ARG54873
anti-PFKFB4 antibody
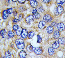
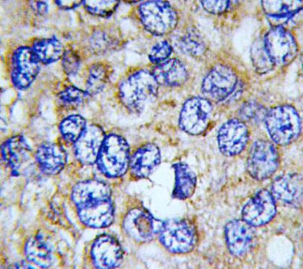
anti-PFKFB4 antibody for IHC-Formalin-fixed paraffin-embedded sections,Western blot and Human,Mouse
Cancer antibody; Metabolism antibody; Signaling Transduction antibody
Overview
| Product Description | Rabbit Polyclonal antibody recognizes PFKFB4 |
|---|---|
| Tested Reactivity | Hu, Ms |
| Predict Reactivity | Mk |
| Tested Application | IHC-P, WB |
| Host | Rabbit |
| Clonality | Polyclonal |
| Isotype | IgG |
| Target Name | PFKFB4 |
| Antigen Species | Human |
| Immunogen | KLH-conjugated synthetic peptide corresponding to aa. 266-296 (Center) of Human PFKFB4. |
| Conjugation | Un-conjugated |
| Alternate Names | 6PF-2-K/Fru-2,6-P2ase testis-type isozyme; 6-phosphofructo-2-kinase/fructose-2,6-bisphosphatase 4; 6PF-2-K/Fru-2,6-P2ase 4; PFK/FBPase 4; EC 3.1.3.46; EC 2.7.1.105 |
Application Instructions
| Application Suggestion |
|
||||||
|---|---|---|---|---|---|---|---|
| Application Note | * The dilutions indicate recommended starting dilutions and the optimal dilutions or concentrations should be determined by the scientist. | ||||||
| Positive Control | Mouse brain |
Properties
| Form | Liquid |
|---|---|
| Purification | Purification with Protein G. |
| Buffer | PBS and 0.09% (W/V) Sodium azide |
| Preservative | 0.09% (W/V) Sodium azide |
| Storage Instruction | For continuous use, store undiluted antibody at 2-8°C for up to a week. For long-term storage, aliquot and store at -20°C or below. Storage in frost free freezers is not recommended. Avoid repeated freeze/thaw cycles. Suggest spin the vial prior to opening. The antibody solution should be gently mixed before use. |
| Note | For laboratory research only, not for drug, diagnostic or other use. |
Bioinformation
| Database Links |
Swiss-port # Q16877 Human 6-phosphofructo-2-kinase/fructose-2,6-bisphosphatase 4 Swiss-port # Q6DTY7 Mouse 6-phosphofructo-2-kinase/fructose-2,6-bisphosphatase 4 |
|---|---|
| Gene Symbol | PFKFB4 |
| Gene Full Name | 6-phosphofructo-2-kinase/fructose-2,6-biphosphatase 4 |
| Function | Synthesis and degradation of fructose 2,6-bisphosphate. [UniProt] |
| Research Area | Cancer antibody; Metabolism antibody; Signaling Transduction antibody |
| Calculated MW | 54 kDa |
Images (2) Click the Picture to Zoom In
