ARG54875
anti-PGK1 antibody
anti-PGK1 antibody for Flow cytometry,ICC/IF,IHC-Formalin-fixed paraffin-embedded sections,Western blot and Human,Mouse
Cancer antibody; Cell Biology and Cellular Response antibody; Metabolism antibody; Signaling Transduction antibody
Overview
| Product Description | Rabbit Polyclonal antibody recognizes PGK1 |
|---|---|
| Tested Reactivity | Hu, Ms |
| Predict Reactivity | Mk, Rat |
| Tested Application | FACS, ICC/IF, IHC-P, WB |
| Host | Rabbit |
| Clonality | Polyclonal |
| Isotype | IgG |
| Target Name | PGK1 |
| Antigen Species | Human |
| Immunogen | KLH-conjugated synthetic peptide corresponding to aa. 117-145 (Center) of Human PGK1. |
| Conjugation | Un-conjugated |
| Alternate Names | EC 2.7.2.3; Primer recognition protein 2; PGKA; PRP 2; Phosphoglycerate kinase 1; MIG10; Cell migration-inducing gene 10 protein; HEL-S-68p |
Application Instructions
| Application Suggestion |
|
||||||||||
|---|---|---|---|---|---|---|---|---|---|---|---|
| Application Note | * The dilutions indicate recommended starting dilutions and the optimal dilutions or concentrations should be determined by the scientist. |
Properties
| Form | Liquid |
|---|---|
| Purification | Purification with Protein G. |
| Buffer | PBS and 0.09% (W/V) Sodium azide |
| Preservative | 0.09% (W/V) Sodium azide |
| Storage Instruction | For continuous use, store undiluted antibody at 2-8°C for up to a week. For long-term storage, aliquot and store at -20°C or below. Storage in frost free freezers is not recommended. Avoid repeated freeze/thaw cycles. Suggest spin the vial prior to opening. The antibody solution should be gently mixed before use. |
| Note | For laboratory research only, not for drug, diagnostic or other use. |
Bioinformation
| Database Links | |
|---|---|
| Gene Symbol | PGK1 |
| Gene Full Name | phosphoglycerate kinase 1 |
| Background | The protein encoded by this gene is a glycolytic enzyme that catalyzes the conversion of 1,3-diphosphoglycerate to 3-phosphoglycerate. The encoded protein may also act as a cofactor for polymerase alpha. Additionally, this protein is secreted by tumor cells where it participates in angiogenesis by functioning to reduce disulfide bonds in the serine protease, plasmin, which consequently leads to the release of the tumor blood vessel inhibitor angiostatin. The encoded protein has been identified as a moonlighting protein based on its ability to perform mechanistically distinct functions. Deficiency of the enzyme is associated with a wide range of clinical phenotypes hemolytic anemia and neurological impairment. Pseudogenes of this gene have been defined on chromosomes 19, 21 and the X chromosome. [provided by RefSeq, Jan 2014] |
| Function | In addition to its role as a glycolytic enzyme, it seems that PGK-1 acts as a polymerase alpha cofactor protein (primer recognition protein). [UniProt] |
| Cellular Localization | Cytoplasm. |
| Research Area | Cancer antibody; Cell Biology and Cellular Response antibody; Metabolism antibody; Signaling Transduction antibody |
| Calculated MW | 45 kDa |
Images (4) Click the Picture to Zoom In
-
ARG54875 anti-PGK1 antibody WB image
Western blot: 30 μg of DU145, HepG2, MEF, Mouse ovary and Rat ovary lysates stained with ARG54875 anti-PGK1 antibody at 1:500 dilution.
-
ARG54875 anti-PGK1 antibody ICC/IF image
Immunofluorescence: HeLa cells stained with ARG54875 anti-PGK1 antibody (green). DAPI (blue) for nuclear staining.
-
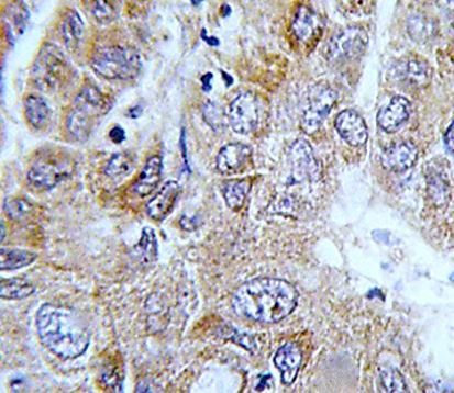
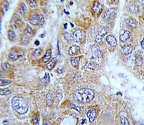
ARG54875 anti-PGK1 antibody IHC-P image
Immunohistochemistry: Formalin-fixed and paraffin-embedded Human hepatocarcinoma tissue stained with ARG54875 anti-PGK1 antibody.
-
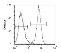
ARG54875 anti-PGK1 antibody FACS image
Flow Cytometry: HeLa cells stained with ARG54875 anti-PGK1 antibody (right histogram) or without primary antibody control (left histogram), followed by incubation with FITC labelled secondary antibody.
