ARG42753
anti-PEX11B antibody
anti-PEX11B antibody for IHC-Formalin-fixed paraffin-embedded sections,Western blot and Human,Mouse,Rat
Overview
| Product Description | Rabbit Polyclonal antibody recognizes PEX11B |
|---|---|
| Tested Reactivity | Hu, Ms, Rat |
| Tested Application | IHC-P, WB |
| Host | Rabbit |
| Clonality | Polyclonal |
| Isotype | IgG |
| Target Name | PEX11B |
| Antigen Species | Human |
| Immunogen | Synthetic peptide corresponding to aa. 132-177 of Human PEX11B. |
| Conjugation | Un-conjugated |
| Alternate Names | Protein PEX11 homolog beta; Peroxisomal biogenesis factor 11B; Peroxin-11B; Peroxisomal membrane protein 11B; PEX14B; PEX11-BETA; PEX11-beta |
Application Instructions
| Application Suggestion |
|
||||||
|---|---|---|---|---|---|---|---|
| Application Note | * The dilutions indicate recommended starting dilutions and the optimal dilutions or concentrations should be determined by the scientist. | ||||||
| Positive Control | MCF7, Raw264.7 and PC12 | ||||||
| Observed Size | ~ 28 kDa |
Properties
| Form | Liquid |
|---|---|
| Purification | Affinity purification with immunogen. |
| Purity | > 95% (by SDS-PAGE) |
| Buffer | PBS (pH 7.2), 0.02% Sodium azide and 50% Glycerol. |
| Preservative | 0.02% Sodium azide |
| Stabilizer | 50% Glycerol |
| Concentration | 1 mg/ml |
| Storage Instruction | For continuous use, store undiluted antibody at 2-8°C for up to a week. For long-term storage, aliquot and store at -20°C. Storage in frost free freezers is not recommended. Avoid repeated freeze/thaw cycles. Suggest spin the vial prior to opening. The antibody solution should be gently mixed before use. |
| Note | For laboratory research only, not for drug, diagnostic or other use. |
Bioinformation
| Database Links | |
|---|---|
| Gene Symbol | PEX11B |
| Gene Full Name | peroxisomal biogenesis factor 11 beta |
| Background | The protein encoded by this gene facilitates peroxisomal proliferation and interacts with PEX19. The encoded protein is found in the peroxisomal membrane. Several transcript variants, some protein-coding and some not protein-coding, have been found for this gene. [provided by RefSeq, Dec 2012] |
| Function | Involved in peroxisomal proliferation (PubMed:9792670). May regulate peroxisome division by recruiting the dynamin-related GTPase DNM1L to the peroxisomal membrane (PubMed:12618434). Promotes membrane protrusion and elongation on the peroxisomal surface (PubMed:20826455). [UniProt] |
| Cellular Localization | Peroxisome membrane; Single-pass membrane protein. [UniProt] |
| Calculated MW | 28 kDa |
Images (2) Click the Picture to Zoom In
-
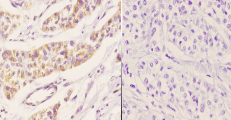
ARG42753 anti-PEX11B antibody IHC-P image
Immunohistochemistry: Paraffin-embedded Human liver carcinoma tissue stained with ARG42753 anti-PEX11B antibody at 1:50 dilution (left). Negative control (right): Using PBS instead of primary antibody.
-
ARG42753 anti-PEX11B antibody WB image
Western blot: MCF7, Raw264.7 and PC-12 cell lysate stained with ARG42753 anti-PEX11B antibody at 1:500 dilution.
