ARG55449
anti-PEBP1 / RKIP antibody
anti-PEBP1 / RKIP antibody for IHC-Formalin-fixed paraffin-embedded sections,Western blot and Human,Mouse
Cancer antibody; Cell Biology and Cellular Response antibody; Gene Regulation antibody; Neuroscience antibody
Overview
| Product Description | Rabbit Polyclonal antibody recognizes PEBP1 / RKIP |
|---|---|
| Tested Reactivity | Hu, Ms |
| Tested Application | IHC-P, WB |
| Host | Rabbit |
| Clonality | Polyclonal |
| Isotype | IgG |
| Target Name | PEBP1 / RKIP |
| Antigen Species | Human |
| Immunogen | KLH-conjugated synthetic peptide corresponding to aa. 137-167 (Center) of Human PEBP1 / RKIP. |
| Conjugation | Un-conjugated |
| Alternate Names | PEBP; PBP; HCNP; HEL-S-34; RKIP; Prostatic-binding protein; HCNPpp; Phosphatidylethanolamine-binding protein 1; Raf kinase inhibitor protein; Neuropolypeptide h3; HEL-210; PEBP-1 |
Application Instructions
| Application Suggestion |
|
||||||
|---|---|---|---|---|---|---|---|
| Application Note | * The dilutions indicate recommended starting dilutions and the optimal dilutions or concentrations should be determined by the scientist. | ||||||
| Positive Control | 293 |
Properties
| Form | Liquid |
|---|---|
| Purification | Purification with Protein G. |
| Buffer | PBS and 0.09% (W/V) Sodium azide |
| Preservative | 0.09% (W/V) Sodium azide |
| Storage Instruction | For continuous use, store undiluted antibody at 2-8°C for up to a week. For long-term storage, aliquot and store at -20°C or below. Storage in frost free freezers is not recommended. Avoid repeated freeze/thaw cycles. Suggest spin the vial prior to opening. The antibody solution should be gently mixed before use. |
| Note | For laboratory research only, not for drug, diagnostic or other use. |
Bioinformation
| Database Links |
Swiss-port # P30086 Human Phosphatidylethanolamine-binding protein 1 Swiss-port # P70296 Mouse Phosphatidylethanolamine-binding protein 1 |
|---|---|
| Gene Symbol | PEBP1 |
| Gene Full Name | phosphatidylethanolamine binding protein 1 |
| Background | This gene encodes a member of the phosphatidylethanolamine-binding family of proteins and has been shown to modulate multiple signaling pathways, including the MAP kinase (MAPK), NF-kappa B, and glycogen synthase kinase-3 (GSK-3) signaling pathways. The encoded protein can be further processed to form a smaller cleavage product, hippocampal cholinergic neurostimulating peptide (HCNP), which may be involved in neural development. This gene has been implicated in numerous human cancers and may act as a metastasis suppressor gene. Multiple pseudogenes of this gene have been identified in the genome. [provided by RefSeq, Jul 2015] |
| Function | Binds ATP, opioids and phosphatidylethanolamine. Has lower affinity for phosphatidylinositol and phosphatidylcholine. Serine protease inhibitor which inhibits thrombin, neuropsin and chymotrypsin but not trypsin, tissue type plasminogen activator and elastase (By similarity). Inhibits the kinase activity of RAF1 by inhibiting its activation and by dissociating the RAF1/MEK complex and acting as a competitive inhibitor of MEK phosphorylation. HCNP may be involved in the function of the presynaptic cholinergic neurons of the central nervous system. HCNP increases the production of choline acetyltransferase but not acetylcholinesterase. Seems to be mediated by a specific receptor (By similarity). [UniProt] |
| Cellular Localization | Cytoplasm. |
| Research Area | Cancer antibody; Cell Biology and Cellular Response antibody; Gene Regulation antibody; Neuroscience antibody |
| Calculated MW | 21 kDa |
Images (2) Click the Picture to Zoom In
-
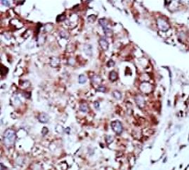
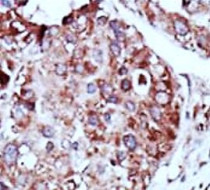
ARG55449 anti-PEBP1 / RKIP antibody IHC-P image
Immunohistochemistry: Formalin-fixed and paraffin-embedded Human cancer tissue stained with ARG55449 anti-PEBP1 / RKIP antibody.
-
ARG55449 anti-PEBP1 / RKIP antibody WB image
Western blot: 35 µg of 293 cell lysate stained with ARG55449 anti-PEBP1 / RKIP antibody.
