ARG40834
anti-PGK1 + PGK2 antibody
anti-PGK1 + PGK2 antibody for IHC-Formalin-fixed paraffin-embedded sections,Western blot and Human,Rat
Overview
| Product Description | Rabbit Polyclonal antibody recognizes PGK1 + PGK2 |
|---|---|
| Tested Reactivity | Hu, Rat |
| Predict Reactivity | Ms, Hm |
| Tested Application | IHC-P, WB |
| Host | Rabbit |
| Clonality | Polyclonal |
| Isotype | IgG |
| Target Name | PGK1 + PGK2 |
| Antigen Species | Human |
| Immunogen | Synthetic peptide corresponding to aa. 166-180 of Human PGK1. (FGTAHRAHSSMVGVN) |
| Conjugation | Un-conjugated |
| Alternate Names | EC 2.7.2.3; Primer recognition protein 2; PGKA; PRP 2; Phosphoglycerate kinase 1; MIG10; Cell migration-inducing gene 10 protein; HEL-S-68p |
Application Instructions
| Application Suggestion |
|
||||||
|---|---|---|---|---|---|---|---|
| Application Note | * The dilutions indicate recommended starting dilutions and the optimal dilutions or concentrations should be determined by the scientist. |
Properties
| Form | Liquid |
|---|---|
| Purification | Affinity purification with immunogen. |
| Buffer | 0.2% Na2HPO4, 0.9% NaCl, 0.05% Thimerosal, 0.05% Sodium azide and 5% BSA. |
| Preservative | 0.05% Thimerosal and 0.05% Sodium azide |
| Stabilizer | 5% BSA |
| Concentration | 0.5 mg/ml |
| Storage Instruction | For continuous use, store undiluted antibody at 2-8°C for up to a week. For long-term storage, aliquot and store at -20°C or below. Storage in frost free freezers is not recommended. Avoid repeated freeze/thaw cycles. Suggest spin the vial prior to opening. The antibody solution should be gently mixed before use. |
| Note | For laboratory research only, not for drug, diagnostic or other use. |
Bioinformation
| Database Links | |
|---|---|
| Gene Symbol | PGK1 |
| Gene Full Name | phosphoglycerate kinase 1 |
| Background | The protein encoded by this gene is a glycolytic enzyme that catalyzes the conversion of 1,3-diphosphoglycerate to 3-phosphoglycerate. The encoded protein may also act as a cofactor for polymerase alpha. Additionally, this protein is secreted by tumor cells where it participates in angiogenesis by functioning to reduce disulfide bonds in the serine protease, plasmin, which consequently leads to the release of the tumor blood vessel inhibitor angiostatin. The encoded protein has been identified as a moonlighting protein based on its ability to perform mechanistically distinct functions. Deficiency of the enzyme is associated with a wide range of clinical phenotypes hemolytic anemia and neurological impairment. Pseudogenes of this gene have been defined on chromosomes 19, 21 and the X chromosome. [provided by RefSeq, Jan 2014] |
| Function | In addition to its role as a glycolytic enzyme, it seems that PGK-1 acts as a polymerase alpha cofactor protein (primer recognition protein). [UniProt] |
| Cellular Localization | Cytoplasm. [UniProt] |
| Calculated MW | 45 kDa |
Images (2) Click the Picture to Zoom In
-
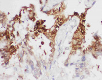
ARG40834 anti-PGK1 + PGK2 antibody IHC-P image
Immunohistochemistry: Paraffin-embedded Human lung cancer tissue stained with ARG40834 anti-PGK1 + PGK2 antibody.
-
ARG40834 anti-PGK1 + PGK2 antibody WB image
Western blot: Rat liver, Rat brain, Rat lung, A431, COLO320, HeLa, A549 and Jurkat cell lysates stained with ARG40834 anti-PGK1 + PGK2 antibody.
