ARG46361
anti-PEN2 antibody
anti-PEN2 antibody for Western blot,IHC-Formalin-fixed paraffin-embedded sections and Human,Mouse,Rat
Overview
| Product Description | Rabbit Polyclonal antibody recognizes PEN2 |
|---|---|
| Tested Reactivity | Hu, Ms, Rat |
| Tested Application | IHC-P, WB |
| Host | Rabbit |
| Clonality | Polyclonal |
| Isotype | IgG |
| Target Name | PEN2 |
| Antigen Species | Human |
| Immunogen | A 13 amino acid synthetic peptide within the last 50 amino acids of human PEN2. |
| Conjugation | Un-conjugated |
| Alternate Names | PSENEN; Presenilin enhancer protein 2; Gamma-secretase subunit PEN-2; PEN-2; MDS033; MSTP064; PEN2 |
Application Instructions
| Application Suggestion |
|
||||||
|---|---|---|---|---|---|---|---|
| Application Note | * The dilutions indicate recommended starting dilutions and the optimal dilutions or concentrations should be determined by the scientist. |
Properties
| Purification | Affinity chromatography purified |
|---|---|
| Buffer | PBS and 0.02% Sodium azide. |
| Preservative | 0.02% Sodium azide |
| Concentration | 1 mg/ml |
| Storage Instruction | For continuous use, store undiluted antibody at 2-8°C for up to a week. For long-term storage, aliquot and store at -20°C. Storage in frost free freezers is not recommended. Avoid repeated freeze/thaw cycles. Suggest spin the vial prior to opening. The antibody solution should be gently mixed before use. |
| Note | For laboratory research only, not for drug, diagnostic or other use. |
Bioinformation
| Database Links | |
|---|---|
| Gene Symbol | PSENEN |
| Gene Full Name | presenilin enhancer gamma secretase subunit |
| Background | Presenilins, which are components of the gamma-secretase protein complex, are required for intramembranous processing of some type I transmembrane proteins, such as the Notch proteins and the beta-amyloid precursor protein. Signaling by Notch receptors mediates a wide range of developmental cell fates. Processing of the beta-amyloid precursor protein generates neurotoxic amyloid beta peptides, the major component of senile plaques associated with Alzheimer's disease. This gene encodes a protein that is required for Notch pathway signaling, and for the activity and accumulation of gamma-secretase. Mutations resulting in haploinsufficiency for this gene cause familial acne inversa-2 (ACNINV2). Alternative splicing results in multiple transcript variants. [provided by RefSeq, Jul 2013] |
| Function | Essential subunit of the gamma-secretase complex, an endoprotease complex that catalyzes the intramembrane cleavage of integral membrane proteins such as Notch receptors and APP (amyloid-beta precursor protein) (PubMed:12522139, PubMed:12763021, PubMed:12740439, PubMed:12679784, PubMed:24941111, PubMed:30598546, PubMed:30630874). The gamma-secretase complex plays a role in Notch and Wnt signaling cascades and regulation of downstream processes via its role in processing key regulatory proteins, and by regulating cytosolic CTNNB1 levels (Probable). PSENEN modulates both endoproteolysis of presenilin and gamma-secretase activity (PubMed:12522139, PubMed:12763021, PubMed:12740439, PubMed:12679784, PubMed:24941111). [UniProt] |
| Cellular Localization | Endoplasmic reticulum membrane; Multi-pass membrane protein. Golgi apparatus, Golgi stack membrane; Multi-pass membrane protein. Cell membrane; Multi-pass membrane protein. Membrane; Multi-pass membrane protein. Note=Predominantly located in the endoplasmic reticulum and in the cis-Golgi. [UniProt] |
| Calculated MW | 12 kDa |
Images (3) Click the Picture to Zoom In
-
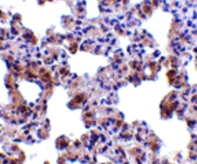
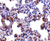
ARG46361 anti-PEN2 antibody IHC-P image
Immunohistochemistry: Rat lung stained with ARG46361 anti-PEN2 antibody.
-
ARG46361 anti-PEN2 antibody ICC/IF image
Immunofluorescence: Rat Lung stained with ARG46361 anti-PEN2 antibody.
-
ARG46361 anti-PEN2 antibody WB image
Western blot: A-20 stained with ARG46361 anti-PEN2 antibody.
