ARG46367
anti-PHAP3 antibody
anti-PHAP3 antibody for Western blot,IHC-Formalin-fixed paraffin-embedded sections and Human,Mouse,Rat
Overview
| Product Description | Rabbit Polyclonal antibody recognizes PHAP3 |
|---|---|
| Tested Reactivity | Hu, Ms, Rat |
| Tested Application | IHC-P, WB |
| Host | Rabbit |
| Clonality | Polyclonal |
| Isotype | IgG |
| Target Name | PHAP3 |
| Antigen Species | Human |
| Immunogen | Synthetic peptide near the carboxy terminus of human PHAP3. |
| Conjugation | Un-conjugated |
| Alternate Names | ANP32E; ANP32E; acidic (leucine-rich) nuclear phosphoprotein 32 family, member E; LANPL; LANP-like protein; Acidic leucine-rich nuclear phosphoprotein 32 family member E; LANP-L |
Application Instructions
| Application Suggestion |
|
||||||
|---|---|---|---|---|---|---|---|
| Application Note | * The dilutions indicate recommended starting dilutions and the optimal dilutions or concentrations should be determined by the scientist. |
Properties
| Purification | Affinity chromatography purified |
|---|---|
| Buffer | PBS and 0.02% Sodium azide. |
| Preservative | 0.02% Sodium azide |
| Concentration | 1 mg/ml |
| Storage Instruction | For continuous use, store undiluted antibody at 2-8°C for up to a week. For long-term storage, aliquot and store at -20°C. Storage in frost free freezers is not recommended. Avoid repeated freeze/thaw cycles. Suggest spin the vial prior to opening. The antibody solution should be gently mixed before use. |
| Note | For laboratory research only, not for drug, diagnostic or other use. |
Bioinformation
| Database Links | |
|---|---|
| Gene Symbol | ANP32E |
| Gene Full Name | acidic (leucine-rich) nuclear phosphoprotein 32 family, member E |
| Background | The PHAP proteins (tumor suppressor putative HLA-DR associated proteins) are important regulators of mitochondrial apoptosis. PHAP facilitates apoptosome-mediated caspase-9 activation to stimulate the mitochondrial apoptosis pathway. In addition, PHAP opposes both Ras- and myc- mediated cell transformation. |
| Function | Histone chaperone that specifically mediates the genome-wide removal of histone H2A.Z/H2AFZ from the nucleosome: removes H2A.Z/H2AFZ from its normal sites of deposition, especially from enhancer and insulator regions. Not involved in deposition of H2A.Z/H2AFZ in the nucleosome. May stabilize the evicted H2A.Z/H2AFZ-H2B dimer, thus shifting the equilibrium towards dissociation and the off-chromatin state (PubMed:24463511). Inhibits activity of protein phosphatase 2A (PP2A). Does not inhibit protein phosphatase 1. May play a role in cerebellar development and synaptogenesis. [UniProt] |
| Cellular Localization | Cytoplasm; Nucleus. [UniProt] |
| Calculated MW | 31 kDa |
| PTM | Phosphorylated. The phosphorylation is nuclear localization signal (NLS)-dependent (By similarity).. [UniProt] |
Images (3) Click the Picture to Zoom In
-
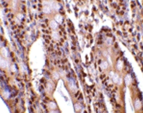
ARG46367 anti-PHAP3 antibody IHC-P image
Immunohistochemistry: Human small intestine stained with ARG46367 anti-PHAP3 antibody.
-
ARG46367 anti-PHAP3 antibody ICC/IF image
Immunofluorescence: Human Small Intestine stained with ARG46367 anti-PHAP3 antibody.
-
ARG46367 anti-PHAP3 antibody WB image
Western blot: A549 stained with ARG46367 anti-PHAP3 antibody.
