ARG40851
anti-PEPD antibody
anti-PEPD antibody for IHC-Formalin-fixed paraffin-embedded sections,Western blot and Human
Overview
| Product Description | Rabbit Polyclonal antibody recognizes PEPD |
|---|---|
| Tested Reactivity | Hu |
| Predict Reactivity | Hu, Ms, Rat, Cow, Dog, Goat, Gpig, Hrs, Rb, Zfsh |
| Tested Application | IHC-P, WB |
| Host | Rabbit |
| Clonality | Polyclonal |
| Isotype | IgG |
| Target Name | PEPD |
| Antigen Species | Human |
| Immunogen | Synthetic peptide around the middle region of Human PEPD (within the following region: LGAVFMPHGLGHFLGIDVHDVGGYPEGVERIDEPGLRSLRTARHLQPGMV). |
| Conjugation | Un-conjugated |
| Alternate Names | Peptidase D; X-Pro dipeptidase; Imidodipeptidase; EC 3.4.13.9; Prolidase; Xaa-Pro dipeptidase; Proline dipeptidase; PROLIDASE |
Application Instructions
| Predict Reactivity Note | Predicted Homology Based On Immunogen Sequence: Cow: 92%; Dog: 100%; Goat: 79%; Guinea pig: 100%; Horse: 100%; Mouse: 100%; Rabbit: 93%; Rat: 100%; Zebrafish: 86% | ||||||
|---|---|---|---|---|---|---|---|
| Application Suggestion |
|
||||||
| Application Note | * The dilutions indicate recommended starting dilutions and the optimal dilutions or concentrations should be determined by the scientist. |
Properties
| Form | Liquid |
|---|---|
| Purification | Affinity purified. |
| Buffer | PBS, 0.09% (w/v) Sodium azide and 2% Sucrose. |
| Preservative | 0.09% (w/v) Sodium azide |
| Stabilizer | 2% Sucrose |
| Concentration | Batch dependent: 0.5 - 1 mg/ml |
| Storage Instruction | For continuous use, store undiluted antibody at 2-8°C for up to a week. For long-term storage, aliquot and store at -20°C or below. Storage in frost free freezers is not recommended. Avoid repeated freeze/thaw cycles. Suggest spin the vial prior to opening. The antibody solution should be gently mixed before use. |
| Note | For laboratory research only, not for drug, diagnostic or other use. |
Bioinformation
| Database Links | |
|---|---|
| Gene Symbol | PEPD |
| Gene Full Name | peptidase D |
| Background | This gene encodes a member of the peptidase family. The protein forms a homodimer that hydrolyzes dipeptides or tripeptides with C-terminal proline or hydroxyproline residues. The enzyme serves an important role in the recycling of proline, and may be rate limiting for the production of collagen. Mutations in this gene result in prolidase deficiency, which is characterized by the excretion of large amount of di- and tri-peptides containing proline. Multiple transcript variants encoding different isoforms have been found for this gene.[provided by RefSeq, Oct 2009] |
| Function | Splits dipeptides with a prolyl or hydroxyprolyl residue in the C-terminal position. Plays an important role in collagen metabolism because the high level of iminoacids in collagen. [UniProt] |
| Calculated MW | 55 kDa |
Images (2) Click the Picture to Zoom In
-
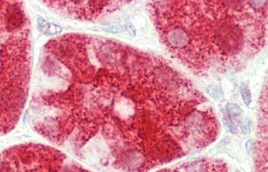
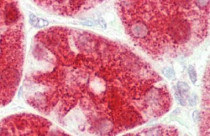
ARG40851 anti-PEPD antibody IHC-P image
Immunohistochemistry: Formalin-fixed and paraffin-embedded Human kidney tissue stained with ARG40851 anti-PEPD antibody at 1:100 dilution.
-
ARG40851 anti-PEPD antibody WB image
Western blot: Human placenta lysate stained with ARG40851 anti-PEPD antibody at 0.2 - 1 µg/ml dilution.
