ARG59012
anti-PER1 antibody
anti-PER1 antibody for IHC-Formalin-fixed paraffin-embedded sections,Western blot and Human,Mouse,Rat
Overview
| Product Description | Rabbit Polyclonal antibody recognizes PER1 |
|---|---|
| Tested Reactivity | Hu, Ms, Rat |
| Tested Application | IHC-P, WB |
| Host | Rabbit |
| Clonality | Polyclonal |
| Isotype | IgG |
| Target Name | PER1 |
| Antigen Species | Human |
| Immunogen | Recombinant protein corresponding to D1119-M1200 of Human PER1. |
| Conjugation | Un-conjugated |
| Alternate Names | hPER; Circadian clock protein PERIOD 1; Period circadian protein homolog 1; PER; Circadian pacemaker protein Rigui; hPER1; RIGUI |
Application Instructions
| Application Suggestion |
|
||||||
|---|---|---|---|---|---|---|---|
| Application Note | IHC-P: Antigen Retrieval: Heat mediated was performed in Citrate buffer (pH 6.0) for 20 min. * The dilutions indicate recommended starting dilutions and the optimal dilutions or concentrations should be determined by the scientist. |
Properties
| Form | Liquid |
|---|---|
| Purification | Affinity purification with immunogen. |
| Buffer | 0.2% Na2HPO4, 0.9% NaCl, 0.05% Sodium azide and 4% Trehalose. |
| Preservative | 0.05% Sodium azide |
| Stabilizer | 4% Trehalose |
| Concentration | 0.5 mg/ml |
| Storage Instruction | For continuous use, store undiluted antibody at 2-8°C for up to a week. For long-term storage, aliquot and store at -20°C or below. Storage in frost free freezers is not recommended. Avoid repeated freeze/thaw cycles. Suggest spin the vial prior to opening. The antibody solution should be gently mixed before use. |
| Note | For laboratory research only, not for drug, diagnostic or other use. |
Bioinformation
| Database Links | |
|---|---|
| Gene Symbol | PER1 |
| Gene Full Name | period circadian clock 1 |
| Background | This gene is a member of the Period family of genes and is expressed in a circadian pattern in the suprachiasmatic nucleus, the primary circadian pacemaker in the mammalian brain. Genes in this family encode components of the circadian rhythms of locomotor activity, metabolism, and behavior. This gene is upregulated by CLOCK/ARNTL heterodimers but then represses this upregulation in a feedback loop using PER/CRY heterodimers to interact with CLOCK/ARNTL. Polymorphisms in this gene may increase the risk of getting certain cancers. Alternative splicing has been observed in this gene; however, these variants have not been fully described. [provided by RefSeq, Jan 2014] |
| Function | Transcriptional repressor which forms a core component of the circadian clock. The circadian clock, an internal time-keeping system, regulates various physiological processes through the generation of approximately 24 hour circadian rhythms in gene expression, which are translated into rhythms in metabolism and behavior. It is derived from the Latin roots 'circa' (about) and 'diem' (day) and acts as an important regulator of a wide array of physiological functions including metabolism, sleep, body temperature, blood pressure, endocrine, immune, cardiovascular, and renal function. Consists of two major components: the central clock, residing in the suprachiasmatic nucleus (SCN) of the brain, and the peripheral clocks that are present in nearly every tissue and organ system. Both the central and peripheral clocks can be reset by environmental cues, also known as Zeitgebers (German for 'timegivers'). The predominant Zeitgeber for the central clock is light, which is sensed by retina and signals directly to the SCN. The central clock entrains the peripheral clocks through neuronal and hormonal signals, body temperature and feeding-related cues, aligning all clocks with the external light/dark cycle. Circadian rhythms allow an organism to achieve temporal homeostasis with its environment at the molecular level by regulating gene expression to create a peak of protein expression once every 24 hours to control when a particular physiological process is most active with respect to the solar day. Transcription and translation of core clock components (CLOCK, NPAS2, ARNTL/BMAL1, ARNTL2/BMAL2, PER1, PER2, PER3, CRY1 and CRY2) plays a critical role in rhythm generation, whereas delays imposed by post-translational modifications (PTMs) are important for determining the period (tau) of the rhythms (tau refers to the period of a rhythm and is the length, in time, of one complete cycle). A diurnal rhythm is synchronized with the day/night cycle, while the ultradian and infradian rhythms have a period shorter and longer than 24 hours, respectively. Disruptions in the circadian rhythms contribute to the pathology of cardiovascular diseases, cancer, metabolic syndromes and aging. A transcription/translation feedback loop (TTFL) forms the core of the molecular circadian clock mechanism. Transcription factors, CLOCK or NPAS2 and ARNTL/BMAL1 or ARNTL2/BMAL2, form the positive limb of the feedback loop, act in the form of a heterodimer and activate the transcription of core clock genes and clock-controlled genes (involved in key metabolic processes), harboring E-box elements (5'-CACGTG-3') within their promoters. The core clock genes: PER1/2/3 and CRY1/2 which are transcriptional repressors form the negative limb of the feedback loop and interact with the CLOCK|NPAS2-ARNTL/BMAL1|ARNTL2/BMAL2 heterodimer inhibiting its activity and thereby negatively regulating their own expression. This heterodimer also activates nuclear receptors NR1D1/2 and RORA/B/G, which form a second feedback loop and which activate and repress ARNTL/BMAL1 transcription, respectively. Regulates circadian target genes expression at post-transcriptional levels, but may not be required for the repression at transcriptional level. Controls PER2 protein decay. Represses CRY2 preventing its repression on CLOCK/ARNTL target genes such as FXYD5 and SCNN1A in kidney and PPARA in liver. Besides its involvement in the maintenance of the circadian clock, has an important function in the regulation of several processes. Participates in the repression of glucocorticoid receptor NR3C1/GR-induced transcriptional activity by reducing the association of NR3C1/GR to glucocorticoid response elements (GREs) by ARNTL:CLOCK. Plays a role in the modulation of the neuroinflammatory state via the regulation of inflammatory mediators release, such as CCL2 and IL6. In spinal astrocytes, negatively regulates the MAPK14/p38 and MAPK8/JNK MAPK cascades as well as the subsequent activation of NFkappaB. Coordinately regulates the expression of multiple genes that are involved in the regulation of renal sodium reabsorption. Can act as gene expression activator in a gene and tissue specific manner, in kidney enhances WNK1 and SLC12A3 expression in collaboration with CLOCK. Modulates hair follicle cycling. Represses the CLOCK-ARNTL/BMAL1 induced transcription of BHLHE40/DEC1. [UniProt] |
| Cellular Localization | Nucleus. Cytoplasm. Nucleocytoplasmic shuttling is effected by interaction with other circadian core oscillator proteins and/or by phosphorylation. Retention of PER1 in the cytoplasm occurs through PER1-PER2 heterodimer formation. Translocate to the nucleus after phosphorylation by CSNK1D or CSNK1E. Also translocated to the nucleus by CRY1 or CRY2 (By similarity). [UniProt] |
| Calculated MW | 136 kDa |
| PTM | Phosphorylated on serine residues by CSNK1D, CSNK1E and probably also by CSNK1G2. Phosphorylation by CSNK1D or CSNK1E promotes nuclear location of PER proteins as well as ubiquitination and subsequent degradation. May be dephosphorylated by PP1. Ubiquitinated; requires phosphorylation by CSNK1E and interaction with BTRC and FBXW11. Deubiquitinated by USP2 (By similarity). [UniProt] |
Images (2) Click the Picture to Zoom In
-
ARG59012 anti-PER1 antibody IHC-P image
Immunohistochemistry: Paraffin-embedded Rat brain tissue. Antigen Retrieval: Heat mediated was performed in Citrate buffer (pH 6.0, epitope retrieval solution) for 20 min. The tissue section was blocked with 10% goat serum. The tissue section was then stained with ARG59012 anti-PER1 antibody at 1 µg/ml dilution, overnight at 4°C.
-
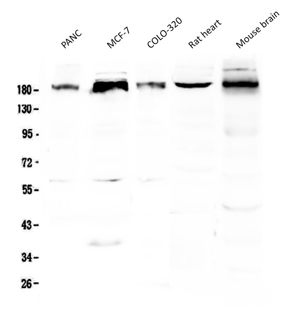
ARG59012 anti-PER1 antibody WB image
Western blot: 50 µg of samples under reducing conditions. PANC, MCF-7, COLO-320, Rat heart and Mouse brain lysates stained with ARG59012 anti-PER1 antibody at 0.5 µg/ml, overnight at 4°C.
