ARG45937
anti-PDZD8 antibody
anti-PDZD8 antibody for Flow cytometry,IHC-Formalin-fixed paraffin-embedded sections,Western blot and Human,Mouse,Rat
Overview
| Product Description | Rabbit Polyclonal antibody recognizes PDZD8 |
|---|---|
| Tested Reactivity | Hu, Ms, Rat |
| Tested Application | FACS, IHC-P, WB |
| Host | Rabbit |
| Clonality | Polyclonal |
| Isotype | IgG |
| Target Name | PDZD8 |
| Antigen Species | Human |
| Immunogen | Recombinant protein containing to human PDZD8. |
| Conjugation | Un-conjugated |
| Alternate Names | PDZ Domain Containing 8; PDZD8; PDZK8; PDZ domain-containing protein 8; Sarcoma antigen NY-SAR-84/NY-SAR-104 |
Application Instructions
| Application Suggestion |
|
||||||||
|---|---|---|---|---|---|---|---|---|---|
| Application Note | * The dilutions indicate recommended starting dilutions and the optimal dilutions or concentrations should be determined by the scientist. | ||||||||
| Observed Size | 150 kDa |
Properties
| Form | Liquid |
|---|---|
| Purification | Affinity chromatography purified |
| Buffer | 0.2% Na2HPO4, 0.9% NaCl and 4% Trehalose. |
| Stabilizer | 4% Trehalose |
| Concentration | 0.5 mg/ml |
| Storage Instruction | For continuous use, store undiluted antibody at 2-8°C for up to a week. For long-term storage, aliquot and store at -22°C or below. Storage in frost free freezers is not recommended. Avoid repeated freeze/thaw cycles. Suggest spin the vial prior to opening. The antibody solution should be gently mixed before use. |
| Note | For laboratory research only, not for drug, diagnostic or other use. |
Bioinformation
| Database Links | |
|---|---|
| Gene Symbol | PDZD8 |
| Gene Full Name | PDZ Domain Containing 8 |
| Background | Predicted to enable lipid binding activity and metal ion binding activity. Involved in several processes, including mitochondrial calcium ion homeostasis; mitochondrion-endoplasmic reticulum membrane tethering; and regulation of cell morphogenesis. Located in endoplasmic reticulum membrane and mitochondria-associated endoplasmic reticulum membrane contact site. [provided by Alliance of Genome Resources, Feb 2025] |
| Function | Molecular tethering protein that connects endoplasmic reticulum and mitochondria membranes. [UniProt] |
| Cellular Localization | Endoplasmic reticulum; Membrane. [UniProt] |
| Calculated MW | 129 kDa |
| PTM | Phosphoprotein. [UniProt] |
Images (6) Click the Picture to Zoom In
-
ARG45937 anti-PDZD8 antibody WB image
Western blot: HEL stained with ARG45937 anti-PDZD8 antibody at 0.5 μg/ml dilution.
-
ARG45937 anti-PDZD8 antibody FACS image
Flow Cytometry: A549 stained with ARG45937 anti-PDZD8 antibody at 1 µg/10^6 cells dilution.
-
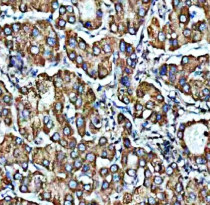
ARG45937 anti-PDZD8 antibody IHC-P image
Immunohistochemistry: Human liver cancer stained with ARG45937 anti-PDZD8 antibody at 2 μg/ml dilution.
-
ARG45937 anti-PDZD8 antibody IHC-P image
Immunohistochemistry: Rat testis stained with ARG45937 anti-PDZD8 antibody at 2 μg/ml dilution.
-
ARG45937 anti-PDZD8 antibody WB image
Western blot: Rat testis stained with ARG45937 anti-PDZD8 antibody at 0.5 μg/ml dilution.
-
ARG45937 anti-PDZD8 antibody WB image
Western blot: Mouse testis stained with ARG45937 anti-PDZD8 antibody at 0.5 μg/ml dilution.
