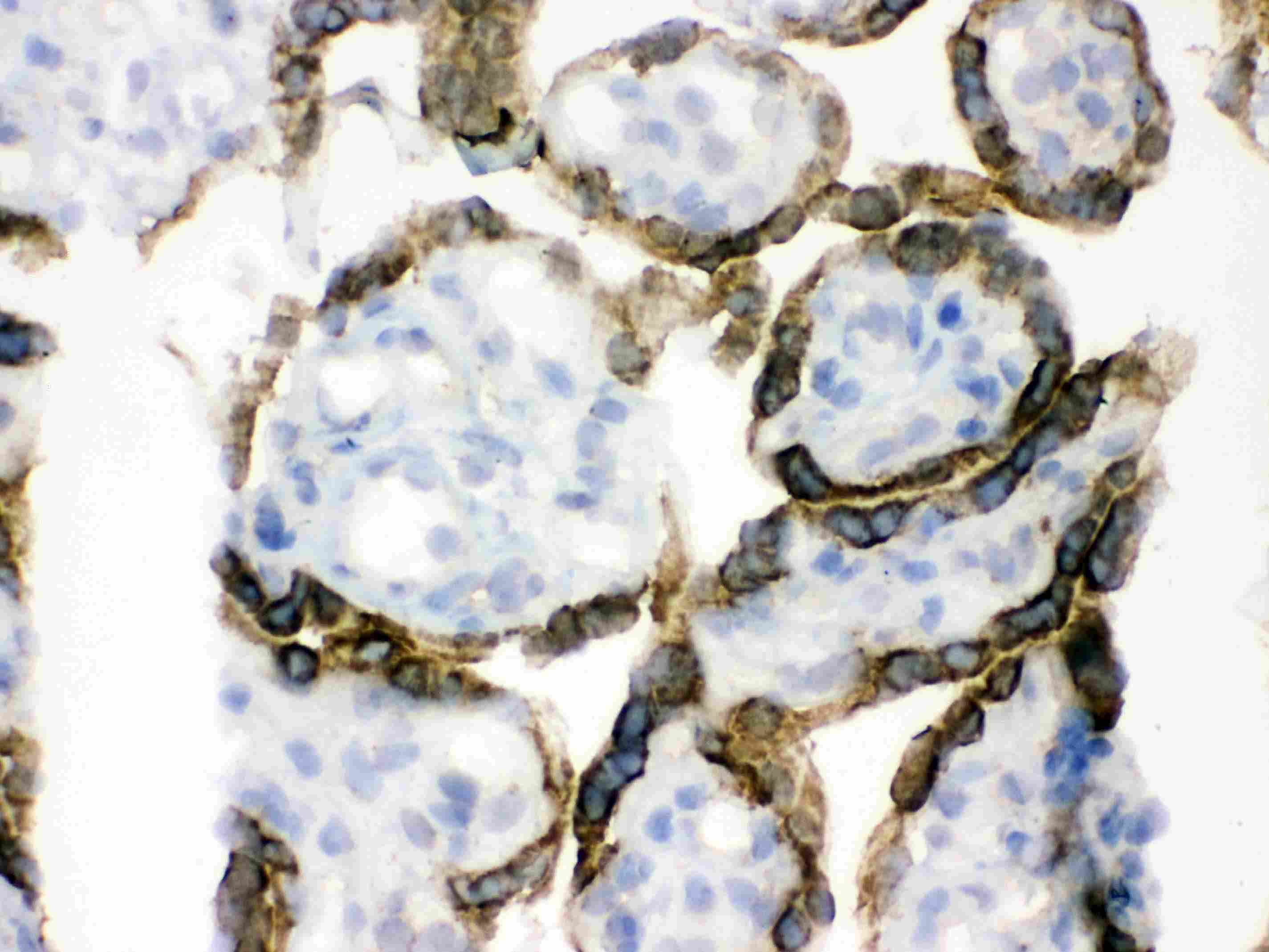
ARG40843 anti-PDPK1 antibody IHC-Fr image
Immunohistochemistry: Frozen section of Human placenta tissue. The tissue section was blocked with 10% goat serum. The tissue section was then stained with ARG40843 anti-PDPK1 antibody at 1 μg/ml dilution, overnight at 4°C.
-
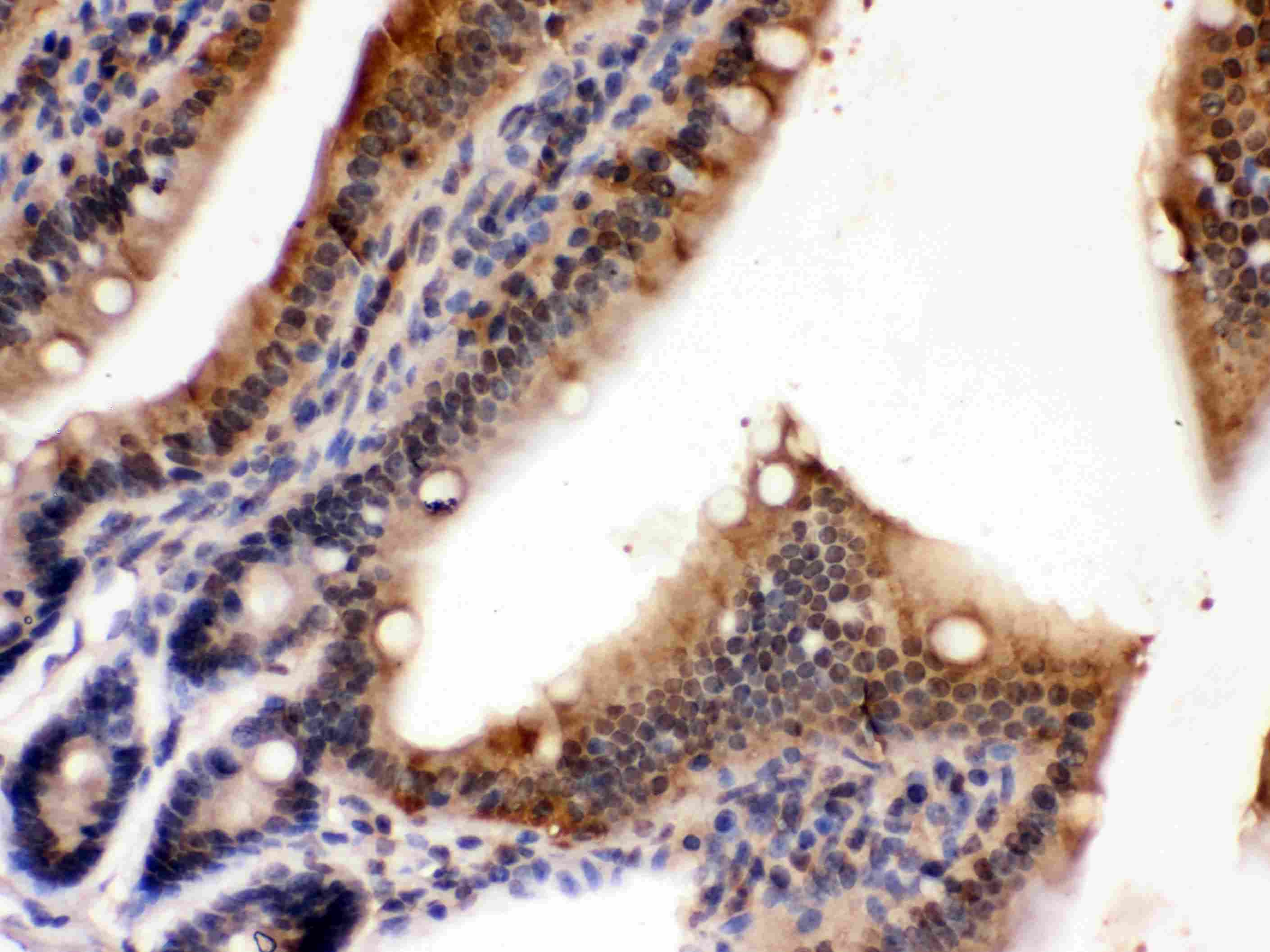
ARG40843 anti-PDPK1 antibody IHC-Fr image
Immunohistochemistry: Frozen section of Mouse small intestine tissue. The tissue section was blocked with 10% goat serum. The tissue section was then stained with ARG40843 anti-PDPK1 antibody at 1 μg/ml dilution, overnight at 4°C.
